Eritropoyesis

Description

En la hematopoyesis el proceso de maduración de los ERITROCITOS inicia con las Unidades Formadoras de Blastos de Eritrocitos
gabriel_aem
Flashcards by gabriel_aem, updated more than 1 year ago
gabriel_aem
Created by gabriel_aem over 10 years ago
1045
1

Resource summary

Question Answer
ERITROPOYESIS Gabriel Alberto Estrada Meléndez 201317809
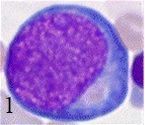
PRONORMOBLASTO Recuperado de: Laboratorio clinico,2012 Célula mas inmadura de la serie Roja. Núcleo grande central. La cromatina reticulada. citoplasma basófilo (azul). 1 o 2 nucleolos mal delimitados. (Manasero,2003)
PRONORMOBLASTO BASÓFILO Recuperado de: Laboratorio clinico,2012 Cromatina mas condensada. Citoplasma basófilo intenso. Desaparecen los nucleolos. (Manasero,2003)
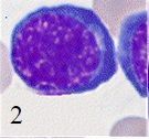
NORMOBLASTO POLICROMÁTICO Recuperado de: Laboratorio clinico,2012 Cromatina fuetemente condensada. Citoplasma pierde basofilia. Empieza aparecer la hemoglobina. Ultima célula con capacidad mitotica. (Manasero,2003)
NORMOBLASTO ORTOCROMATICO Recuperado de: Laboratorio clinico,2012 El núcleo suele ser excéntrico. Citoplasma acidófilo. Al madurar el núcleo es exocitado. Tiene la capacidad de síntesis de hemoglobina. (Manasero,2003)
RETICULOCITO Recuperado de: Laboratorio clinico,2012 Visibles cuando se tiñen con azul de metileno o violeta de cresilo. se distinguen restos nucleares en su interior. Anucleado.(Manasero,2003)
ERITROCITO Recuperado de: Laboratorio clinico,2012 Es bicóncavo, aplanado y anucleado. Tiene una gran plasticidad. Comprenden el 45 % de la sangre humana. Contienen una proteína llamada HEMOGLOBINA que utilizan para el trasporte de gases. Vida promedio 120 días. (Manasero,2003)
Recuperado de: Laboratorio clinico,2012 Referencias Laboratorio Clinico (2012) Eritropoyesis. Recuperado de::http://bit.ly/1MsFke1 Manasero, A (2003). Atlas de morfologia celular. Recuperado de:https://books.google.com.gt
Recuperado de:http://www.elrincondelamedicinainterna.com La leucopoyesis,o formacion de leucocitos inicia en el saco vitelino del mesénquima, segudio por el bazo y el hígado y, por último, la médula ósea. Los leucocitos se dividen en granulocitos y linfocitos en virtud de la diferenciación evidente en el nivel de la célula troncal (Rodak,2002) Los linfocitos se producen en la médula ósea y el tejido linfoide. Están bajo el control de estímulos ambientales y hormonales muy diferentes de los que controlan a granulocitos y monocitos.Los granulocitos, contienen gránulos visibles y se desarrollan sólo en la médula ósea. (Rodak,2002)
Recuperado de:http://www.elrincondelamedicinainterna.com Estos pueden encontrarse en concetraciones elevadas en: Médula ósea, circulando libremente en sangre periférica, marginados contra el endotelio de los vasos sanquíneos y en los tejidos (Rodak,2002)
Maduracion del Neutrófilo Recuperado de:http://www.elrincondelamedicinainterna.com -Mieloblasto -Promielocito -Mielocito -Metamielocito -Banda o cayado -Polimorfonucleado (Rodak,2002)
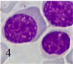
MIELOBLASTO Recuperado de:Rodak,2002 Tamaño: 15 -20 um Núcleo: El núcleo es delicado, con un nucléolo prominente Citoplasma: Escaso el cual contiene retpiculo endoplasmático rugoso, aparato de golgi en desarrollo, y a medida que madura, una cantidad creciente de gránulos azurófilos Otras características: Menos del 1% del compartimiento normal de la médula ósea está compuesto por mieloblastos (Rodak,2002).
PROMIELOCITO Recuperado de:Rodak,2002 Tamaño: Puede exceder los 20 um Núcleo: El patrón de la cromatina nuclear puede ser tan delicado como el de un mieloblasto o puede mostrat condensación leve. Citoplasma: Los gránulos están presentes en todo el citoplasma que es de mayor tamaño Otras características:El nucléolo comienza a desaparecer. (Rodak,2002)
Mielocito Recuperado de:Rodak,2002 Tamaño: Variable, pero mas pequeños que los mieloblastos y promielocitos Núcleo: El núcleo puede ser redondo o ovalado con un lado aplanado cerca del aparato de Golgi bien desarrollado. La cromatina nuclear se condensa, y los nucléolos por lo general ya no son visibles. Citoplasma: Los gránulos secundarios alteran la reacción de tinción del citoplasma, el cual se ve de color rosado pálido (Acidofilo). Otras Características: Cuando la célula deja de producir gránulos azurófilos primarios, comienza a crear gránulos secundarios. Esta es la ultima célula del compartimiento de la médula ósea que puede sufrir mitosis (Rodak,2002).
Metamielocito Recuperado de:Rodak,2002 Núcleo: Presenta muescas Citoplasma: Posee una colección completa de gránulos primarios y secundarios con los que destrute y degrada agentes tóxicos, infecciosos o extraños. Otras Características: Lacélula es incapaz de responder a los factores quimiotácticos e iniciar la fagocitos (Rodak,2002)
Banda o Cayado Recuperado de:Rodak,2002 Núcleo: En forma de herradura, núcleo no segmentado Citoplasma: Se producen otra clase de gránulos denominados terciarios, los cuales poseen lisozimas y acetiltrasferasa Otras Características: En la médula costituye uno de los lecuocitos más comunes (Rodak,2002)
Neutrófilo Polimorfonucleado (Leucopoyesis,S:F) Núcleo: Deben de tener entre dos y cuatro lóbulos. Citoplasma: Son el principal componente de pus y se ven en cualquier proceso que consiste en una inflamación. Otras Características: Costituyen en la sangre periférica del 50-70% del total de leucocitos, Son el principal componente de pus y se ven en cualquier proceso que consiste en una inflamación. (Rodak,2002)
Maduracion de Baofilo y Neutrofilo (Leucopoyesis,S:F) SERIE EOSINOFILA MIELOCITOEOSINÓFILO Es una célula pequeña (15micas). Su núcleo presenta una escotadura más evidente y su cromatina es más condenada Su citoplasmas es ligeramente eosinófilo porque además de gránulos inespecíficos empieza a sintetizar gránulos específicos de los eosinófilos. METAMIELOCITO EOSINÓFILO Más pequeño que el anterior Tiene un núcleo con una escotadura evidente, con cromatina más condensada Tiene un citoplasma un poco más eosinofilo EOSINÓFILO Tiene un núcleo bilobulado unidos por una hebra fina de cromatina condesada Tiene gran cantidad de gránulos eosinófilos y citoplasma muy eosinófilo (Leucopoyesis,S:F)
MADURACION DEL BASÓFILO MIELOCITO BASÓFILO Tienen un núcleo de cromatina condensada, pero menos condesado Su citoplasmas es ligeramente basófilo contiene gránulos inespecíficos, pero empieza a sintetizar gránulos específicos propios de los basófilos Se divide y da lugar al metamielocito basófilo METAMIELOCITO BASÓFILO Tiene un núcleo con una escotadura evidente, con cromatina más condensada Tiene un citoplasma un poco más basófilo BASÓFILO Tiene un npucleo bilobulado Tiene cromatina condensada, pero menos que los netrófilos y eosinófilos, con gránulos específicos abundates e inespecíficos menos abundantes. (Leucopoyesis,S:F) Recuperado de:http://www.elrincondelamedicinainterna.com
Recuperado de:http://www.elrincondelamedicinainterna.com Los glóbulos blancos agranulocitos se dividen en dos tipos: linfocitos y monocitos.(Leucopoyesis,S:F)
MADURACION DE MONOCITO (Leucopoyesis,S:F) MONOBLASTO Es una célula grande, de núcleo grande que ocupa casi toda la célula. Tiene cromatina laca que permite ver uno o dos nucléolos. Su citoplasma se caracteriza por ser basófilo pero ligeramente grisáceo. No tiene gránulos El monoblasto se divide y da lugar al promonocito PROMONOCITO El núcleo, de aspecto morfológico irregular, con pliegues e indentaciones, posee una cromatina algo más condensada que la de su precursor El citoplasma es intensamente basófilo por su gran riqueza en polirribosomas; puede contener un número variable MONOCITO Los monocitos están desprovistos de nucleolos. El citoplasma es amplio con ocasionales mamelones periféricos. Los monocitos están desprovistos de nucleolos.(Leucopoyesis,S:F)
MADURACION DE LOS LINFOCITOS (Leucopoyesis,S:F) La maduración de los linfocitos B en células inmunocompetentes se completa en la médula ósea, proceso que continúa de por vida, mientras que los linfocitos T se desarrollan a partir de células pre-T que emigran de la médula ósea al timo. (Leucopoyesis,S:F)
LINFOCITOS B La célula madre comprometida para los linfocitos B permanece en la médula ósea. Se forma el lifoblasto que madurará y adquirirá la inmunocompetencia. Expresa en su superficie los anticuerpos y se seleccionan. Madurar y pasan a la sangre, desde donde se dirigirán a los órganos linfoides. (Leucopoyesis,S:F) LINFOCITOS T La célula madre comprometida para los linfocitos T se dirige al timo y madura en él. Inicialmente los rincitos pre-T, que se encuentran en la corteza, van madurando, una vez maduran pasan a la sangre y desde allí a los órganos linfoides (ganglios linfáticos, bazo, placas de peyer ). (Leucopoyesis,S:F)
Maduracion de Plaquetas Recuperado de:http://www.elrincondelamedicinainterna.com MEGACARIOBLASTO: Es la primera célula en la secuencia de maduración, posen un diámetro de 10- 15µm con una proporción núcleo/citoplasma elevada, posee un solo núcleo con dos a seis nucléolos, citoplasma azul agranular.(Rodak,2002)
PROMEGACARIOCITO: El megacarioblasto madura y se convierte en un promegacariocito que alcanza un diámetro de 15 a 30µm, con citoplasma granular. Estos gránulos aparecen primero en la región perinuclear o de Golgi. El núcleo es lobulado en forma de herradura, sin nucléolos. En esta etapa comienza a desarrollarse el sistema de membrana citoplasmática denominada sistema de membrana de demarcación, pero solo visible por microscopía electrónica.(Rodak,2002) Megacariocito granular: Se caracterizan por un tamaño más grande (16 a 56µm), núcleo multilobulado y con relación núcleo/citoplasma disminuida, citoplasma granular, azulado con membranas de demarcación. (Rodak,2002)
MEGACARIOCITOS MADUROS: Poseen un tamaño de 20 a 60µm, núcleo compacto pero multilobulado, sin nucléolos, citoplasma muy abundante y más rosado. Los gránulos están organizados dentro de zonas que están separadas por la membrana de demarcación. (Rodak,2002) PLAQUETAS - Son células irregulares, sin núcleo. - Miden 3 µm aprox. - Vida media de 7 a 10 días. - Después de los eritrocitos son los elementos celulares más abundantes de la sangre. Su cifra normal oscila entre 150 000 y 400 000 por mm³ - Tienen su origen en el tejido hematopoyético de la médula ósea, por fragmentación del citoplasma de unas células gigantes, las más grandes del tejido hematopoyético, llamadas megacariocitos. (Rodak,2002)
Refencias Bibliograficas Rodak, B. 2002. Hematología. Fundamentos y aplicaciones clínicas. Megacariopoyesis. Recuperado de http://books.google.com Medicina Interna (S:F).Leucopoyesis.Recuperado de:http://www.elrincondelamedicinainterna.com Leucopoyesis (S:F). Granulopoyesis,monopoyesis y linfopoyesis. Recuperado de:http://mural.uv.es/monavi/disco/segundo/histologia/Tema27
Show full summary Hide full summary

Similar

Fichero de Hematología
Angie Rodriguez 9930
Hematología - ENARM
Emilio Alonsooo
"Formas de integrar TIC en un aula de clases"
Diana Peñailillo
Economía Estrategia y Desarrollo Empresarial
Isabel Ordoñez M
Economía Estrategia y Desarrollo Empresarial
Álvaro Gómez González
Elementos fundamentales de la cultura digital
ada.ines.2015
REFORMA EDUCACIONAL 2015_1
Pati Adriasola
EXAMEN MAYO 2015
Neurología 2019
REDES WIFI
behernandezg
ATLAS DE HEMATOLOGÍA
Alison Guerra
HEMATOPOYESIS 2015
Claudia Duarte