|
|
Created by Justin Veazey
almost 11 years ago
|
|
| Question | Answer |
| What are the different forms of Sarcoids? | Flat Wart-like Proud-flesh Mixed |
| What are the common causes of Equine Sarcoids? | Bovine Papillomavirus 1/2 |
| What are adnexal structures? | Any 'other things' in the epidermis: Hair follicles glands (sebaceous, apocrine, eccrine, circumanal, tail, anal) Claws/hooves |
| What are Merkel cells? | Sensory cells of the epidermis |
| What layer is the difference between Haired skin and hairless skin? (bonus for which one has it) | Hairless has a Stratum lucidum |
| What are the layers of the Epidermis of haired skin? (4) | Stratum corneum stratum granulosum Stratum spinosum Stratum basale |
| What are the main components of the dermis/subcutis ground substance? (2) | Glycosaminoglycans Proteoglycans |
| Which layer increases in thickness with hyperkeratosis? | Stratum corneum |
| Which form is Seborrhea sicca? | Dry form of Idiopathic Seborrhea |
| What is seborrhea oleosa? | [seborrhea oleosa] Greasy form of Idiopathic seborrhea |
| Where does Epidermal hyperplasia normally occur histologically? (where in the layers of cells; bonus for name) | Increase in the number of cells within the stratum spinosum [Acanthosis] |
| What pathology of homonal imbalances causes skin atrophy? | Hyperadrenocorticism (can cause skin atrophy) |
| what characterizes Spongiosis? | intercellular edema |
| What constitutes an Algal Infection? | Granulomatous dermatitis & Panniculitis [Prototheca sp.] |
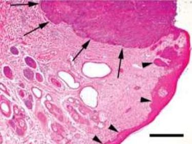
| What are the histiologic findings of Demodicosis in dogs? | Epidermal hyperkeratosis, perifolliculitis, and lymphocytic interface mural folliculitis with intramural mites |
| Where does Demodicosis normally occur in cats Grossly? | Chin, Eyelids, Head/Neck [Demodicosis in cats] |
| T/F Scabies is not zoonotic? | False: Scabies is zoonotic |
| What do you see with Vetch Toxicosis? | [Lots] Dermatitis, conjunctivitis, diarrhea, granulomatous inflammation in multiple organs (Myocardium, Kidney, Lymph nodes, thyroid, and adrenal glands) |
| What do you see with Ergot poisoning? | Marked peripheral arteriolar vasoconstriction and damage to capillary endothelium [Stimulation of adrenergic nerves] |
| What do you see with Selenium poisoning? | Emaciation poor quality hair coat partial alopecia |
| Which fungus causes Ergot poisoning? | Claviceps purpurea [Ergot poisoning] |
| What are other names for Acral lick dermatitis? | Lick Granumoma or Neurodermatitis |
| What is the gross appearance of Acral lick dermatitis? | Lesions are circumscribed, Hairless, ulcerated |
| What is the common name for Pyotraumatic dermatitis? | "Hot Spots" [Pyotraumatic dermatitis] |
| What is the Gross Appearance of Pyotraumatic dermatitis? | Alopecia, Erthema, edema, circumscribed edges |
| What is the 'histology' behind Pyotraumatic dermatitis? | Erosive to ulcerative exudative dermatitis to deeper suppurative folliculitis |
| What are "rete ridges"? |
Epidermal thickenings extending downward, Commonly seen with Callus'es
Image:
rete_ridges.JPG (image/JPG)
|
| What is Intertrigo? | Skin fold dermatitis [Intertrigo] (superficial dermatitis that occurs on apposed skin surfaces) |
| What is the pathogensis of Intertrigo? | Apposed skin surfaces- frictional trauma- moisture- opportunistic bacterial infections |
| Pathogensis of Frostbite/thermal burns? | Freezing/cellular injury Vascular damage Tissue anoxia (dry/wet) Gangrene |
| Describe Infectious coryza (chickens) | Acute respiratory disease Sneezing, nasal discharge Swelling of the face |
| What is Onchocerciasis? | Presence of Adult parasites in nodules within connective tissue [can be asymptomatic] |
| What kind of reaction does Cutaneous onchocerciasis represent? | Hypersensitivity reaction to microfilarial antiges (Is what cutaneous onchocerciasis is thought to represent) |
| What is Stephanofilaria stilesi? | Parasite Cattle in North America Cutaneous lesions; abdominal skin, midline Vector: Haematobia irritans |
| Describe the Leishmania sp. infection: | [Leishmania sp.] Primarily affects dogs/humans intracellular protozoan Cutaneous lesions Histology: Ulcerative, exfoliative dermatitis, pustular dermatitis |
| What is Canine reactive histiocytosis? | An immune mediated proliferative "round cell" disorder that originates from activated interstitial type dendritic cells Cutaneous- Skin & Subcutis |
| What are "sterile" nodular granulomatous disorders? (2) | Juvenile sterile granulomatous dermatitis & Juvenile sterile lymphadenitis "Canine reactive histiocytosis" |
| What is this an example of? Hint: occurs in cattle in North America | Stephanofilariasis |
|
Very common in dogs. Commonly caused by parasites
what is this an example of?
Image:
Demodicosis.JPG (image/JPG)
|
Demodicosis Histology: Hyperkeratosis, perifolliculitis, lymphocytic interface mural folliculitis with intraluminal mites |
| What is Canine atopic dermatitis? | A genetically predisposed; inflammatory Disease Commonly pruritic IgE antibodies to environmental allergens |
| What is urticaria? | "Hives" Edema of the superficial dermis (common in horses) |
| What is Angioedema? | [Angioedema] Edema of the deep dermis and subcutis (think deeper than Urticaria) |
| What type of hypersensitivity reactions are responsible for 'Canine atopic dermatitis'? | Type I & Type IV [Canine atopic dermatits] |
| What is the predominant clinical sign of Canine atopic dermatitis? | Pruritis, most being "self-inflicted" [The predominant clinical sign of pruritis] |
| What are the clinical findings of "Feline plasma cell pododermatitis"? | Hypergammaglobulinemia (immune dysfunction) Plasma cell infiltrate "Soft/spongy swelling of foot pads" |
| What are 3 common 'generic' causes of laminitis? | Systemic Disease Metabolic Disease or Trauma |
| What are the common immunoglobulins assoicated with Food hypersensitivity? | IgE |
| What are the common lesions seen with Food hypersensitivity? | Erythema papules urticaria/angioedema |
| What type of hypersensitivity reation does "allergic contact dermatitis" cause? | Type IV hypersensitivity |
| What characterizes pemphigus? | Vesicles/bullae and acantholysis [Pemphigus] |
| Describe the Pathogensis of Pemphigus | Auto-antibodies are produced against proteins responsible for keratinocyte attachment |
| What does damage to Desmosomes result in? | Acantholysis and formation of vesicles/bullae [damage to desmosomes; cell adhesion] |
| Describe Purpura hemorrhagica | [Purpura hemorrhagica] Red or purple macules or patches caused by hemorrhage in the skin or mucous membranes |
| What type of Hypersensitivity reaction is caused by Purpura hemorrhagica? | Type III [Purpura hemorrhagica] |
| What do you see with Zinc deficiency? | Major cutaneous lesions Parakeratotic hyperkeratosis |
| What is 'Steely Wool' pathoneumonic for? | Copper deficiency |
| What are the symptoms (of the integument) of Copper deficiency? | depigmented hair/wool Steely wool |
| What is the main assumed pathogensis of "Seasonal flank alopecia"? | Changes in photoperiod Melatonin (released from pineal gland) |
| Strangely found in male dogs. What hormonal imbalance is this an example of? | Hyperestrogen |
| What commonly causes calcinosis cutis? | Hyperadrenocorticism [Can cause calcinosis cutis] |
| What is hyperadrenocorticism usually caused by? | Bilateral adrenal cortical hyperplasia or Administration of exogenous glucocorticoids |
| What is the common cause of 'Equine pars intermedia dysfunction'? | Expanding pituitary gland (hypertrophy/hyperplasia/adenoma) [Equine pars intermedia dysfunction] |
| What is hypertrichosis? | Failure to shed [hypertrichosis] |
| What kind of Lesions does Vitamin A cause? | Trick question; Does not cause lesions but will effect their resolution (some problems: skin proliferation/abnormal keratinization in Cocker Spaniels) |
| What is Pemphigus foliaceous? | Autoimmune disease Keratinocytes become unbound (Desmoglein 1 targeted) |
| Generally describe Paraneoplastic pemphigus: | Rare/Aggressive pemphigus Solid/hematopoietic neoplasms |
| What is the differences between Discoid lupus and Systemic lupus erythematosus? | Location; Discoid (usually located only in skin) |
| purpura is commonly secondary to what infection? | Streptoccocus equi [purpura secondary to] |
| Which breed of dog is most susceptible to Dermatomyositis (vasculitis)? | Shetlandsheepdogs |
| what are Koilocytes? | [Koilocyte] swollen keratinocytes that have clear cytoplasm, perinuclear halo, and pyknotic nucleus |
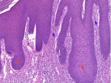
|
This is seen in a cat.
Hyperplastic but not invasive
Image:
kitty.JPG (image/JPG)
|
Bowen's like disease |
| What do you commonly need for Bacterial folliculitis and furunculosis to occur? | You commonly need primary factors: Excessive moisture, immune suppression, parasitic diseases (because it's secondary) |
Want to create your own Flashcards for free with GoConqr? Learn more.