1_Tercer repaso de Histologia

Description

Repaso de los temas de sangre y musculo
Claudia Genoveva Perez Cacho
Flashcards by Claudia Genoveva Perez Cacho, updated more than 1 year ago More Less
Claudia Genoveva Perez Cacho
Created by Claudia Genoveva Perez Cacho almost 9 years ago
Claudia Genoveva Perez Cacho
Copied by Claudia Genoveva Perez Cacho almost 9 years ago
333
5

Resource summary

Question Answer
Músculo que se encuentra en la pared de vías gastrointestinales, genitourinarias y respiratorias Musculo liso
La contracción del músculo liso está regulada por Nervios autonomos
Los discos intercalares es una característica histológica exclusiva de: Músculo estriado cardíaco o musculo cardíaco.
Banda que se acorta durante la contracción Banda I
La sarcómera se encuentra delimitada por: Los discos Z
La zona central de la banda A esta compuesta por: Filamentos delgados y filamentos gruesos
El musculo es un tejido excitable que a diferencia de las neuronas posee: Proteínas contractiles
Proteína muscular que se une a los sitios activos de los filamentos delgados: Cabeza de miosina
La unidad funcional de una fibra muscular es _____________, un segmento de un disco Z al siguiente: El sarcomero
Antes de que una fibra muscular pueda contraerse, el Ca2+ debe fijarse a la: Troponina
Las células de músculo liso tienen ____________, mientras que las fibras de músculo estriado la carecen: ATPasa de miosina
Los receptores de ACh se encuentran sobre todo en: Pliegues de union
Las células de músculo liso unitario pueden estimularse entre sí porque tienen: Uniones intercelulares comunicantes.
El receptor colinérgico, que se encuentra en la placa motora terminal: Es de tipo nicotinico
Los filamentos delgados de la fibra muscular esquelética no están formados por: Miosina
El fenómeno del rigor mortis que se presenta en los cadáveres es provocado por: Falta de ATP
Para que se dé la contracción muscular es necesario que: El calcio sea liberado del retículo sarcoplasmico.
Cada motoneurona y las fibras musculares que inerva constituyen la llamada: Unidad motora
¿Qué es el pericarion o soma? Es el cuerpo celular, la porción central de la neurona donde se encuentran núcleo y citoplasma perinuclear
Son prolongaciones especializadas en recibir estímulos de células sensoriales, axones y otras neuronas: Dendritas
Es la región en la que pueden transmitirse los impulsos entre las células: Sinapsis
Es una característica particular de neuronas motoras grandes: El citoplasma del cuerpo de la célula tiene un RER abundante con muchas cisternas en grupos paralelos
La sustancia de Nissl de encuentra en: Pericarion y la primera porción de dendritas
Cuando las cisternas de RER y los polirribosomas aglutinados se tiñen y aparecen como racimos de material basófilo se les llama: Cuerpos de Nissl
¿Que no existe en el montículo del axón y que si en el axón? No existe RER, existe REL
Es REL extendido a las dendritas y el axón directamente bajo el plasmalema: cisternas hipolémicas.
¿Cómo es el complejo de Golgi en las neuronas? Yuxtanuclear prominente compuesto de varias cisternas estrechamente relacionadas que muestran una periferia dilatada
¿De qué se encarga el complejo de Golgi? Del agrupamiento de sustancias neurotransmisoras o las enzimas esenciales para su producción en el axón
¿Dónde son más abundantes las mitocondrias? En las terminales del axón
¿Dónde se encuentran los gránulos de melanina? En la sustancia negra, el locus coreleus, y en cantidades menores en los núcleos dorsales del vago y la médula espinal y los ganglios simpáticos del SNP.
Es precursor de la melanina y los neurotransmisores dopamina y noradrenalina: Dihidroxifenilalanina (DOPA) o metildopa
¿Qué es la lipofuscina? Gránulo de pigmento pardo amarillento irregular supuesto remanente de la actividad enzimática lisosómica
¿Qué células no acumulan lipofuscina? Las células de Purkinje de la corteza cerebral
¿Qué es la barrera hematoencefalica? Zona limítrofe entre los vasos sanguíneos y el tejido nervioso de restricción selectiva de las sustancias transportadas por la sangre, constituida por las células endoteliales que recubren los capilares continuos que pasan a través del SNC.
Es la célula que produce la mielina en el SNC: Oligodendrocito
Donde tienen sus cuerpos celulares las neuronas motoras que inervan el músculo estriado: En el SNC en el asta ventral anterior de la sustancia gris.
Célula de la neuroglia que tiene “pies vasculares (pedicelos)”: Astrocito protoplásmico
Es la célula que proporciona glucosa y sostén a la neurona: Astrocito
Estimula la proliferación de una gran variedad de células y media muchos de los efectos de la hormona del crecimiento: Factor de crecimiento similar a la insulina I (IGF-I)
A la célula de sostén de fibras nerviosas periférica se le conoce como: Célula de Schwann
La mielina rodea a la neurona en: Los segmentos internodales (200 a 1000 µm)
Capa más interna de las meninges: Piamadre
En la lesión neuronal se produce crecimiento de: Crecimiento de dendritas
¿Como se llama la membrana plasmática mas la membrana basal de la célula muscular esquelética? Endomisio
¿Como se llaman las invaginaciones de la membrana plasmática de la célula muscular esquelética? Tubulo T
¿Como se llaman las mitocondrias de la célula muscular esquelética? Sarcosomas
¿Como se llama la región clara que se encuentra en el centro de la banda A? Zona H
¿Que es el neuropilo? Prolongaciones neuronales y gliales donde no hay somas
¿Cuál es el origen de las vesículas sinápticas? Región presináptica o botón sináptico
Las células fagocíticas del SNC son: Microgliocitos
¿Como se llama el estadío en la maduración de los eritrocitos que se encuentra normalmente en la sangre? Glóbulos rojos o hematíes
¿Como se llama el estadío en la maduración de los eritrocitos inmediatamente anterior a la formación de los mismos? Reticulocitos
¿Cuál es la función de los gránulos secundarios del eosinófilo? Neutralizan a basófilos y contra parásitos
Las plaquetas derivan de: Megacariocitos
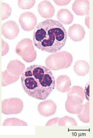
Ocupa el mayor porcentaje de los distintos tipos de leucocitos circulantes en la sangre, tienen un núcleo que presenta de 3-4 lóbulos unidos por filamentos delgados de cromatina: Neutrófilos (60-70%)
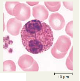
Se encuentra en poca cantidad y participan en reacciones alérgicas y parasitarias, poseen un núcleo bilobular y gránulos citoplasmático: Los eosinofilos
Estas células se transforman en mastocitos cuando salen a tejido: Los basofilos
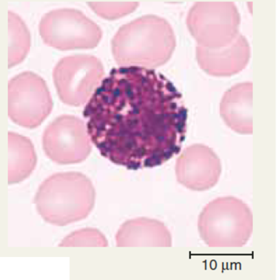
Este tipo de células tienen gránulos azurófilos y un núcleo grande de cromatina condensada y escaso citoplasma: Los linfocitos
¿Cuál es la estructura de las plaquetas? Membrana con glucocáliz, 2 zonas, periférica llamada hialómero formada por microtúbulos y filamentos de actina y miosina, y otra zona llamada central formada por granulómero, hay gránulos alfa ATP y ADP
¿Cuáles son las funciones de las plaquetas? Adhesión ante el vaso y agregación entre ellas.
¿Cuáles son las características del eritrocito? Bicóncavos, anucleados, 7.2 micras de diámetro, 2 micras de espesor en la periferia y 1 en el centro, 120 días de vida
¿Cuál es la estructura del eritrocito? Membrana de carbohidratos (determinar grupos sanguíneos), citoesqueleto, espectrina (unidos entre sí por actina y a la membrana por ancorina), anhidrasa carbónica (ayuda a la transferencia de CO2), hemoglobina, agua, proteínas y lípidos.
Permite la distinción entre celulas T y B: La identificación de receptores de membrana
Son los fagocitos activos en el sitio de inflamación: Neutrofilos
La medula ósea desde punto de vista histológica se divide en: Roja (activa) o amarilla ( inactiva), compartimiento vascular y hematopoyético.
En él se produce la maduración y activación de los linfocitos T: El Timo
¿Qué células se forman por la diferenciación de los linfocitos B?: Celulas Plasmaticas
Son globulos blancos granulares Eosinofilos, basofilos y neutrofilos
Son glóbulos blancos agranulares Linfocito y monocito
Un recuento alto de estas células puede indicar: reacciones alérgicas, infecciones parasitarias, enfermedades autoinmunes Eosinofilos
Un recuento alto de estas células puede indicar: reacciones alérgicas, leucemias, neoplasias, hipotiroidismo Basofilos
Un recuento de estas células puede indicar: infecciones virales y ciertas leucemias Linfocitos
Un recuento alto de estas células puede indicar: infección bacteriana, quemaduras, estrés, inflamación Neutrofilos
Un recuento alto de estas células puede indicar: infecciones virales o fungicas, tuberculosis, ciertas leucemias Monocitos
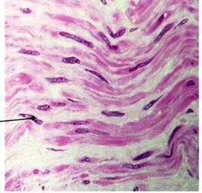
¿Que tipo de musculo es? Musculo esqueletico
¿Que tipo de musculo es? Musculo cardiaco
¿Que tipo de musculo es? Musculo liso
¿Que tipo de célula sanguínea es? Eosinofilo El nucleo tiene dos lóbulos grandes unidos por una hebra, tiene granulos grandes, 2-4% de los leucocitos
¿Que tipo de célula sanguínea es? Basofilo Núcleo en forma de S" o de "U" que suele ser pálido y ocultarse de la vista, gránulos gruesos y abundantes de color violeta obscuro, menos del 0.5% de los leucocitos
¿Que tipo de células sanguíneas son? Neutrofilos Núcleo que suele tener 3-5 lóbulos dispuestos en forma de "S" o "C", gránulos rojizos a violeta, 60-70% de los leucocitos
¿Que tipo de célula sanguínea es? Linfocito Núcleo redondo con ligeros hoyuelos de olor violeta obscuro, 25-33% de los leucocitos
¿Que tipo de célula sanguínea es? Monocito Nucleo ovoide en forma de riñon o herradura de color violeta, citoplasma abundante con escasos granulos y finos, 3-8% de los leucocitos
¿Cuáles son los 3 tipos de gránulos que presentan los neutrófilos? Primarios como la gelatinasa y catepsina que rompen la pared del vaso, secundarios como colagenasa, fisfatasa alcalina, hialuronidasa, lactoferrina y lisosima, terciarios como la lisosima (azurófilos).
¿Cuáles son las características del eritrocito? Bicóncavos, anucleados, 7.2 micras de diámetro , 2 micras de espesor en la periferia y 1 en el centro, 120 dias de vida
Show full summary Hide full summary

Similar

Histología
carlos_lmsv7
Musculo cardiaco
Manuela Soto
Histología
ipediez
Histología (1er parcial) TEORÍA
Sairis Cedano
MUSCULO
Miguel Balbuena
Histo-Midterm
Guice Esmar
tejido sanguíneo
PAOLETH GUARDERAS
Sistema Digestivo II
Israel García
Láminas de Histología
Mario Ripalda
HISTOLOGIA- TEJIDO CONJUNTIVO
lilie_nyu