Composición química y celular de la sangre

Description

Diferencias entre células sanguíneas de animales y hemanos
Siomara  Leon Barreto
Slide Set by Siomara Leon Barreto , updated more than 1 year ago
Siomara  Leon Barreto
Created by Siomara Leon Barreto about 10 years ago
5541
6

Resource summary

Slide 1

    Informe de laboratorio  
    "Composición química y celular de la sangre"Jessica Ordoñes  Wendy Caicedo Siomara LeónUniversidad de los LlanosBiología2015

Slide 2

    Objetivo
    Identificar y reconocer los elementos que componen la sangre diferenciando morfologías (tamaño-forma) de los componentes celulares de la sangre.

Slide 3

    Marco Teorico
    ¿Que es la Sangre? Es un tejido líquido que recorre el organismo, a través de los vasos sanguíneos, transportando células y todos los elementos necesarios para realizar sus funciones vitales. 

Slide 4

    Cumple múltiples funciones necesarias para la vida como la defensa ante infecciones, los intercambios gaseosos y la distribución de nutrientes. La sangre también se lleva los materiales de desecho, producidos por las células en los procesos metabólicos 
    Funciones 

Slide 5

Slide 6

    Componentes 
    Plasma: Es la fracción líquida de la sangre. Se obtiene al dejar a la sangre desprovista de los glóbulos rojos y los glóbulos blancos. Está compuesto por un 90 % de agua, un 7 % de proteínas, y el 3 % de grasa, glucosa,vitaminas, hormonas, oxígeno, dióxido de carbono,nitrógeno, además de productos de desecho como el ácido úrico.  

Slide 7

    Componentes
    Suero:El suero sanguíneo o suero hemático es el componente de la sangre resultante tras permitir la coagulación de ésta y eliminar el coágulo resultante. Es equivalente al plasma sanguíneo, pero sin las proteínas involucradas en la coagulación (fibrinógeno en su mayor parte). 

Slide 8

    Componentes
    Glóbulos Rojos:O eritrocitos están especializados para el transporte de oxígeno, son discos bicóncavos de aproximadamente 7-8μ de diámetro y grueso de 1-2μ. Cuando madura el glóbulo rojo de un mamífero, expulsa su núcleo y mitocondrias y otras estructuras celulares se disuelven.

Slide 9

    Componentes 
    Glóbulos Blancos:La función principal es la defensa del organismo contra invasores tales como virus, bacterias y otras partículas extrañas. Estás células son casi incoloras, más grandes que los glóbulos rojos, no contienen hemoglobina y tienen un núcleo. Existen cinco tipos diferentes de glóbulos blancos en mamíferos y seis en anfibios. 

Slide 10

    Linfocitos: Son de menor tamaño, de color azulado encargados de la humanidadMonocitos: Son mas grandes y se encargan de los desechos Eosinofilos: Regulan las reacciones alérgicasBasofilos: Encargados de las respuestas inmunitarias Neutrofilos: Son mas abundantes retardan la acción de agentes infecciosos 
    Componentes

Slide 11

Slide 12

    Componentes 
    Plaquetas:Son discos incoloros de forma irregular, más pequeños que los glóbulos rojos, fragmentos citoplasmáticos, limitados por membrana,los megacariocitos, que se encuentran en la médula ósea. Son pequeñas bolsas de productos químicos que desempeñan un papel esencial al iniciar la coagulación de la sangre y obturar roturas de los vasos sanguíneos.

Slide 13

Slide 14

Slide 15

    Procedimiento 
    En primer lugar se procedió  a tomar una muestra de sangre de un humano y de un anfibio (sapo)Para la muestra de humano se requirió una jeringa y un tubo de ensayo con EDTA (anti-coagulante).

Slide 16

    Para la muestra del sapo en primer lugar se puso en una bolsa con cloroformo para dormirlo y se procedió a diseccionar, se tomo la sangre del corazón y al igual que la anterior muestra se deposito en un tubo de ensayo con EDTA 
    Procedimiento 

Slide 17

Slide 18

    Procedimiento 
    Transcurridos los 15m se sacan las muestras y se observa que el plasma, los glóbulos rojos y los blancos se encuentran separados se montan sobe una lamina para observarlas en el microscopio.Para esto con ayuda de una lanceta se toma una pequeña cantidad de la muestra de la parte donde están los leufocitos (se diferencia por el color)   

Slide 19

    Procedimiento 
    Se pone una gota de cada muestra tomada con la lanceta en una lamina, se deja secar por un momento, posteriormente se debe pasar por calor (encendedor) para fijar la muestra se aplica colorante de wright para poder ver los glóbulos blancos ya que estos son incoloros y finalmente se lava suavemente para retirar los excesosSe lleva al microscopio y se procede con las observaciones. 

Slide 20

Slide 21

    Observaciones 
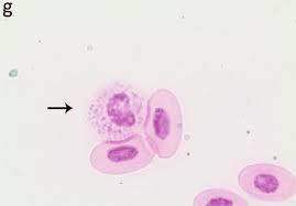
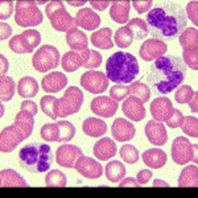
    En la muestra sanguínea del Sapo se observa un tipo de célula que no poseen los seres humanos llamada Azurofilos Se observa que los glóbulos rojos no poseen núcleo en comparación con los glóbulos blancos que si poseen. 

Slide 22

    Los glóbulos rojos al madurar pierden el núcleo para obtener mas espacio para las funciones que cumple como el transporte del oxigeno.Los glóbulos Blancos mantienen su núcleo También se logra determinar a partir de la observación que la cantidad de glóbulos blancos en la sangre es menor a la de los rojos.
    Observaciones 

Slide 28

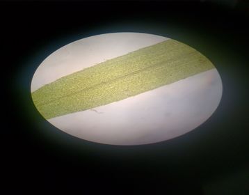
    Procedimiento Anexo 
    Adicionalmente se realizo la observación de la plasmolisis, para esto se puso una muestra de una planta en una solución hipertonica (solución salina) y se pudo observar que la membrana celular se recogió.  

Slide 31

    1.    ¿POR QUÉ SE DICE QUE LOS SERES VIVOS SON SISTEMAS ABIERTOS?Un sistema abierto presenta relaciones de intercambio con el ambiente, a través de entradas y salidas, en los sistemas abiertos se intercambian materia y energía regularmente con el medio ambiente. Los seres vivos establecen relaciones de intercambio con el ambiente por lo que se consideran sistemas abiertos.
    Cuestionario 

Slide 32

    2. ¿A QUÉ SE DENOMINA "ESTADO DE EQUILIBRIO INTERNO"?Al conjunto de fenómenos de autorregulación que llevan al mantenimiento de la constancia en las propiedades y la composición del medio interno de un organismo que le permite regular el ambiente interno para mantener una condición estable. La estabilidad es posibilitada por distintos mecanismos de autorregulación y diversos ajustes dinámicos. estos procesos o se conocen como Homeostasis 
    Cuestionario 

Slide 33

Slide 34

    4. ¿Qué relación existe entre la permeabilidad de la membrana y el transporte de sustancias a través de ella?el transporte son mecanismos que regulan el paso de solutos, como iones y pequeñas moléculas, a través de membranas plasmáticas, esto es, bicapas lipídicas que poseen proteínas embebidas en ellas una característica de las membranas celulares que las faculta como agentes de separación específica de sustancias de distinta índole química; es decir, la posibilidad de permitir la permeabilidad de ciertas sustancias pero no de otras.

Slide 35

    5¿La difusión es un fenómeno de transporte activo o pasivo? La difusión es el desplazamiento neto de moléculas desde zonas de mayor concentración hacia zonas de menor concentración. Es pasivo ya que no requiere energía y es el principal mecanismo de movimiento de moléculas en las células. Ej. paso de sustancias a través de la membrana plasmática, como los gases respiratorios, el alcohol y otras moléculas no polares.
    Custionario
    Cuestionario 

Slide 36

    6. ¿Cuál es el papel de la proteína llamada clatrina en los intercambios a través de vesículas?Las clatrinas son proteínas citoplasmáticas que se organizan para formar un tipo de "carcasa" que es la responsable de la invaginación y estrangulación de la membrana plasmática en la endocitosis. La función principal es recubrir las vesículas intracelulares.
    Cuestionario 
    Cuestionario

Slide 37

    Cuestionario 
     7. ¿Qué son las acuaporinas?Es una proteína transmembrana, encargada de transportar el agua La importancia de las aquaporinas recalca que no solo explican los rápidos cambios del volumen celular causados por la entrada o salida del agua sino también, respuestas de cambios fisiológicos o a alteraciones patológicas, Hasta el momento se han descrito 11 subtipos de acuaporinas 

Slide 38

    8. ¿Qué es un gradiente?Diferencia o variación en cantidad o dirección de algo, pueden ser de concentración de moléculas entre una región y otra, de energía, Si se aplica a la membrana celular se refiere a la diferencia en las concentraciones de iones entre ambos lados de la misma.
    Cuestionario 

Slide 39

    9. ¿Cómo definiría transporte facilitado?Es una forma de transporte pasivo (sin gasto de energía) en la cual el soluto es captado y trasladado por una proteína transportadora o carrier a favor del gradiente químico, físico o eléctrico, experimentando en el proceso un cambio en su conformación.
    Cuestionario
    Cuestionario 

Slide 40

    10. ¿Cuál es la diferencia entre crenación y plasmólisis?Tanto la crenacion como la plasmolisis son procesos en los cuales se produce la deshidratacion de una célula debido a que las condiciones externas son hipertonicas y esto hace que el contenido de agua al interior de la célula se liberado.se llama crenacion cuando ocurre en una celula animal por lo general causa la destrucción de la misma y plasmolisis en la celula vegetal y puede ser reversible.
    Cuestionario

Slide 41

    Fuentes Consultadas 
    https://www.google.com.co/search?q=transporte+pasivo+difusion&espv=2&biw=1366&bih=623&tbm=isch&tbo=u... https://es.wikipedia.org/wiki/Transporte_de_membrana http://csa-biologia.blogspot.com.co/2010/04/los-seres-vivos-son-sistemas-abiertos.html  http://definicion.de/homeostasis/#ixzz3ppwHm3GZ  http://www.botanica.cnba.uba.ar/Pakete/3er/LaCelula/TransportedeMembrana.htm http://www.blogdebiologia.com/transporte-facilitado-por-proteinas.html
Show full summary Hide full summary

Similar

Ciclos de los Elementos
Diego Santos
Fichero de Hematología
Angie Rodriguez 9930
Cuadros Catabolismo de ácidos grasos/ Glucólisis/ Ciclo de Krebs
Nadia Bg
CICLOS BIOGEOQUIMICOS
angeles empantanados
primer MAPA DE SEMINARIO NUCLEAR tercer corte
ismael antonio naranjo polania
Biología Celular
maya velasquez
Animales
Diego Santos
Disoluciones Químicas
maya velasquez
Examen Metabolismo
Diego Santos
Ecología de los Seres Vivos
Cami Puaque