Aparato respiratorio

Description

Apuntes de histologia, aparato respiratorio
roxy linares
Slide Set by roxy linares, updated more than 1 year ago More Less
Andrea Collipal
Created by Andrea Collipal over 9 years ago
roxy linares
Copied by roxy linares over 8 years ago
36
0

Resource summary

Slide 1

Slide 2

    Aparato Respiratorio
    El aire que ingresa por estas vias se limpia (cilios), calienta (gran vascularización de la lamina propia) y humedece (glándulas) Primera Barrera Tabique nasal divide a dos fosas Lamina propia (Linfocitos, células plasmáticas, Ig A, G y E , macrófagos, mastocitos, vascularización) Nariz (Hueso, cartilago hialino), cubierta de tejido conectivo y piel) Tres regiones: - Vestíbulo- Área Respiratoria ( dividida por los cornetes superior, medio e inferior)- Área olfatoria

Slide 3

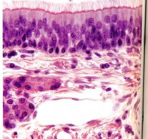
    Vestíbulo
    Epitelio de transición: Epitelio cilindrico (dermis, externo) a epitelio respiratorio cilindrico ciliado pseudoestratificado con celulas caliciformes (interno). Anexos: Pelos  Glándulas sebáceas y sudoríparas
    Caption: : Epitelio respiratorio: Cilindrico ciliado pseudoestratificado con celulas caliciformes

Slide 4

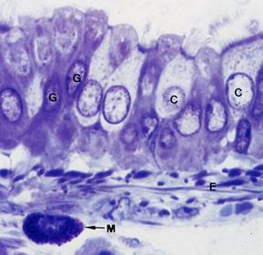
    Epitelio respiratorio
    Células caliciformes : 30% Secretan mucina RER y Golgi desarrollado Células ciliadas cilindricas: 30% 300 cilios aprox en la superficie apical Los cilios se mueven hacia la faringe recogiendo partículas para ser deglutidos o expectorados Células basales: 30% No llegan a la superficie Se dividen continuamente por mitosis  Dan origen a los demás tipos celulares
    Celulas cilindricas con microvellosidades: 3% Tipo1: Expansiones en su base, receptor sensitivo Tipo2: Células inmaduras o células caliciformes agotadas Células basales con gránulos o células de Kulchitsky: 3% Necesitan tinción especial Pertenecen al Sitema neuroendocrino difuso o Sistema APUD Liberan serotonina, calcitonina, catecolaminas virtiendolas  a  la sangre. Células basales serosas: 3%Células cúbicas que secretan proteínas

Slide 5

Slide 6

    Área Olfatoria
    Cornete superior y parte superior del tabique Mucosa olfatoria: Epitelio respiratorio Uniones c.bipolares- c.sostén: Ocluyentes Uniones c. sostén- c. sostén: Ocluyentes - Células bipolares: Sensibles, sentido del olfato El axón se va a la zona basal formando fasciculos amielinicos con células de schwann hacia la lámina cribosa constituyendo el nervio olfatorio, sinapsis con la 2a neurona. Las dendritas presentan una dilatación "vesícula olfatoria" con 6-8 cilios INMÓVILES ( 9 pares periféricos 1 par central)-
    Células de sostén:  En la superficie apical Abundantes microvellosidades Pigmento amarillo - Células basales: Piramidales NO llegan a la superficie Pueden regenerar a las c. de sostén y basales

Slide 7

Slide 10

Slide 12

Slide 13

Slide 14

    Faringe
    Nasofaringe: Epitelio respiratorio Amigdala faringea que impide respirar correctamente "Adenoides" Orofaringe: Epitelio plano estratificado no queratinizadoLaringofaringe:Epitelio respiratorio

Slide 15

    Laringe
    4 cmCaritilago hialino y cartilago fibroelásticoFonaciónTos- Cuerda vocal falsa: Pliegue de la mucosa Epitelio respiratorio Abundantes glándulas serosas, mucosas y mixta - Cuerda vocal verdadera: Músculo oral o bocal Epitelio plano estratificado no queratinizado NO hay glándulas

Slide 17

    Epiglotis
    Eje de fibroelástico Cartilago elástico recubierto de epitelio  Cierra la laringe durante la deglución Cara ventral: Epitelio respiratorio Cara posterior: Epitelo plano estratificado no queratinizado

Slide 18

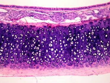
    Tráquea
    12 cm 16-20 cartilagos abiertos por atrás, cerrados por músculo liso traqueal Estos cartilagos puede estar cubiertos por tejido fibroelástico o músculo. Entre la túnica mucosa y submucosa hay una condensación de fibras elásticas -Túnica mucosa: Epitelio respiratorio + lámina propia (fibras elásticas, reticulares y los conductos de las glándulas)-Túnica Submucosa: Adenómeros mucosos, serosos y mixtos-Túnica fibromuscular - cartilaginosa: Cartílago (Pericondrio fibroso, interno o condrógeno, matriz cartilaginosa, pericondrio condrogeno y pericondio fibrosa (de arriba hacia abajo).-Túnica Adventicia: Unión con el esófago¿Qué es una mucosa?Epitelio + lámina propia o corion
    Caption: : Túnicas de la Tráquea

Slide 19

    Caption: : Túnicas de la traquea, bajo la túnica fibromuscular o cartilaginosa esta la túnica adventicia (tejido conectivo más cartilago, por posterior se encuentra el músculo traqueal liso)

Slide 20

    Tráquea
    Desde la división de la tráquea hacia los sacos alveolares: Epitelio más simple y más bajo Menos glándulas y cartílago Más musculo

Slide 21

Slide 23

    Bronquios secundarios
    La tráquea se divide en dos bronquios primarios Los bronquios primarios se dividen en el hilio en bronquios secundarios lobares Hay tres bronquios secundarios en el lado derecho y dos bronquios secundarios en lado izquierdo Tienes "placas de cartílago" Epitelio cilíndrico Capa muscular Adenómeros glandulares Adventicia : tejido conjuntivo con muchísimas FIBRAS ELÁSTICAS, se continúa con las fibras conectivas del tejido pulmonar vecino En la adventicia y la mucosa son frecuentes las acumulaciones de linfocitos

Slide 24

Slide 25

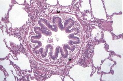
    Bronquiolo propiamente tal
    No hay cartílagoNo hay glándulas (NINGÚN BRONQUIOLO)Mucosa: Epitelio cilindrico ciliado o no ciliadoCapa muscular: Es la más GRUESA del aparato respiratorioAdventicia: Muchas fibras elásticasCélulas de Clara Sustitución de las células caliciformes Secretan glucoproteínas Protegen al epitelio, degradan sustancias tóxicas Función tensioactiva Se dividen para regenerar el epitelio Aparecen en los bronquiolos propiamente tal, broquiolo terminal y bronquiolo respiratorio Son más abundantes en el BRONQUIOLO TERMINAL
    Caption: : Bronquiolo propiamente tal con una capa muscular muy gruesa

Slide 26

Slide 28

Slide 29

    Conducto alveolar
    Epitelio plano o cúbico Presenta fibras reticulares y músculo liso , siendo la última estructura que presenta esta musculatura lisa Actúa como esfínter para los alveolos

Slide 30

    Sacos alveolares
    Epitelio simple plano NO hay músculo liso Fibras reticulares, colágeno tipo I , proteoglicanos Donde existe alveolo no hay linfáticos Antro: entrada a los alveolos Poros de kohn: Vía de escape, sirve para equilibrar presiones, se encuentran en los tabiques alveolares

Slide 31

    Alveolos
    Neumocitos tipo I 95% Epitelio simple plano Pocos organelos, escasas mitocondrias Uniones entre los neumocitos tipo I es del tipo ocluyente Neumocitos tipo II 5% Células septales, formando las paredes del alveolo Muchas microvellosidades RER muy desarrollado Forma cuboidea Citoplasma tiene los cuerpos laminares: lipoproteinas (sustancias tensioactiva), liberada por exocitosis Producen y fagocitan el agente tensioactivo Pueden generar neumocitos tipo I y II. En los prematuros no hay sustancia tensioactiva, no se pueden distender los alveolos Unión con el neumocito tipo I es del tipo ocluyente
     Células endoteliales de los capilares continuosSumergidos en tejido conectivo laxoMacrófagos alveolares Monocitos sanguíneos  Pasan al intersticio y se filtran en el alveolo Cuando pasan por el tejido conectivo se transforman en macrófagos. Fagocitosis Presenta receptores de IgG

Slide 32

Slide 34

Slide 35

Slide 36

    Intercambio gaseoso
    Difusión pasiva por una diferencia en concentraciones en gases en la proximidad de los vasos sanguineos Oxígeno: Para llegar hasta los hematíes, el O2 atraviesa la capa de surfactante lipoproteico, el citoplasma de los neumocitos de tipo I, la lámina basal, el citoplasma de la célula endotelial y el plasma sanguíneo. En algunos sitios hay tejido conjuntivo laxo entre el epitelio y el endotelio. Dióxido de carbono: Se difunde en dirección contraria

Slide 37

    Circulación sanguínea
    Vasos funcionales (pulmonares): Lecho capilar, cubre cada alveolo, intercambio gasesos Arterias pulmonares Venas pulmonares: sangre oxigenada Vasos nutricios (sistémicos):Llegan hasta los bronquiolos terminales, no hay en los bronquiolos respiratorios, nutren al parénquima del pulmón. Arterias bronquiales Venas bronquiales

Slide 38

    Linfáticos pulmonares
    Red superficial: Pleura Red profunda Ambas redes se unen en el hilio llegando a los ganglios linfáticos hiliares. Donde hay alveolo no hay linfáticos Acompañan a los bronquiolos y vasos pulmonares  También hay en los tabiques interlobulares.

Slide 39

Slide 40

    Fumadores...
    Irritación de la mucosa respiratoria Aumento en la secreción de células caliciformes y glándulas mucosas El epitelio sufre metaplasia: Pasa del epitelio respiratorio a un epitelio plano estratificado no queratinizado Puede ser reversible este cambio y transformarse denuevo en un epitelio respiratorio ( Epitelio cilindrico cliado pseudoestraficado con celulas caliciformes)
Show full summary Hide full summary

Similar

Epidemiology
Danielle Richardson
History of Medicine: Ancient Ideas
James McConnell
Epithelial tissue
Morgan Morgan
4. The Skeletal System - bones of the skull
t.whittingham
Neuro anatomy
James Murdoch
The Endocrine System
DrABC
Respiratory anatomy
James Murdoch
Medical Terminology
khachoe_pema
Diabetes - pathophysiology
Morgan Morgan
PHARMACOLOGY BLOCK 1- basic intro
wallacejr@hotmail.co