Tejido Adiposo

Description

Tejido adiposo.
Jocelyn Aldana
Note by Jocelyn Aldana , updated more than 1 year ago
Jocelyn Aldana
Created by Jocelyn Aldana about 10 years ago
1486
0

Resource summary

Page 1

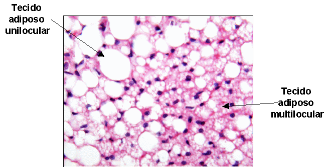
Tejido Adiposo.Jocelyn Aldana Se clasifica en dos tipos, sea que está constituido por adipocitos uniloculares o multiloculares."Tejido adiposo blanco o unilocular"* Cada célula de grasa unilocular contiene una gota de lípido que confiere el tejido adiposo compuesto de estas células un color blanco.* Tiene en abundancia vasos sanguíneos, que forman redes de capilares en todo el tejido* Las membranas plasmáticas de las células adiposas uniloculares contienen receptores para varias sustancias, entre ellas insulina, hormona de crecimiento, noradrenalina y glucocorticoides, que facilitan la captación y liberación de ácidos grasos libres y glicerol.* La grasa unilocular se halla en las capas subcutáneas de todo el cuerpo. También se encuentra en acumulaciones en sitios característicos que dependen del sexo y la edad."Tejido adiposo pardo o multilocular"Está compuesto de células de grasa multiloculares que almacenan grasa en múltiples gotitas.El tejido adiposo pardo es muy vascular por que los vasos se localizan cerca de los adipocitos. En recién nacidos, la grasa parda se localiza en las regionesdel cuello y el área interescapular, debido a que es éste tejido el que los mantiene calientes. El tejido adiposo pardo se vincula con la producción de calor corporal por el gran número de mitocondrias en los adipocitos multiloculares que constituyen este tejido.La termogenina, en las mitocondrias, permite el flujo retrógrado de protones en lugar de utilizarlos para la síntesis de ATP, como resultado del desacoplamiento de la oxidación por la fosforilación, el flujo de protones genera energía que se dispersa como calor.

Show full summary Hide full summary

Similar

Aparato CIRCULATORIO - De Mapa Mental
JL Cadenas
Composición química y celular de la sangre
Siomara Leon Barreto
Definiciones CARDIOLOGÍA
Vivi Riquero
T9. Enfermedades Inflamatorias
Vivi Riquero
Anatomía cabeza
Diego Santos
Fichas para oposiciones de auxiliar de enfermería
leyvamiri
Hematología - ENARM
Emilio Alonsooo
Anatomía cabeza
maca.s
Oftalmología - ENARM
Emilio Alonsooo
Infecciones Quirúrgicas
Exero
mitosis y meiosis
juan perez