sindrome de Down

Description

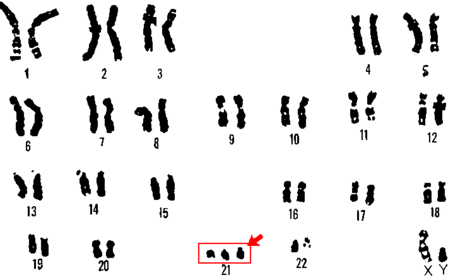
Resumen del sindrome de Down o Trisonomia libre del cromosoma par 21.
CKUN RAMOS
Slide Set by CKUN RAMOS, updated more than 1 year ago
CKUN RAMOS
Created by CKUN RAMOS over 10 years ago
20
0

Resource summary

Slide 1

    Es un trastorno genético causado por la presencia de una copia extra del cromosoma 21 (o una parte del mismo), en vez de los dos habituales, por ello se denomina también trisomía del par 21. Se caracteriza por la presencia de un grado variable de discapacidad cognitiva y unos rasgos físicos peculiares que le dan un aspecto reconocible.Es la causa más frecuente de discapacidad cognitiva psíquica congénita1 y debe su nombre a John Langdon Down que fue el primero en describir esta alteración genética en 1866, aunque nunca llegó a descubrir las causas que la producían. En julio de 1958 un joven investigador llamado Jérôme Lejeune descubrió que el síndrome es una alteración en el mencionado par de cromosomas.
    Sindrome de Down

Slide 2

    video sobre el sindrome de Down
    El primer informe documentado de un niño con SD se atribuye a Étienne Esquirol en 1838,6 denominándose en sus inicios “cretinismo”7 o “idiocia furfurácea”. P. Martin Duncan en 1886 describe textualmente a “una niña de cabeza pequeña, redondeada, con ojos achinados, que dejaba colgar la lengua y apenas pronunciaba unas pocas palabras”.8

Slide 3

Show full summary Hide full summary

Similar

ANIMALES VERTEBRADOS-INVERTEBRADOS TKITSCHCO
Rocio Cruz
¿ Cómo te encuentras hoy ? Down odontologia
Rocio Cruz
Población con Síndrome de Down
Germán Muñoz
Sindrome De Down
Larissita Osorio
LAS TIC Y EL PROCESO DE ENSEÑANZA-APRENDIZAJE DE PERSONAS CON SÍNDROME DE DOWN
jose juan amores
Sindrome de Down
Camila Ruiz3068
DIficultades del lenguaje oral en SD
Gabriela Vargas
Síndrome de Down
LEIDY YISED CASTILLO BARRAGAN
Genética
kamille kappler
Recomendaciones de cuidados en salud de personas con síndrome de Down
liseth vasquez cruz
Prueba dietoterapia
noor daire