Hämatologie - Blutbild

Description

Grundlagen Hämatologie
Magdalena Buder
Flashcards by Magdalena Buder, updated more than 1 year ago
Magdalena Buder
Created by Magdalena Buder almost 9 years ago
348
0

Resource summary

Question Answer
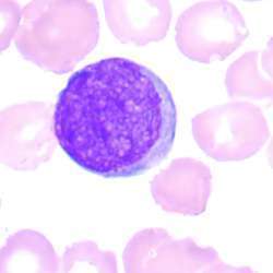
Myeloblast = bis 5 % von Blutzellen 12-20 Mikrometer (lt. Unterlagen Dass 15 Mikrometer), rund bis leicht oval Kern-Plasma-Relation: zu Gunsten des Kerns = großer Kern Kerntopographie: randständig Kernkonfiguration: rund bis oval, meist abgeflacht Kernchromatik: feinretikulär, homogen, samtig Nucleolus: 1-3 Zytoplasmafarbe: schwach basophil Graduierung Zytoplasma: keine - Ausnahme Blast Typ II
Promyelozyt - 5 % 20-50 Mikrometer (Unterlagen Dass 20-25 Mikrometer), größte granulozytäre Zelle, rund bis oval Kern-Plasma-Relation: ziemlich ausgeglichen, noch viel Kern Kerntopographie: exzentrisch, Kernkonfiguration: rund, oval, leicht abgeflacht Kernchromation: noch fein aber bereits dichter, ähnlich wie Myeloblast Nucleolus: 1-3 Zytoplasmafarbe: schwach basophil mit pernukleärer Aufhellungszone (Golgiapparat) Graduierung des Zytoplasmas: Primärgranulat = grobe rotviolette Granulat
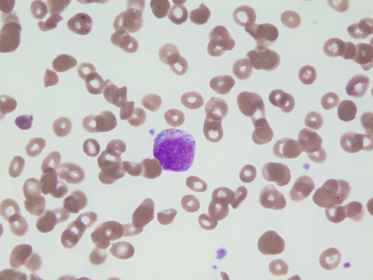
Myelozyt 14-20 mikrometer, mittelgroß, rund Kern-Plasma-Relation: ausgeglichen Kerntopographie: exzentrisch Kernform: eher oval bis rund Kernchromatik: etwas verdichtet, kondensiert Nucleolus: kaum mehr sichtbar, letzte teilungsfähige Zelle Zytoplasmafarbe: neutrophil = rotgrau schmutzig Graduierung des Zytoplasmas: spezifische Sekundärgranulat (eosophil li, basophil mi, neutrophil re)
Nenne die Zusammensetzung von Blut. Es besteht aus Blutkörperchen (zellulärer Anteil) und aus Plasma. Die Blutzellen unterteilen sich in Erythrozyten, Leukozyten und Thrombozyten. Das Plasma in Serum (Elektrolyte, Vitamine, Eiweiß, KH, Fette) und Fibrinogen
Welche Aufgaben hat Blut? Transport - Sauerstofftransport, CO2-Transport (gelöst), Nährstoffe u.a. Puffer: Elektrolyte, pH-Wert (7,35 bis 7,45) - Bicarbonat, Plasmaproteine - und Wärme. Abwehr: Leukozyten, Immunglobuline, Komplemente. Gerinnung: Thrombozyten, Fibrinolysefaktoren, Gerinnungsfaktoren.
Wo findet die Blutbildung statt? Beim Embryo im Dottersack, ab der 6. SSW in Leber und Milz und ab dem 6. SSMonat im Knochenmark. Als Neugeborenes ist das gesamte Knochenmark aller Knochen blutbildend = rotes KM. Mit zunehmenden Alter + Fettmark (gelb) und weniger rotes KM (in Extremitäten). Erwachsener: Blutbildung nur mehr im Stammskelett (50 % Fettanteil).
Was sind Ortsständige Zellen? = Hilfszellen wie Knochenbällchen mit Osteoklasten (zählen zum monozytär phagozytären System, Resorption von Knochengewebe) und Osterblasten (sind für Knochenbildung verantwortlich, bilden sich aus undifferenzierten Mesenchymzellen). Blutgefäße, Retikulumzellen, Makrophasen, Fettzellen.
Was sind Vorläuferzellen? = Blutbildende Zellen. Zellen der Granulopoese, Erythropoese und Thrombopoese, lymphatische Zellen.
Was ist die Pluripotene Stammzelle? 1. Sie ist unsterblich - Zeltneuerung 2. Differenzierung in Erythropoese - Erythrozyten Granulopoese - Granulozyt, Monozyt Megarkaryopoese - Thrombozyt Lymphopoese - Lymphozyt
Was heißt Proliferation? = Allgemeine Bezeichnung der Vermehrung von Zellen lt. mitotischer Zellteilung
Was heißt G-CSF? Granulozyt-Colony-Stimulating Factor = ein Peptidhormon das als Cytokin unter anderem bei Entzündungen vom Körper ausgeschüttet wird und die Bildung von Granulozyten anregt.
Was ist das Thrombopoetin? Es ist ein Hormon, auch Thrombopoietin genannt, das die Bildung und Differenzierung der Blutplättchenbildenden Zellen - der Megakaryozyten stimuliert. Im Rahmen von der Thrombopoese für die Bildung von Blutplättchen (Thrombozyten) notwendig.
Was ist Erythropoetin? Ist als Glykoprotein ein Wachstumsfaktor für die Bildung neuer Erythrozyten während der Blutbildung verantwortlich.
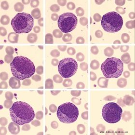
Beschreibe einen Neutrophilen Metamyelozyt? 22 %, 15 Mikrometer Umfang. Kern ist deutlich eingebuchtet, Chromatin ist dicht, Plasma zart rosa, neutrophile Granula.
Beschreibe einen Neutrophilen stabkernigen Granulozyt! 40 %, 15 Mikrometer, Kern tief eingebuchtet, stabförmig.
Show full summary Hide full summary

Similar

1_Blut und Blutkreislauf
Ulrike Renauer
Blut und Blutkreislauf
Ulrike Renauer
BLUT - Bestandteile
El Se
Das Blut
Lialovesswimming
Anämien - Blutarmut
Kerstin Vommars
Menschlicher Körper
M S
Atmung, Herzkreislauf
Ursula Trucco
Blutkreislauf I
Manuela Zerbini
Biologie-Quiz
m.frankenstein
1_1_Blut und Blutkreislauf
Ulrike Renauer