Epitelios de Revestimiento y Clasificaciones

Description

Histología Flashcards on Epitelios de Revestimiento y Clasificaciones, created by Constanza Cerda Cordero on 24/08/2019.
Constanza Cerda Cordero
Flashcards by Constanza Cerda Cordero, updated more than 1 year ago
Constanza Cerda Cordero
Created by Constanza Cerda Cordero about 6 years ago
151
0

Resource summary

Question Answer
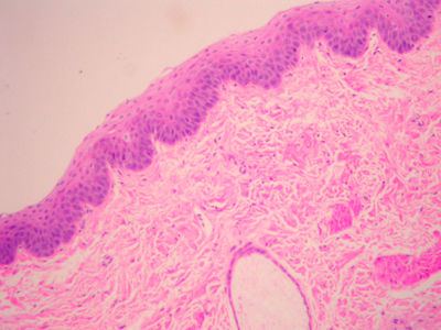
Epitelio de Revestimiento Estratificado Plano (Esófago).
Epitelio de Revestimiento Simple Cilíndrico con Microvellosidades (Vesícula Biliar).
Tejido Epitelial de Revestimiento Pseudoestratificado Cilíndrico.
Show full summary Hide full summary

Similar

Histología
carlos_lmsv7
Tipos de Epitelios
Kevin Sebastián
tejido óseo
PAOLETH GUARDERAS
Sistema Digestivo II
Israel García
Láminas de Histología
Mario Ripalda
HISTOLOGIA- TEJIDO CONJUNTIVO
lilie_nyu
El sustantivo
Cecilia Fracuelli
Tejido cartilaginoso
Israel García
CLASIFICACIÓN DE LA QUIMICA
NATALI GUSQUI
HISTOLOGIA- TEJIDO EPITELIAL
lilie_nyu
Tejidos animales
Enrique Bravo