Fichero Hematológico

Description

Es un fichero para proporcionar conocimiento sobre normalidades y anormalidades encontradas en el ámbito de hematología.
Katherin Rosales
Flashcards by Katherin Rosales , updated more than 1 year ago
Katherin Rosales
Created by Katherin Rosales about 10 years ago
56
0

Resource summary

Question Answer
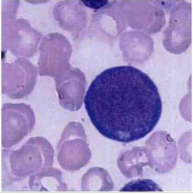
Pronormoblasto, Proeritroblasto o Rubiblasto Tamaño de 12 a 20 micras, su relación núcleo/citplasma es de 8:1, posee de uno a dos nucléolos. Su cromatina es fina de color púrpura y citoplasma azul oscuro. Fuente: Rodak, F. (2004). Hematología: fundamentos y aplicaciones químicas. Buenos Aires: Médica Panamericana
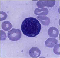
Normoblasto Basófilo, Eritroblasto Basófilo o Prorrubricito Su tamaño es de 10 a 15 micras, la relación núcleo/citoplasma es de 6:1 y puede poseer de 0 a 1 nucléolo. Su cromatina es gruesa y algo condensada, mientras que el citoplasma es azul oscuro. Fuente: Rodak, F. (2004). Hematología: fundamentos y aplicaciones químicas. Buenos Aires: Médica Panamericana
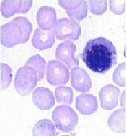
Normoblasto Policromatófilo, Eritroblasto Policromático o Rubricito Mide de 10 a 12 micras, su relación núcleo/citoplasma es de 4:1, no posee nucléolo. La cromatina es gruesa y condensada, el núcleo se tiñe de púrpura y su citoplasma se tiñe de azul-rosado. Fuente: Rodak, F. (2004). Hematología: fundamentos y aplicaciones químicas. Buenos Aires: Médica Panamericana
Normoblasto Ortocromático, eritroblasto ortrocromático o metarrubricito Tamaño de 8 a 10 micras, con relación núcleo/citoplasma 1:2 sin nucleólo presente. El núcleo se tiñe de púrpura, y el citoplasma se colorea de rosa, sin embargo a veces presenta tonos naranjas. Fuente: Rodak, F. (2004). Hematología: fundamentos y aplicaciones químicas. Buenos Aires: Médica Panamericana
Reticulocito Mide de 8 a 8.5 micras, no posee nucleólo y tampoco tiene relación núcleo/citoplasma dado que presenta fragmentos de ADN, Aparato de Golgi y mitocondrias. El citplasma se tiñe de rosa con tonalidades azuladas. Fuente: Rodak, F. (2004). Hematología: fundamentos y aplicaciones químicas. Buenos Aires: Médica Panamericana
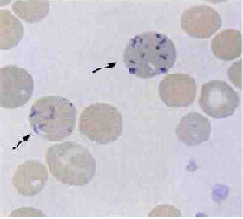
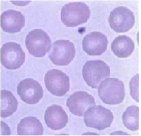
Eritrocito Su tamaño es de 7 a 8 micras de diámetro, con grosor de 1.5 a 2.5 micras. Tiene forma de disco bicóncavo, citoplasma levemente rosado y un centro más pálido. Tiene función de transporte de oxígeno. Fuente: Rodak, F. (2004). Hematología: fundamentos y aplicaciones químicas. Buenos Aires: Médica Panamericana
Show full summary Hide full summary

Similar

Morfología y Visagismo
Daiana Cabor
Práctica sobre el verbo
Kenneth Zapata
Sistema óseo
Laura Mon
Tema 4 Clases de palabras
Anna Karchevska
REPASO DE MORFOLOGÍA
Inés Andrés
Práctica sobre el adverbio
Kenneth Zapata
LA ESTRUCTURA DE LAS PALABRAS
Miguel Cruz
Morfología Bacteriana
Jess Chiquin
Perífrasis verbal
Kardexx 1
MORFOFISIOLOGIA I
so_napul