QUIZ DE HISTOLOGIA 3

Description

Quiz de Histología y Embriología Médica sobre los tejidos cartilaginoso, sanguíneo y nervioso para estudiantes de la Facultad de Medicina de la Universidad de Carabobo Venezuela.
Enzo Veracierta Pulone
Quiz by Enzo Veracierta Pulone, updated more than 1 year ago
Enzo Veracierta Pulone
Created by Enzo Veracierta Pulone over 8 years ago
1012
4

Resource summary

Question 1

Question
En relación a las características generales del cartílago, es falso que:
Answer
  • El elástico presenta fibras colágenas y elásticas
  • El hialino posee pericondrio
  • El hialino tiene aspecto vítreo y azulado.
  • El hialino presenta fibras colágenas y abundantes elásticas

Question 2

Question
¿Cuál de los siguientes mecanismos aporta nutrientes a los condrocitos maduros?
Answer
  • Los canales dentro del cartílago
  • La red capilar dentro de la matriz
  • La difusión a través de la matriz
  • Las conexiones entre los condrocitos adyacentes

Question 3

Question
¿De cuál de los siguientes tipos celulares derivan los condroblastos?
Answer
  • Fibroblastos
  • CMI
  • Condrocitos en Proliferación
  • Grupos Isógenos

Question 4

Question
¿En cuál de las siguientes estructuras corporales se encuentra el cartílago elástico?
Answer
  • Sínfisis del Pubis
  • Traquea
  • Conducto Auditivo Externo
  • Disco Intervertebral

Question 5

Question
De los siguientes cartílagos cual no posee pericondrio?
Answer
  • Placas Bronquiales
  • Anillos Traqueales
  • Menisco Lateral
  • Trompa de Eustaquio

Question 6

Question
El cartílago de las sínfisis del pubis, el conducto auditivo externo y el de la tráquea, son respectivamente cartílagos:
Answer
  • Elástico, hialino y fibrocartílago
  • Fibrocartílago, elástico y hialino
  • Fibrocartílago, hialino y hialino
  • Hialino, elástico y fibroso.

Question 7

Question
Proceso en el cual las células nuevas surgen de la división mitótica de los condrocitos en el interior de las lagunas.
Answer
  • Crecimiento por Aposición
  • Crecimiento Intramembranoso
  • Crecimiento Endocondral
  • Crecimiento Intersticial

Question 8

Question
El cartílago metafisario o de conjunción es cierto que:
Answer
  • Se encuentra en las diáfisis de los huesos
  • Es el único cartílago que queda del esqueleto cartilaginoso embrionario en el adulto
  • Es fibrocartilago
  • Su condrocito secreta colágeno tipo i, iii y iv, fibras elásticas y reticulares.

Question 9

Question
Molécula de colágeno que facilita la interacción entre las fibrillas y las moléculas de proteoglucanos de la matriz:
Answer
  • Colágeno tipo VI
  • Colágeno tipo II
  • Colágeno tipo IX
  • Colágeno tipo XI

Question 10

Question
La unión de una molécula de hialuronano con un agrecano mediante proteínas de enlace forma:
Answer
  • Sindecano
  • Monómero de Proteoglucano
  • Versicano
  • Aglomeraciones de Proteoglucanos

Question 11

Question
La gran hidratación y el movimiento acuoso permiten a la matriz cartilaginosa responder a cargas variables y le dan su capacidad de soportar peso
Answer
  • True
  • False

Question 12

Question
La zona intermedia o Transicional contiene condrocitos redondeados pequeños organizados en columnas cortas perpendiculares a la superficie libre del cartílago.
Answer
  • True
  • False

Question 13

Question
Identifique las áreas de la matriz cartilaginosa según sus propiedades tintoriales
Answer
  • Condroplasto
  • Matriz Amorfa
  • Matriz Capsular
  • Matriz Interterritorial
  • Condrocito
  • Matriz Acuosa
  • Matriz Territorial
  • Celula Condrogena
  • Matriz Fibroelastica

Question 14

Question
Con relación al tejido sanguíneo es cierto que:
Answer
  • El plasma está constituido por escasa agua y abundantes proteínas
  • El hematocrito nos indica el porcentaje del volumen sanguíneo compuesto por glóbulos blancos
  • La sangre es un líquido ligeramente alcalino
  • Sus células más abundantes son los glóbulos blancos

Question 15

Question
Con relación a los leucocitos neutrófilos (pmn) es cierto que:
Answer
  • Su forma es ovalada
  • Presentan un núcleo redondo y central
  • No tienen gránulos en su citoplasma.
  • Intervienen en los procesos de defensa del organismo

Question 16

Question
Con relación a los eosinófilos es cierto que:
Answer
  • Tienen un núcleo bilobulado
  • Intervienen en los procesos alérgicos
  • Sus gránulos específicos con el m/e presentan un centro cristaloide
  • Todas las proposiciones son ciertas

Question 17

Question
En relación a las proteínas plasmáticas todo es cierto, excepto:
Answer
  • La albumina es la proteína más pequeña del plasma pero la que se encuentra en mayor proporción y es sintetizada por el hígado
  • El fibrinógeno es la proteína plasmática más grande y es sintetizada por el hígado.
  • Las globulinas no inmunes son secretadas por el plasmocito y contribuyen a mantener la presión osmotica dentro del aparato cardiovascular
  • Las inmunoglobulinas son secretadas por los plamocitos y contribuyen a la inmunidad mediada por anticuerpos

Question 18

Question
De las proteínas de la membrana eritrocitaria se puede afirmar que:
Answer
  • La Glucoforina C Adhiere la membrana celular a la red proteica
  • La proteína de banda 3 forma una red bidimensional de modelo hexagonal
  • Son proteínas netamente perifericas
  • La anquirina fija la red hexagonal a la glucoforina C

Question 19

Question
Del eosinofilo todas las proposiciones son falsas, excepto:
Answer
  • Liberan Inmunoglobulinas
  • Libera arisulfatasa para evitar los efectos peligrosos de los agentes vasoactivos inflamatorios
  • contiene receptores TCR en su superficie
  • Acopla el antigeno al complejo mayor de histocompatibilidad para presentarlo al linfocito

Question 20

Question
La parte central de las plaquetas teñida con mayor intensidad se denomina cromómero
Answer
  • True
  • False

Question 21

Question
El Sistema canicular abierto son invaginaciones de la membrana plasmática hacia el interior del citoplasma
Answer
  • True
  • False

Question 22

Question
Los monocitos se transforman en macrófagos, que actúan como células presentadoras de antígenos en el sistema inmunitario
Answer
  • True
  • False

Question 23

Question
Los linfocitos TCD4 reciben fragmentos de antigeno acoplados al MHC1
Answer
  • True
  • False

Question 24

Question
El mecanismo que permite al neutrofilo reconocer al antigeno dentro del tejido es:
Answer
  • Fagocitosis
  • Diapedesis
  • Opsonización
  • Quimiotaxis

Question 25

Question
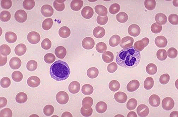
Identifica en la imagen las las células de la linea blanca presentes
Answer
  • Monocito
  • Neutrofilo
  • Basófilo
  • Eosinófilo
  • Linfocito

Question 26

Question
Los granulos primarios son los lisosomas de los neutrófilos y contienen mieloperoxidasa, que contribuye a la formación de hipoclorito y cloraminas
Answer
  • True
  • False

Question 27

Question
Es cierto que la fusión de los pliegues neurales:
Answer
  • Se inicia en la región cervical.
  • Comienza en la región cervical y se continúa en dirección cervical y caudal.
  • Transforma a la placa neural en tubo neural
  • Todas son ciertas.

Question 28

Question
La porción cefálica del tubo neural a las cuatro semanas está constituida de adelante a tras a las siguientes estructuras:
Answer
  • Prosencéfalo, cerebro medio y médula espinal
  • Prosencéfalo, mesencéfalo, romboencéfalo.
  • Telencéfalo diencéfalo y romboencéfalo
  • Telencéfalo, diencéfalo, mielencéfalo, metencefalo y mesencefalo

Question 29

Question
Las siguientes estructuras del snc se originan del romboencéfalo:
Answer
  • Protuberancia, cerebelo y el bulbo raquídeo
  • Protuberancia y médula espinal.
  • Sólo el cerebelo y la protuberancia
  • Exclusivamente el cerebelo

Question 30

Question
Es cierto que los neuroporos anterior y posterior:
Answer
  • Comunican el interior del tubo neural con el saco vitelino.
  • El posterior se cierra primero que el anterior.
  • Comunican el interior del tubo neural con el saco amniótico.
  • Ambos se cierran el dia 27

Question 31

Question
Las siguientes células nerviosas son de origen ectodérmico, excepto:
Answer
  • Células ependimarias.
  • Microglía
  • Astrocitos protoplasmáticos
  • Oligodendroglia

Question 32

Question
En relacion con el tejido nervioso señale la proposición correcta:
Answer
  • Los somas neuronales son elementos estructurales de la sustancia blanca
  • Las neuronas solo se ubican en la sustancia blanca
  • Las neuronas tienen gran capacidad de multiplicación
  • Las células de schwann, anficitos y teloglia forman la neuroglia periférica.

Question 33

Question
El flujo axonico se caracteriza por:
Answer
  • Transporta solo moléculas pequeñas
  • Es inconstante
  • Es bidireccional
  • Se realiza solo desde el axón hacia las dendritas

Question 34

Question
En relación a la estructura del nervio, señale la proposición falsa:
Answer
  • El perineuro recubre la superficie del nervio
  • El endoneuro separa axones entre si.
  • El epineuro recubre en superficie al nervio
  • El perineuro separa haces de fibras

Question 35

Question
El transporte anterogrado requiere
Answer
  • Proteinas P1 y P2
  • Dineina
  • Quinesina
  • Clatrinas

Question 36

Question
En el transporte axonal lento, el parche debe estar unido a la proteina P-TAU (fosfotau) para estar activo
Answer
  • True
  • False

Question 37

Question
Durante la Sinapsis, al alcanzar el potencial umbral se abren de forma sincronica los canales voltajosensibles de Na+
Answer
  • True
  • False

Question 38

Question
Paciente Masculino de 45 años de edad, natural de Bejuma y procedente de Canoabo, inconciente, polipnéico y con pupilas mióticas. El paciente fue expuesto a insecticidas con alto contenido de Cianuro, y se noto que la velocidad de la conducción nerviosa comenzo a disminuir, este fenómeno ocurrió porque:
Answer
  • El cianuro inhibe los canales de calcio provocando que no se despolarice la membrana.
  • El cianuro inhibe los canales rectificadores de potasio provocando un estado de despolarización constante.
  • El cianuro inhibe la bomba Na/K por lo que se produce una hiperpolarizacion de la membrana.
  • Ninguna de las anteriores son correctas.

Question 39

Question
La membrana plasmática abaxónica es la parte de la membrana expuesta al medio externo o al endoneuro
Answer
  • True
  • False

Question 40

Question
La conducción rápida del potencial de acción se debe a los nódulos de Ranvier
Answer
  • True
  • False
Show full summary Hide full summary

Similar

Resúmenes 3er Parcial.- Embriología, Histología y Anatomía
Mario Alberto Solis Villanueva
FUNDAMENTOS DE LA EMBRIOLOGÍA.
fperezartiles
Histología
carlos_lmsv7
sistema nervioso1
paula landaverde
Margarita Sistema nerviosa
felix torres
Célula Animal
Oscar E
SISTEMA NERVIOSO
clara araque
BIOMETRIA HEMATICA
Yaris Cst
Sistema nervioso central y sus funciones
jorge luis polanco
Sistema nervioso (generalidades)
Catalina García
Aparato visual
david iza