HEMATOPOYESIS TARJETAS INFORMATIVAS

Description

Fichas sobre eritropoyesis
Paula Micaela Serrano
Flashcards by Paula Micaela Serrano, updated more than 1 year ago More Less
Claudia Duarte
Created by Claudia Duarte about 10 years ago
Paula Micaela Serrano
Copied by Paula Micaela Serrano almost 6 years ago
7
0

Resource summary

Question Answer
HEMATOPOYESIS Proceso de formación, desarrollo y maduración de células sanguíneas.
ERITROPOYESIS Es la proliferación de las células rojas, se da en saco vitelino e hígado en la fase prenatal y en médula ósea en adultos, son de origen mieloide y el factor estimulado es la eritropoyetina. La célula que da origen es la célula madre hematopoyética y la célula progenitora es la común mieloide (PCM). Al existir un déficit de oxígeno (anemia, hipoxia, isquemia) en las células se secreta la proteína eritropoyetina que estimula la formación de eritrocitos en la médula ósea roja.
ERITROPOYETINA Es una glucoproteína sintetizada en los riñones e hígado. Su principal función es la estimulación de síntesis de eritrocitos en la médula ósea. En su estructura posee: - Unidades de carbohidratos (34%): sitio de unión a los receptores de las células blanco. - Unidad de ácido siálico (10 - 15%): actividad biológica de la macromolécula. Nivel plasmático normal: 10 - 20 mU/mL Nivel mínimo para equilibrio: 3 - 8 mU/mL
CÉLULAS TRONCALES HEMATOPOYÉTICAS Son células primitivas, se encuentran en la médula ósea, tienen características que las diferencian: son capaces de regenerarse, dividirse y son multipotenciales. Dan origen a las células progenitoras hematopoyéticas. Miden de 10 a 15 micras, redondas u ovaladas, con núcleo eosinófilo, donde se logran diferenciar de 1 a 2 nucleolos, posee escaso citoplasma, ya que el núcleo es muy prominente.
CÉLULAS PROGENITORAS HEMATOPOYÉTICAS Son células que han perdido su capacidad de renovación, pero conservan su potencial proliferativo. Pueden ser multipotenciales o restringirse a un solo linaje de células, puede ser mieloide o linfática. En la eritropoyesis la célula progenitora hematopoyética es mieloide y su potencial de diferenciación está en el linaje de eritrocitos.
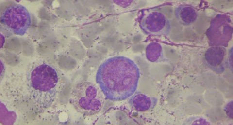
Proeritroblasto/ Pronormoblasto/ Rubiblasto Tamaño: 12 - 20 micras En condiciones normales se encuentra en la médula ósea de 4 - 5%. Posee un núcleo redondo, basófilo, relación 8:1 con el espacio de la célula. Cromatina fina, se observar de 1 a 2 nucleolos. El citoplasma es basófilo.
Solo se encuentran en médula ósea, son células con actividad mitótica.
Eritroblasto basófilo/ Normoblasto basófilo/ Prorubicito Tamaño: 10 - 15 micras La célula posee una forma redonda u ovalada. El núcleo posee una forma redonda, el tamaño disminuye, se puede observar nucleolo; relación 6:1. Citoplasma basófilo por presencia de ácidos nucleicos que sintetizan proteínas para captaciónn del hierro.
El citoplasma es más basófilo que en el proeritroblasto y el núcleo más pequeño. Normalmente se encuentra en la médula ósea.
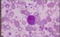
Eritoblasto policromatófilo/ Normoblasto policromatófilo/ Rubricito Tamaño: 10 - 15 micras Posee una forma esférica irregular, núcleo esférico y céntrico, de cromatina compacta y condensada. El núcleo ha disminuido el tamaño con respecto al citoplasma, relación 4:1. Citoplasma gris azulado, primeros indicios de acidofília por la hemoglobina presente. no presenta organillos evidentes.
Su ubicación normalmente es en médula ósea.
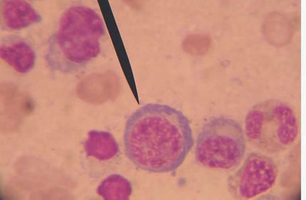
Eritroblasto ortoctomático/ Normoblasto ortocromático/ Metarubricito Tamaño: 12 - 15 micras Posee una forma redonda. Núcleo picnótico, redondo basófilo, relación con citoplasma 1:2, puede ser excéntrico y ocasionalmente puede estar fragmentado. El citoplasma es bastante acidófilo por la presencia de hemoglobina en el medio.No presenta inclusiones ni organizas evidentes. En condiciones normales se encuentra en la médula ósea, de 10 - 15%.
La diferencia más evidente con el eritroblasto policromatófilo está en el tamaño del núcleo y la acidofília del citoplasma dada por la Hb.
Reticulocito/ Eritrocito policromático/ Eritrocito difusamente basófilo Tamaño: 8 - 11 micras Célula redonda, anucleada con citoplasma acidófilo por la presencia de grupos hemo (Hb y hierro). Posee pequeños restos de ARN basófilo en el citoplasma. Su ubicación es en la médula ósea y en sangre periférica en baja proporción.
La diferenciación del resto de células lo da el reducido tamaño celular, la acidofilia del citoplasma y los restos de ARN son la principal característica diferencial.
Eritrocito/ Hematíe/ Célula roja Tamaño: 7 - 8 micras Célula redonda anucleada, bicóncava, con citoplasma netamente acidófilo por la presencia de grupos hemo. Se pueden encontrar en médula ósea y en mayor proporción en sangre periférica, principal componente celular de ésta. Es la única célula funcional de la línea roja.
La principal diferencia con los reticulocitos es la pérdida de los restos de ARN y organelas.
Show full summary Hide full summary

Similar

LEUCOPOYESIS Y TROMBOPOYESIS
Claudia Duarte
ERITROPOYESIS
sely ka
Fichero de Hematología
Angie Rodriguez 9930
HEMATOPOYESIS DE LEUCOCITOS Y PLAQUETAS
Ana Laura Guillen Nepita
Hematopoyesis
Andrea Collipal
ATLAS DE HEMATOLOGÍA
Alison Guerra
Hematopoyesis
Xavier Esparza
LINFOMA NO HODGKIN
Abraham Ucán
Anormalidades de las células sanguíneas
galulopez
Cascada de coagulación - Valentina García S.
Valentina García Santibañez
Microangiopatías trombóticas.
SusanaPreparaelmir