Zahngesundheit

Description

Vitalmanagement Flashcards on Zahngesundheit, created by Claudia Kinbacher on 01/04/2014.
Claudia Kinbacher
Flashcards by Claudia Kinbacher, updated more than 1 year ago
Claudia Kinbacher
Created by Claudia Kinbacher over 11 years ago
28
0

Resource summary

Question Answer
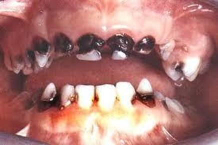
Erklären Sie das nursing-bottle-syndrom
Nennen Sie Möglichkeiten der Kariesprophylaxe. Zähne putzen gesunde Ernährung Fluor,...
Show full summary Hide full summary

Similar

Zahngesundheit
h.bauer
Zahngesundheit_1
Claudia Kinbacher