Leucopoyesis y Trombopoyesis

Description

Flashcards on Leucopoyesis y Trombopoyesis , created by Lisa Paredes on 05/09/2015.
Lisa Paredes
Flashcards by Lisa Paredes, updated more than 1 year ago
Lisa Paredes
Created by Lisa Paredes about 10 years ago
3267
0

Resource summary

Question Answer
LEUCOPOYESIS
Mieloblasto Célula con actividad mitótica, posee un núcleo esferoidal eucromático grande con 3 a 5 nucléolos. Mide de 14 a 20 um de diámetro y posee una relación núcleo citoplasma alta. La pequeña cantidad de citoplasma agranular es intensamente basófilo (Rodak, 2007).
Promielocito Célula de gran tamaño (que puede ser similar a la precursora) capaz de sufrir mitosis. Posee un núcleo esferoidal grande y gránulos azurófilos (primarios) en su citoplasma (Pawling y Ross, 2007). Aún se observa basofília.
Mielocito (neutrófilo, basófilo y eosinófilo) Célula más pequeña que el promielocito, la última capaz de dividirse mitóticamente y con nucléolos poco visibles. Poseen un núcleo más o menos esferoidal que cada vez se torna más hipercromático y adquiere una escotadura bien definida. Los gránulos específicos de cada tipo de célula granulocítica empiezan a surgir (Rodak, 2005).
Metamielocito (neutrófilo) El núcleo se torna más heterocromático y la identación se vuelve más profusa, hasta alcanzar una forma ariñonada. Produce granulos terciarios (Rodak, 2005).
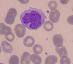
Granulocitos en cayado (neutrófilo) La célula presenta un núcleo alargado, curvo y de un ancho casi uniforme, que le da un aspecto de herradura. Posteriormente aparecen constricciones en el núcleo que finalmente forman de dos a cuatro lóbulos nucleares (Ruiz, 2006).
Neutrófilo polimorfonucleado La célula presenta entre dos o cuatro segmentaciones o lóbulos en el núcleo, con muchos grànulos intracelulares. El núcleo se observa basófilo y sus gránulos presentan una coloración intermedia (entre basófilo y acidófilo) (Pawlina y Ross, 2007).
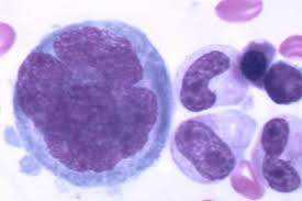
Basófilo Célula que presenta granulaciones citoplasmáticas basófilas y un núcleo lobulado basófilo (Ruiz, 2006)
Eosinófilo Célula que presenta granulaciones citoplasmáticas acidófilas y un núcleo basófilo bilobulado (Ruiz, 2006).
SERIE MONOCÍTICA
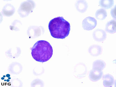
Monoblasto Célula grande mitoticamente activa, con un núcleo (basófilo) localizado excéntricamente que posee uno o dos nucléolos visibles. Su citoplasma es agranular y al teñirse se presenta débilmente positivo a peroxidasa (Pawlina y Ross, 2007). Tiene mitosis.
Promonocito De similar tamaño al monoblasto, comienzan a tener una apariencia monocitoide con núcleo basófilo "doblado" y citoplasma de forma irregular (Rodak, 2005).
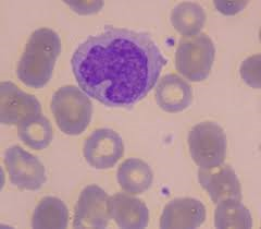
Monocito Presntan morfología variada, debido a su gran motilidad y adherencia. El núcleo generalmente es curvo y con cromatina reticular con pequeños grumos. El citoplasma abundante presenta granulos diminutos dispuestos en remolino (Ruiz, 2006).
SERIE LINFOPOYETICA Progenie de las células madre linfoides pluripotenciales
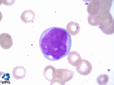
Linfoblasto Célula de tamaño pequeño a mediano (10-18 um) con un núcleo redondo a ovalado que contiene cromatina laxa y uno o más nucléolos activos. El citoplasma es escaso y presenta basofília en forma proporcional a la cantidad de ADN presente (pawlina y Ross, 2007).
Prolinfocito Presenta cromatina levemente más condensada, disminución de la prominencia nucleolar y cambio en la membrana nuclear (Ruiz, 2006). Sigure presentando basofília.
Linfocito Célula pequeña, mediana o grande , de alrededor de 9 a 15 um de diámetro, con citoplasma escaso y unos pocos gránulos azurófilos. El núcleo es redondo a oval y su patrón de cromatina es en bloque. Presenta basofília (Rodak, 2005).
TROMBOPOYESIS
Megacarioblasto Célula grande que posee un diámetro de 10-15 um de diámetro, con una porción elevada entre núcleo y citoplasma. Poseen un sólo núcleo con dos o seis nucléolos. El citoplasma es escaso, basófilo y no contiene gránulos (Rodak, 2005).
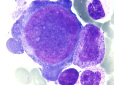
Promegacariocito Célula que alcanza un diámetro de 80 um, que posee tres tipos de gránulos formados del aparato de Golgi: denso, alfa y lisosómico. Presenta carácter basófilo (Rodak, 2005).
Megacariocito Se observan diversos patrones de granulación y divisiones finales del núcleo. Las líneas de demarcación empiezan notarse y delinean fragmentos citoplasmáticos individuales, que luego se liberan como plaquetas. Presenta carácter basófilo (Pawlina y Ross, 2007).
Plaquetas Segmentos citoplasmáticos del megacariocito maduro, presentan formas irregulares. Estos fragmentos son de carácter acidófilo (Ruiz, 2006).
REFERENCIAS BIBLIOGRÁFICAS Pawlina, W. y Ross, M. (2007) Histología: texto y atlas con biologìa celular y molecular. España: editorial Médica Panamericana. Rodak, B. (2005) Hematología: fundamentos y aplicaciones clínicas. España: editorialMédica Panamericana. Ruiz, G. (2006) Fundamentos de Hematología. España: editorial Médica Panamericana.
IMÁGENES RECUPERADAS DE: http://www.telmeds.org/atlas/hematologia/ http://www.uaz.edu.mx/histo/ExaPDF/PDF/HemLin.pdf
Show full summary Hide full summary

Similar

Sangre y Fluídos
Angelina Camacho
QUIZ DE HISTOLOGIA 3
Enzo Veracierta Pulone
LA CIRCULACION
Violeta Giampaolo
PÚRPURAS DE ETIOLOGÍA AUTOINMUNE.
Carlos GuzUri
Linfocitos T CD4
Israel García
Célula Animal
Oscar E
EOSINÓFILOS, BASÓFILOS Y MONOCITOS.
Ivan Medina
TROMBOCITOPENIA
Monik Escobar
Linfocitos
Gabriela Híjar
CÈLULAS PRESENTADORAS DE ANTIGENO - ELISEO - GEIDY CAMACHO
Geidy Manquillo
BIOMETRIA HEMATICA
Yaris Cst