LEUCOPOYESIS Y TROMBOPOYESIS

Description

Fichas de hematopoyesis
Claudia Duarte
Flashcards by Claudia Duarte, updated more than 1 year ago
Claudia Duarte
Created by Claudia Duarte about 10 years ago
1034
1

Resource summary

Question Answer
LEUCOPOYESIS Fuente: Rodak, E. (2004). Hematología: Fundamentos y Aplicaciones. (2da ed.). Madrid, España: Editorial Médica Panamericana
Se originan de la célula madre hematopoyética, que se diferencia en célula progenitora mieloide y linfoide. De la mieloide se diferencian los granulicitos (neutrofilos, eosinófilos y basófilos) y los agranulocitos que corresponden a los monocitos. De la linfoide se diferencian los linfocitos T y B (Rodak, 2004). Las células leucopoyéticas cumplen como función principal la defensa del organismo. Otra forma de diferenciar a los leucocitos es por el tipo de respuesta, los granulocitos y monocitos son de respuesta inespecífica y los linfocitos de respuesta específica (Rodak, 2004).
NEUTRÓFILOS Fuente: Rodak, E. (2004). Hematología: Fundamentos y Aplicaciones. (2da ed.). Madrid, España: Editorial Médica Panamericana
Mieloblasto Mide de 15 a 20 micras, se encuentra en la médula ósea, tiene alta relación núcleo-citoplasma, nucleolo prominente, se observa el nucleolo, citoplasma escaso posee aparato de Golgi y retículo endoplásmico. Es una célula no funcional, carece de movilidad (Rodak, 2004). Fuente: Rodak, E. (2004). Hematología: Fundamentos y Aplicaciones. (2da ed.). Madrid, España: Editorial Médica
Promielocito Su tamaño puede exceder las 20 micras, hay una leve condensación del núcleo basófilo y el nucleolo empieza a desaparecer. El citoplasma empieza a aumenta la acidofilia, se empieza a evidenciar la presencia de gránulos primarios (basófilos), como: esterasa, lisozima, serprocidina, mieloperoxidasa, otros (Rodak, 2004). Fuente: Rodak, E. (2004). Hematología: Fundamentos y Aplicaciones. (2da ed.). Madrid, España: Editorial Médica
Mielocito Es la última célula que puede sufrir mitosis en la diferenciación de los neutrófilos. Los gránulos primarios empiezan a disminuir y aparecen gránulos neutrófilos (lactoferrina, histaminas, catelicidinas, lisozimas y colagenasa). Los gránulos hacen que el citoplasma se vea con baja acidofilia, el núcleo está condensado con nucleolo casi invisible. También hay presencia de vesículas secretoras de fosfatasa alcalina, coticemos B y receptor del complemento, entre otros (Rodak, 2004). Fuente: Rodak, E. (2004). Hematología: Fundamentos y Aplicaciones. (2da ed.). Madrid, España: Editorial Médica
Metamielocito Hay disminución de la relación núcleo:citoplasma con respecto al mielocito, así también se empieza a observar la identación del núcleo, Los gránulos primarios y secundarios son completamente desarrollados (Rodak, 2004). Fuente: Rodak, E. (2004). Hematología: Fundamentos y Aplicaciones. (2da ed.). Madrid, España: Editorial Médica
Banda o cayado La relación núcleo:citoplasma más disminuida que en el metamielocito. El núcleo basófilo, empieza a tener forma de "herradura". En el citoplasma hay síntesis de gránulos terciarios que contienen lisozimas y gelatinasas. Se da la maduración de la membrana celular (Rodak, 2004). Fuente: Rodak, E. (2004). Hematología: Fundamentos y Aplicaciones. (2da ed.). Madrid, España: Editorial Médica
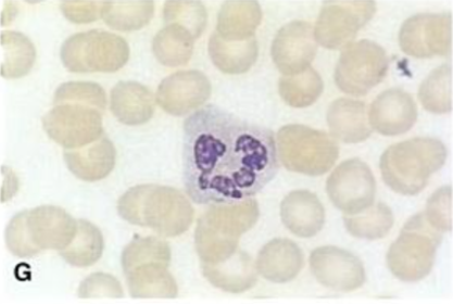
Neutrófilo (segmentado) La diferenciación con el cayado o banda es por la segmentación del núcleo, presenta aproximadamente 3 segmentaciones. El citoplasma se observa "transparente", por el contraste entre los gránulos y el núcleo se observa basófilo (Rodak, 2004). Fuente: Rodak, E. (2004). Hematología: Fundamentos y Aplicaciones. (2da ed.). Madrid, España: Editorial Médica
EOSINÓFILO Tiene el mismo proceso de maduración que los neutrófilos, varían los gránulos que presenta y los estados de maduración que no presenta, metamielocito y cayado (Rodak, 2004)
Los gránulos eosinófilos se empiezan a presentar en el promielocito, los cuales contiene: fosfatasa ácida, peroxidasas, ribonucleasa (Rodak, 2004). La función de estos granulocitos es fagocitar, pero son más lentos que los neutrófilos. La principal función es fagocitar parásitos helmintos. Además se puede presentar eosinofilia en condiciones de alergia (Rodak, 2004).
Fuente: Rodak, E. (2004). Hematología: Fundamentos y Aplicaciones. (2da ed.). Madrid, España: Editorial Médica BASÓFILO
Tiene el mismo proceso de maduración que los neutrófilos, al igual que los eosinófilos, varían los gránulos que presenta y los estados de maduración que están ausentes, metamielocito y cayado (Rodak, 2004). Los gránulos basófilos se empiezan a observar en el promielocito y contienen heparina e histamina. Ésta célula tiene receptores de IgE (Rodak, 2004).
La principal función es mediar reacciones inflamatorias y reacciones de hipersensibilidad (Rodak, 2004). Fuente: Rodak, E. (2004). Hematología: Fundamentos y Aplicaciones. (2da ed.). Madrid, España: Editorial Médica
MONOCITOS Fuente: Rodak, E. (2004). Hematología: Fundamentos y Aplicaciones. (2da ed.). Madrid, España: Editorial Médica
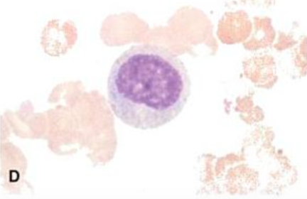
Monoblasto La célula presenta una relación núcleo:citoplasma aumentada, citoplasma y núcleo basófilos, también se observan nucleolos (Rodak, 2004). Fuente: Rodak, E. (2004). Hematología: Fundamentos y Aplicaciones. (2da ed.). Madrid, España: Editorial Médica
Promonocito La célula ha disminuido bastante su tamaño en comparación con el monoblasto, es redonda y su núcleo céntrico y basófilo ya no presenta nucleolos, el citoplasma ha aumentado la acidofilia. La relación núcleo citoplasma ha disminuido en comparación al monoblasto (Rodak, 2004). Fuente: Rodak, E. (2004). Hematología: Fundamentos y Aplicaciones. (2da ed.). Madrid, España: Editorial Médica
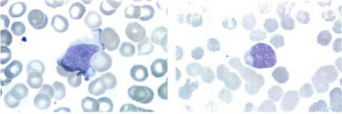
Monocito (maduro) Son también llamados histiocitos, se suelen encontrar en tejidos, donde se les llama macrófago, más que en sangre periférica. La célula posee un núcleo céntrico basófilo, con forma de "frijol", el citoplasma es acidófilo y escaso (Rodak, 2004). Fuente: Rodak, E. (2004). Hematología: Fundamentos y Aplicaciones. (2da ed.). Madrid, España: Editorial Médica
LINFOPOYESIS Fuente: Rodak, E. (2004). Hematología: Fundamentos y Aplicaciones. (2da ed.). Madrid, España: Editorial Médica
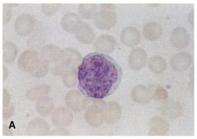
Es la maduración de las células linfocíticas, la célula madre hematopoyética da origen a la célula madre linfoide de donde maduran los linfocitos (Rodak, 2004). Linfoblasto Célula de 10 a 18 micras, es redonda, con relación núcleo:citoplasma aumentada, núcleo redondo, céntrico y basófilo con nucleicos presentes, la basofilia es relativa a la cantidad de ARN presente. El citoplasma es casi invisible por el gran tamaño del núcleo (Rodak, 2004).
Fuente: Rodak, E. (2004). Hematología: Fundamentos y Aplicaciones. (2da ed.). Madrid, España: Editorial Médica Prolinfocito La relación núcleo:citoplasma ha disminuido, el núcleo es redondo basófilo, no se observan los nucleolos, el citoplasma es escaso y acidófilo. Ya presentan los receptores que van a diferenciar a cada tipo de linfocito, pero no son funcionales (Rodak, 2004).
Pueden salir de la médula ósea, siendo prolinfocitos para madurar en el bazo dando origen a los linfocitos B o quedarse en la médula ósea dando origen a los linfocitos T. Esto dependera de qué tipo de células se necesiten en el organismo. Fuente: Rodak, E. (2004). Hematología: Fundamentos y Aplicaciones. (2da ed.). Madrid, España: Editorial Médica
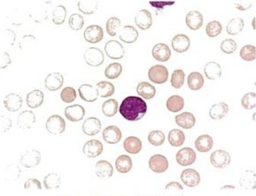
Linfocito Mide aproxidamadamente 9 micras, tiene un núcleo oval central basófilo y escaso citoplasma que presenta escasos gránulos azurófilos. Es la célula ya madura y funcional (Rodak, 2004). La diferencia entre ambos tipos de linfocitos está en los receptores y su función, no se logran diferenciar en el microscopio al microscopio. Los linfocitos T tienen receptores TCR y los linfocitos B tienen BCR que reconocen a un antígeno específico (Rodak, 2004).
Fuente: Rodak, E. (2004). Hematología: Fundamentos y Aplicaciones. (2da ed.). Madrid, España: Editorial Médica Fuente: Rodak, E. (2004). Hematología: Fundamentos y Aplicaciones. (2da ed.). Madrid, España: Editorial Médica
Tanto los linfocitos T, como B pierden su morfología al ser altamente activos, llamándoles linfocitos "atípicos" o células de Downey. Estos por su forma llegan a confundirse con monocitos, la diferencia está en la mayor condensación de los cromosomas de los linfocitos (Rodak, 2004). Los linfocitos T al estar activos son difíciles de diferenciar, pues tienen a perder y volver a adquirir los receptores, con dos objetivos: 1. ser más específicos y 2. proliferarse cuando no posean los receptores en sus membranas (Rodak, 2004).
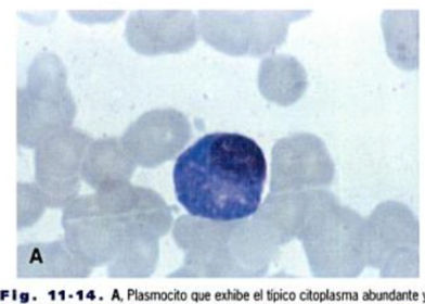
Fuente: Rodak, E. (2004). Hematología: Fundamentos y Aplicaciones. (2da ed.). Madrid, España: Editorial Médica Plasmocito Morfológicamente, son más grandes que los linfocitos B independientes del antígeno, son redondos con un citoplasma abundante y gránulos azurófiros, un núcleo periférico ovalado basófilo (Rodak, 2004).
Es el linfocito B completamente maduro y funcional, presenta IgM e IgD en su membrana, en este estado poseen especificidad y son completamente dependientes del antígeno (Rodak, 2004). Fuente: Rodak, E. (2004). Hematología: Fundamentos y Aplicaciones. (2da ed.). Madrid, España: Editorial Médica
TROMBOPOYESIS Fuente: Sans, J.S. (2010). Hematología. (4a ed.). España: Editorial Reverté
Las plaquetas se originan del megacariocito, éste se origina de la célula troncal mieloide, que se encuentra en la médula ósea. La diferenciación está influenciada por interleucinas (Rodak, 2004). Fuente: Rodak, E. (2004). Hematología: Fundamentos y Aplicaciones. (2da ed.). Madrid, España: Editorial Médica
Megacarioblasto Mide de 10 a 15 micras, la relación núcleo:citoplasma está bastante aumentada, núcleo con basofilia baja, tiene unos 6 nucleolos, el citoplasma es escaso y no tiene gránulos (Rodak, 2004). Se encuentra en la médula ósea, se parece a otros blastos, por lo que es difícil lograr diferenciarla. En este estado puede sufrir varia divisiones nucleares y aumentar su citoplasma hasta unas 50 micras (Rodak, 2004).
Fuente: Rodak, E. (2004). Hematología: Fundamentos y Aplicaciones. (2da ed.). Madrid, España: Editorial Médica Promegacariocito Se ubica en la médula ósea, es la maduración del megacarioblasto y llega a medir hasta 80 micras. Posee aparato de Golgi y ya hay gránulos alfa, densos y lisosómicos formados en todo el citoplasma (Rodak, 2004).
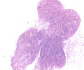
Fuente: Rodak, E. (2004). Hematología: Fundamentos y Aplicaciones. (2da ed.). Madrid, España: Editorial Médica Megacariocito La relación núcleo:citoplasma ha disminuido, la basofilia del núcleo está aumentada, es céntrico y está lobulado. El citoplasma es acidófilo (Rodak, 2004).
Fuente: Rodak, E. (2004). Hematología: Fundamentos y Aplicaciones. (2da ed.). Madrid, España: Editorial Médica El megacariocito libera segmentos citoplasmáticos a través de fenestraciones del epitelio de los vasos, a esto se le llama brote plaquetario (Rodak, 2004).
Fuente: Rodak, E. (2004). Hematología: Fundamentos y Aplicaciones. (2da ed.). Madrid, España: Editorial Médica Plaquetas Son pequeños trozos de citoplasma del megacariocito, su diámetro promedio es de 2.5 micras, no se pueden observar detalles por microscopio óptico (Rodak, 2004).
Posee dos regiones: Hialómero: donde se encuentran todos los componentes del citoesqueleto, como actina, miosina, microtúbulos. Cromómero: donde se encuentran los gránulos alfa (fosfatasa ácida, fibrinógeno, factores de crecimiento), beta (ATP, ADP, Mg, Ca) y lisosomales, como elastasa (Rodak, 2004) Además posee aparato de Golgi, mitocondria, glucocálix, glucógeno (R.odak, 2004)
Fuente: Rodak, E. (2004). Hematología: Fundamentos y Aplicaciones. (2da ed.). Madrid, España: Editorial Médica REFERENCIAS BIBLIOGRÁFICAS Rodak, E. (2004). Hematología: Fundamentos y Aplicaciones. (2da ed.). Madrid, España: Editorial Médica Sans, J.S. (2010). Hematología. (4a ed.). España: Editorial Reverté
Show full summary Hide full summary

Similar

HEMATOPOYESIS 2015
Claudia Duarte
HEMATOPOYESIS DE LEUCOCITOS Y PLAQUETAS
Ana Laura Guillen Nepita
Hematopoyesis
Andrea Collipal
ATLAS DE HEMATOLOGÍA
Alison Guerra
Hematopoyesis
Xavier Esparza
LINFOMA NO HODGKIN
Abraham Ucán
Anormalidades de las células sanguíneas
galulopez
Cascada de coagulación - Valentina García S.
Valentina García Santibañez
ERITROPOYESIS
sely ka
Microangiopatías trombóticas.
SusanaPreparaelmir
HEMATOPOYESIS TARJETAS INFORMATIVAS
Paula Micaela Serrano