null
US
Sign In
Sign Up for Free
Sign Up
We have detected that Javascript is not enabled in your browser. The dynamic nature of our site means that Javascript must be enabled to function properly. Please read our
terms and conditions
for more information.
Next up
Copy and Edit
You need to log in to complete this action!
Register for Free
702355
Zahngesundheit_1
Description
Vitalmanagement Flashcards on Zahngesundheit_1, created by h.bauer on 01/04/2014.
No tags specified
vitalmanagement
vitalmanagement
Flashcards by
h.bauer
, updated more than 1 year ago
More
Less
Created by
Claudia Kinbacher
over 11 years ago
Copied by
h.bauer
over 11 years ago
5
0
0
Resource summary
Question
Answer
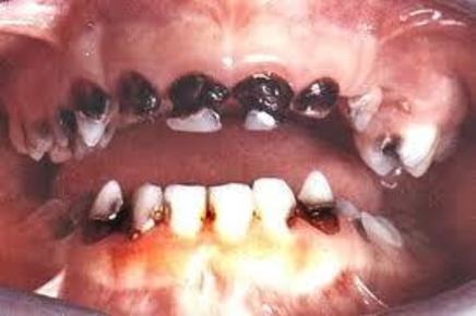
Erklären Sie das nursing-bottle-syndrom
Image:
images (image/jpg)
Nennen Sie Möglichkeiten der Kariesprophylaxe.
Zähne putzen gesunde Ernährung Fluor,...
Show full summary
Hide full summary
Want to create your own
Flashcards
for
free
with GoConqr?
Learn more
.
Similar
Zahngesundheit
h.bauer
Zahngesundheit_1
Claudia Kinbacher
Browse Library