Primer examen modulo 1, neurología, ACV hemorragico y Enfermedad de la placa neuromuscular.

Description

ACV hemorragico y Enfermedad de la placamotora, 50 preguntas, 1 minuto para cada una.
oswaldovc05026
Quiz by oswaldovc05026, updated more than 1 year ago
oswaldovc05026
Created by oswaldovc05026 almost 12 years ago
9772
10

Resource summary

Question 1

Question
Paciente que presenta hemiplejia contralateral (cara brazo ˃ pierna), Déficit sensitivo contra-lateral, afasia (hemisferio izquierdo), hemianopsia, desviación oculocefalica hacia el lado de la lesión. ¿Que arteria es la afectada?
Answer
  • Arteria cerebral media
  • Arteria cerebral posterior
  • Arteria cerebral anteriror
  • Arteria recurrente de heubner
  • Esta pregunta es injusta por que es de otro tema(acv isquemico), y medicina solo preguntan del tema de la clase.

Question 2

Question
La hemorragia cerebral de origen aneurismatica (4%) es:
Answer
  • Hemorragia intracerebral
  • Hemorragia sudaracnoidea
  • Hemorragia intraparenquimatosa
  • todas son correctas

Question 3

Question
Hemorragia de origen hipertensiva (7%) es:
Answer
  • HEMORRAGIA SUB ARACNOIDEA
  • HEMORRAGIA INTRACEREBRAL
  • HEMORRAGIA INTERVENTRICULAR
  • TODAS SON CORRECTAS

Question 4

Question
Si luego de practicar estudios imaneologicos de encefalo, ud determina que es un ACV hemorraico, cual es procedimiento a seguir, según el algoritmo del tratamiento de apoplejía de su libro de texto.
Answer
  • Definir la causa
  • Pensar en trombolisis
  • Pensar en trombectomia
  • Pensar en disminución de Presión arterial

Question 5

Question
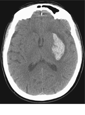
El siguiente tac sin medio de contraste(figura 370-17 de harrison 18 ed) nos muestra lo siguiente:
Answer
  • Hemorragia por hipertensión del lado izquierdo.
  • Hemorragia por aneurisma del lado derecho.
  • Hemorragia por hipertensión del lado derecho.
  • Hemorragia por aneurisma del lado izquierdo.

Question 6

Question
De la hemorragia intracerebral podemos decir de su tratamiento inmediato (Pag 3297 y 3298):
Answer
  • En el caso de personas que reciban warfarina sódica se logra la reversión más rápida de la coagulopatía con la aplicación endovenosa de concentrados de complejo de protrombina, seguida de plasma fresco congelado y vitamina k.
  • Es importante revertir a la brevedad posible cualquier coagulopatía identificada.
  • En promedio, 50% de los pacientes con una hemorragia intracerebral hipertensiva fallecen, pero los demás se pueden recuperar bastante bien o incluso por completo si viven después de la primera hemorragia.
  • todas son correctas

Question 7

Question
Paciente del sexo femenino de 24 años de edad, sin antecedentes de salud importantes, quien durante relación sexual, presenta cefalea intensa, nauseas y vómitos en arcada ¿Cual es su principal impresión diagnostica?
Answer
  • Hemorragia subaracnoidea primaria
  • Hemorragia subaracnoidea secundaria
  • Hemorragia intraparenquimatosa
  • hemorragia intracerebral

Question 8

Question
El estudio de elección de esta paciente para corroborar su impresión diagnostica es:
Answer
  • Angiografia de 4 grandes vasos
  • TAC cerebral con material de contraste
  • RM difusión - perfución
  • TAC cerebral sin material de contraste

Question 9

Question
Si el estudio anterior no le sustenta la impresión diagnostica, se procederá a realizar el siguiente procedimiento:
Answer
  • Toma de Panagiografia
  • Toma de RM convencional
  • Punción lumbar
  • Toma de RM con sustracción digital

Question 10

Question
Si el estudio anterior le confirma la impresión diagnostica, usted podrá solicitar el siguiente examen de gabinete para un diagnostico mas especifico:
Answer
  • Angiografia 3D con sustracción digital
  • Punción lumbar
  • Resonancia Magnética convencional
  • Resonancia magnética con sustracción digital

Question 11

Question
Si el estudio anterior le confirma lo que usted sospecha, procederá a dar el tratamiento mas adecuado por ser menos invasivo y mas novedoso, ¿Cual es?
Answer
  • Clipaje del aneurisma
  • Craneotomia
  • Terapia endovascular con colocacion de coil
  • Todos estos tratamientos son adecuados

Question 12

Question
De la(s) complicación(es) mas temida(s) de la HSA podemos decir:
Answer
  • Es el Resangrado
  • Es el vasoespasmo
  • Solo el grado III de la escala de fisher, nos sirve para predecir las complicaciones mas temidas de la HSA
  • Todo es correcto

Question 13

Question
En caso de no contar con TAC cerebral ¿que otra prueba imaneologica se puede realizar?
Answer
  • Resonancia magnética con ecogradiente difusión perfusión
  • Angiografia 3D
  • RMN convencional
  • Punción lumbar

Question 14

Question
Causa mas común de HSA
Answer
  • HTA
  • Postraumatica
  • Rotura de aneurisma
  • Aneurimastica

Question 15

Question
Causa primaria no traumatica de HSA
Answer
  • HTA
  • Rotura de aneurisma
  • Postraumatica
  • Tabaquismo

Question 16

Question
Estudio de elección para diagnóstico de HSA:
Answer
  • Angiografía 3D con sustracción digital
  • Angio TAC
  • Angio Resonancia
  • Punción lumbar
  • todas son correctas

Question 17

Question
En el evento Cerebro Vascular, se incluyen estos cuadros clinicos, menos uno, señalelo:
Answer
  • Ruptura de Aneurisma de Charcot y bouchard
  • ACV isquemico
  • Aneurisma de la arteria cerebral posterior
  • ACV hemorragico
  • Infarto lacunar

Question 18

Question
La causa más frecuente de hemorragia intraparenquimatosa hipertensiva es:
Answer
  • Ruptura de microaneurismas de ramas terminales de la arteria comunicante anterior
  • Ruptura de microaneurismas de ramas terminales de arteria cerebral media y cerebral posterior
  • Ruptura de microaneurismas de ramas terminales de comunicante anterior y comunicante posterior
  • Ruptura de microaneurismas de la arteria basilar
  • Todas las anteriores

Question 19

Question
En la hemorragia parenquimatosa se puede afirmar que su origen mas frecuente esta en pacientes hipertensos crónicos y que se da principalmente en los ganglios basales.
Answer
  • True
  • False

Question 20

Question
Para evitar las complicaciones mas temidas en la hemorragia parenquimatosa, es que esta indicada la cirugía inmediata.
Answer
  • True
  • False

Question 21

Question
La probabilidad de vasoespasmo se puede predecir en todos los grados de la escala de fisher.
Answer
  • True
  • False

Question 22

Question
Las indicaciones para un punción lumbar, son tanto para neuroinfecciones y para HSA, en donde buscamos estudiar el LCR para encontrar: Xantocromia, sangre o globulos rojos crenados.
Answer
  • True
  • False

Question 23

Question
De la enfermedad cerebro-vascular podemos afirmar que: dentro de la hemorragia intracerebral se encuentran clasificadas las hemorragias parenquimatosas y la hemorragia ventricular.
Answer
  • True
  • False

Question 24

Question
El ACV se clasifica dentro del segundo nivel de afectación neurológica de la neurona motora superior.
Answer
  • True
  • False

Question 25

Question
La escala de hunt-hess nos sirve para hacer diagnostico del estado de un paciente con acv.
Answer
  • True
  • False

Question 26

Question
La miastenia gravis es la enfermedad prototipo del tercer nivel de afectación neurológica.
Answer
  • True
  • False

Question 27

Question
La miastenia gravis es la enfermedad prototipo del tercer nivel de afectación neurológica.
Answer
  • True
  • False

Question 28

Question
¿Cual es el neurotransmisor implicado en la enfermedad prototipo del cuarto nivel de afectación neurológica?
Answer
  • nicotina
  • muscarina
  • acetato y colina
  • acetilcolina
  • todos son correctos
  • norepinefrina
  • adrenalina

Question 29

Question
¿Que resultados esperamos al bloquear la acetil colinesterza?
Answer
  • mayor cantidad de acetilcolina en la hendidura post sinaptica.
  • Mejoría de los síntomas de miastenia gravis
  • Se impide que se recicle el acetato y la colina al disminuir estos.
  • todo es correcto

Question 30

Question
con respecto a miastenia gravis, seleccione lo correcto:
Answer
  • Es una enfermedad donde esta a afectado el receptor del neurotransmisor.
  • es la ÚNICA enfermedad donde esta afectada la placa neuromuscular
  • Los receptores nicotinicos no intervienen en esta enfermedad.
  • todo es correcto

Question 31

Question
seleccione lo correcto al respecto de la inmunopatogenesis de la miastenia gravis:
Answer
  • Al remover los autoanticuerpos aumenta la severidad de la enfermedad.
  • La inmunoglobulina de los pacientes no causa síntomas en animales experimentales.
  • Es un desorden autoinmune medidado por autoanticuerpos.
  • La inmunizacion con antigenos blancos(AChR) no causa enfermedad en animales experimentales.
  • todo es correcto

Question 32

Question
Seleccione lo correcto al respecto del rol de la glándula timo en la miastenia gravis:
Answer
  • mas del 55% de pacientes sero positivos tienen hiperplacia timica
  • 80-85% de pacientes tienen tumor timico
  • El timo contiene celulas semejantes a miocitos que poseen en su interior receptores para acetil colina.
  • Los linfocitos T estimulan a los linfocitos B para producir anticuerpos
  • Todo es correcto

Question 33

Question
De la evaluación clínica de un paciente con MG podemos decir:
Answer
  • Hay debilidad influctuante
  • Hay fatigabilidad orofaringea
  • No hay fatigabilidad de los músculos axiales
  • el dolor muscular es el síntoma inicial en el 15% de los casos
  • todo es incorrecto

Question 34

Question
En el diagnostico farmacológico de la MG utilizamos:
Answer
  • Test de edrofonio
  • Test de fibra unica
  • Medición de anticuerpos contra acetilcolina
  • Medicion de anticuerpos MusK
  • Todo lo anterior se puede utilizar para hacer diagnostico farmacológico.

Question 35

Question
Que dosis de edrofonio se utiliza para realizar el test en caso que se requiera:
Answer
  • 2 mg iv al inicio.
  • 3 mg dosis sudsecuente
  • se puede llevar hasta a 10 mg
  • todo es correcto
  • ni una opción es correcta

Question 36

Question
En la terapia inmune a largo plazo de la miastenia gravis esta indicada la timectomia.
Answer
  • True
  • False

Question 37

Question
El timoma se observa en el 100% de los pacientes con miastenia gravis
Answer
  • True
  • False

Question 38

Question
En caso de MG ocular o generalizada leve, se puede utilizar prednisona en dosis inicial de 30 a 40 mg/dia
Answer
  • True
  • False

Question 39

Question
La Azatioprima interfiere con la proliferacion de celuals B y T y es efectivo en 70-90% de los pacientes con MG.
Answer
  • True
  • False

Question 40

Question
El mofetil micofenolato No suprime las celulas T y B, pero si bloquea la síntesis selectiva mente de purinas y pirimidinas
Answer
  • True
  • False

Question 41

Question
Un paciente tiene crisis miastenica cuando. Señale la correcta
Answer
  • La debilidad no cede con Piridostigmina 60mg VO 3 v/d
  • La debiilidad no cede con Piridostigmina 120mg VO 3 v/d
  • Tiene oftalmoplejia progresiva externa
  • La debilidad de la musculatura de la deglucion estan grave que necesita ventilacion asistida.

Question 42

Question
Se ha mostrado su utilidad en casos de Crisis miastenica, señale la correcta:
Answer
  • Mestinon
  • Inmunoglobulinas humanas
  • Azatioprina
  • Corticosteroides sistemicos e inahalados
  • Todas las anteriores

Question 43

Question
Después de la contracción muscular se hidroliza la acetil colina por el siguiente mecanismo:
Answer
  • Difusión de la acetilcolina lejos del receptor
  • acción de la acetiltransfersa
  • endocitosis de colina
  • por unión con el reseptor

Question 44

Question
Anticolinesterasico mas utilizado en la miastenia gravis es:
Answer
  • mofetil micofenolato
  • azatioprima
  • Piridostigmina
  • ciclosporina

Question 45

Question
Dentro de las pruebas neurofisiologicas para hacer diagnostico de miastenia gravis, tenemos la medición de anticuerpos contra receptores de acetil colina.
Answer
  • True
  • False

Question 46

Question
El edro-fonio tiene varios efectos adversos entre ellos: salivación, nauseas, fasciculaciones musculares y compromiso cardiovascular.
Answer
  • True
  • False

Question 47

Question
Los anticuerpos antireceptores de acetilcolina se detectan en un 80 a 85% en la MG generalizada.
Answer
  • True
  • False

Question 48

Question
En pacientes MG generalizada seronegativa se refiere que cuando mandamos las prueba de anticuerpos contra acetilcolina y salen negativos, entonces debemos mandar los anticuerpos anti MuSK
Answer
  • True
  • False

Question 49

Question
El Objetivo del tratamiento de la MG es: RETORNAR AL PACIENTE A SU FUNCIONAMIENTO NORMAL TAN PRONTO POSIBLE Y MINIMIZAR LOS EFECTOS ADVERSOS DE LA TERAPIA.
Answer
  • True
  • False

Question 50

Question
LOS MEDICAMENTOS QUE PUEDEN EXACERBAR LA MIASTENIA GRAVIS Y ESTAN Absolutamente Contraindicados, TENEMOS: Bloqueadores de los canales de calcio,β Bloqueadores (Propanolol, Atenolol , Metropolol), Litio,Materiales de contraste yodados,los medicamentos con estatinas.
Answer
  • True
  • False
Show full summary Hide full summary

Similar

Anatomía cabeza
Diego Santos
Anatomía cabeza
maca.s
FUNDAMENTOS DE LA EMBRIOLOGÍA.
fperezartiles
El Corazón
Frida Davalos
Resúmenes 3er Parcial.- Embriología, Histología y Anatomía
Mario Alberto Solis Villanueva
Fichero de Hematología
Angie Rodriguez 9930
El Sistema Respiratorio
jruizzuniga
Primeros auxilios en casos de envenenamiento o intoxicación
María Juana Rincón
Invaginación intestinal
Fernando Reyes
Sufijos en medicina
Ros Leon
Articulaciones y Músculos
Paola Mendoza