Veterinary Pathology

Description

BVMS Veterinary Pathology Quiz on Veterinary Pathology, created by Marielle83 on 22/04/2015.
Marielle83
Quiz by Marielle83, updated more than 1 year ago
Marielle83
Created by Marielle83 almost 11 years ago
1622
1

Resource summary

Question 1

Question
In toxic change, Döhle bodies can be seen on what type of cell?
Answer
  • Erythrocytes
  • Neutrophils

Question 2

Question
Neutrophilia with mainly mature neutrophils and some immature forms can be described as...
Answer
  • Regenerative left shift
  • Degenerative left shift

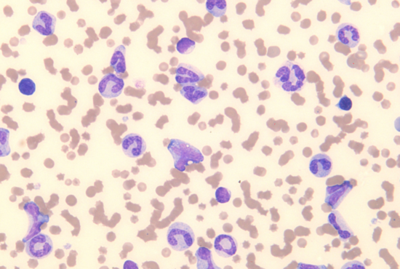
Question 3

Question
Describe what you see in this picture.
Answer
  • Degenerative left shift neutrophilia
  • Regenerative left shift neutrophilia
  • Barry Chuckle

Question 4

Question
What is the cell type responsible for skin wound contraction?
Answer
  • Epidermal stem cell
  • Myofibroblast
  • Smooth muscle cell
  • Myoblast
  • Skeletal muscle cell

Question 5

Question
What is the name for a fracture where the cortex is broken on one side of the bone, but only bent on the opposite side?
Answer
  • Transverse
  • Greenstick
  • Salter-Harris
  • Sequestrum
  • Infraction

Question 6

Question
Which of these tumours is of epithelial origin?
Answer
  • Histiocytoma
  • Liposarcoma
  • Haemangioma
  • Squamous papilloma
  • Fibrosarcoma

Question 7

Question
Retrovirus induced neoplasia is seen in many domestic species. Which of the following viruses is implicated in pulmonary adenocarcinoma?
Answer
  • Jaagsiekte sheep retrovirus
  • Feline leukaemia virus
  • Avian leukosis virus
  • Feline immunodeficiency virus
  • Bovine leukosis virus

Question 8

Question
At post-mortem examination, which tissue must be fixed whole (i.e. not sectioned)?
Answer
  • Urinary bladder
  • Liver
  • Lung
  • Small intestine
  • Brain

Question 9

Question
Inflammation of the oral cavity is called...
Answer
  • Myelitis
  • Opthalmitis
  • Mastitis
  • Stomatitis
  • Glossitis

Question 10

Question
On post-mortem examination of a diarrhoeic dog you decide to submit tissue for bacteriology and histopathology. Which two samples must you collect?
Answer
  • 100g of fresh intestine and a tied-off section of fresh intestine
  • Tied-off section of formalin fixed intestine and a tied-off section of fresh intestine
  • Tied-off section of fresh intestine and section of formalin fixed intestine
  • Section of formalin-fixed intestine and 100g of fresh intestine
  • 100g of formalin-fixed intestine and tied-off section of formalin-fixed intestine

Question 11

Question
Dictyocaulus viviparus most commonly causes areas of consolidation in which area of the lungs?
Answer
  • Cranioventral
  • Dorsocaudal
  • Caudoventral
  • Diffuse (affecting 80-90% of the lung)
  • All of the above

Question 12

Question
Which of the following species commonly gets pituitary adenomas of the pars distalis?
Answer
  • Cat
  • Dog
  • Cow
  • Chicken
  • Llama

Question 13

Question
In a dog with Cushing's disease, what organ can develop secondary vacuolar changes resulting in organ dysfunction?
Answer
  • Brain
  • Heart
  • Liver
  • Kidney
  • Pancreas

Question 14

Question
Immune-mediated haemolytic anaemia will result in which change in the urine?
Answer
  • Proteinuria
  • Glucosuria
  • Bilirubinuria
  • Ketonuria
  • Crystaluria

Question 15

Question
Define a degenerative left shift
Answer
  • Immature neutrophils in the circulation outnumbering mature neutrophils
  • Increased numbers of circulating white cells
  • Reduced numbers of circulating white cells
  • Extreme inflammatory leukocytosis
  • Extreme neoplastic leukocytosis

Question 16

Question
Hypothyroidism cause fatty plaques in the blood vessel walls
Answer
  • True
  • False

Question 17

Question
Clinical signs of hypothyroidism, tick all that applies
Answer
  • Lethargy
  • Weight loss
  • Pyoderma
  • Poor quality coat
  • Increased metabolic rate

Question 18

Question
A recently diseased body is cold and stiff, what is the approximate timing of death?
Answer
  • Dead less than 3 hours
  • Dead from 8-36 hours
  • Dead 3-8 hours
  • Dead more than 36 hours

Question 19

Question
The irreversible condensation of chromatin in the nucleus of a cell undergoing necrosis or apoptosis is termed...
Answer
  • Karyorrhexis
  • Pyknosis
  • Karyolysis

Question 20

Question
What is the earliest safe time to remove the sutures in a simple incised wound?
Answer
  • 3 days
  • 7 days
  • 10 days
  • 12 days

Question 21

Question
The collagen in scar tissue is formed from which ONE of the following?
Answer
  • Fibrin
  • Fibrinogen
  • Plasma proteins
  • Fibroblasts
  • Macrophages

Question 22

Question
Which system/cascade has mediators that play a role in inflammation, phagocytosis AND cell lysis?
Answer
  • Kinin cascade
  • Arachidonic acid metabolism
  • Coagulation cascade
  • Complement cascade
  • Fibrinolytic cascade

Question 23

Question
Fungal pneumonia is typically associated with which pattern of inflammation?
Answer
  • Granulomatous pneumonia
  • Fibrinous pneumonia
  • Suppurative pneumonia
  • Aspiration pneumonia
  • Interstitial pneumonia

Question 24

Question
Which of the following is an important pathogenic mechanism of Salmonella?
Answer
  • Suppression of macrophage Nitric Oxide production
  • Suppression of IL-8 mediated neutrophil recruitment
  • Decreased IFN-γ secretion by lymphocytes
  • Increased macrophage Nitric Oxide production
  • Increased IL-5 production by eosinophils

Question 25

Question
Which one of the following is a SECONDARY skin lesion?

Question 26

Question
Which of the following are PRIMARY skin lesions? Tick all that applies

Question 27

Question
An ULCER is a shallow epidermal defect that does not penetrate the basement membrane and thus heals by regeneration i.e. without scarring
Answer
  • True
  • False

Question 28

Question
Conditions associated with Vitamin E/Selenium deficiency. Tick all that applies
Answer
  • White muscle disease
  • Hyperkeratosis
  • Rachitic rosary
  • Hepatosis dietetica
  • Mulberry heart disease
  • Rickets

Question 29

Question
What is the corrects definition of OSTEOPOROSIS?
Answer
  • Reduced bone mass, reduction in quantity not quality, due to protein calorie malnutrition
  • Reduced bone mass but no clinical disease
  • Soft bones, decreased mineralisation and thickened growth plates, widening of growth plates "flared" metaphyses

Question 30

Question
... is a common type of inherited arrhythmia in Boxers
Answer
  • Dilated cardiomyopathy
  • Arrhythmogenic right ventricular cardiomyopathy
  • Inherited ventricular arrhythmia

Question 31

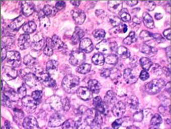
Question
Which type of round cell tumour is this? Note the bean shaped cells
Answer
  • Mast cell tumour
  • Plasmacytoma
  • Histiocytoma
  • Lymphoma

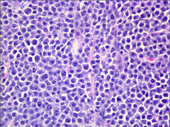
Question 32

Question
Which type of round cell tumour is this? Sheets of rounds cells with very large nucleoli
Answer
  • Mast cell tumour
  • Plasmacytoma
  • Histiocytoma
  • Lymphoma

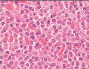
Question 33

Question
Which type of round cell tumour is this? Note presence of eosinophils
Answer
  • Mast cell tumour
  • Plasmacytoma
  • Histiocytoma
  • Lymphoma

Question 34

Question
Which type of round cell tumour is this? Cells packeted by collagenous stroma, many binucleate cells present
Answer
  • Mast cell tumour
  • Plasmacytoma
  • Histiocytoma
  • Lymphoma
Show full summary Hide full summary

Similar

Veterinary Nursing Instruments
rowan.bray
Virus
Kahlen Ng
Skin pathology
Justin Veazey
Pharmacology I: Final Quiz
MRaythe
Pharmacology
Justin Veazey
Parasites photos
Hannah Spicer
Thermoregulation
Joanne Wills
Prescriptions (veterinary)
Lyndsey Cullum
Animal parasites
Marielle83
Inflammation
Marielle83
BVMS 3 - Term II Parasites
Marielle83