GIT EM

Description

Flashcards on GIT EM, created by أطباء 2020 on 28/11/2014.
أطباء 2020
Flashcards by أطباء 2020, updated more than 1 year ago
أطباء 2020
Created by أطباء 2020 almost 11 years ago
1109
0

Resource summary

Question Answer
Lingual papillea
A: Filliform papillea Very numerous , elongated B: Fungiform papillea
Fungiform papilla : Less numerous , mushroom-shaped
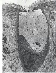
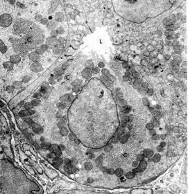
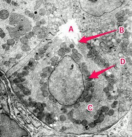
Parietal cell TEM "NOTICE apical occluding junction"
A : Lumen B : Microvilli C : Intracellular canaliculas D : Mitochondria
Enteroendocrine cell (Open type) A: Basal electron dense granules
Enteroendocrine cell (Closed type) A: basal electron dense granules
SEM of small intestine A : Villus B : Crypt
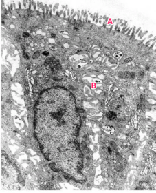
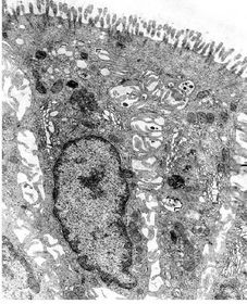
TEM of enterocytes covering the villi
Apical surface of enterocytes TEM A : Microvilli B : Zonula occludens C : Zonula adherens D : Desmosome
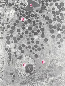
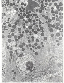
Goblet cell
A : secretory granules containig mucous B : Nucleus C : rER D : Enterocyte
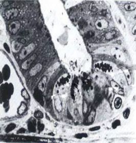
TEM of the basal part Of the crypts Of small intestine
A : Paneth cell B : Apical granules C: Entero-endocrine cell B : basal granules D : blood capillary
SEM of the Colon
A : Goblet cell B : opening of a crypt *notice absence of villi
SEM of the Colon (side view) A: smooth surface B: Crypts
TEM of coloumnar absorbtive cells Lining the colon
A : short microvilli B : lateral membrane infoldings ( for water absorbtion)
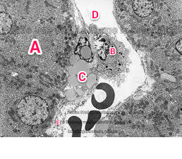
TEM OF Pancreatic acinar cell
A : Lumen B : Zymogen granules C : Nucleus With evident nucleolus D : rER
TEM of a part of the liver
A : large fat droplet inside Ito cell B : Kupffer cell C : Blood sinusoid D : Space of Disse E : Microvilli
TEM of part of Liver A: Nucleus of endothelial cell B : Microvilli C: Blood sinusoid D : Hepatocyte E: Space of Disse
A : Hepatocyte B : Kupffer Cell C : fat droplets inside Ito cell E : Space of Disse
TEM of a bile canaliculus A: Hepatocytes B: Microvilli C: Lumen of bile canaliculus D: tight junction
TEM OF BILE CANALICULUS A: Hepatocyte B : Lumen of bile canaliculus
SEM of Fenestrated sinusoid of Liver
A : Space of Disse B : Hepatocyte C : fenestrea of epithelial cells ( Sieve plate)
Show full summary Hide full summary

Similar

Anatomy X-ray
أطباء 2020
Histology- Connective Tissue PMU 1st Year
Med Student
Major Tissue Types
adaezelechi
Anatomy Microscope Slides 2nd Test PMU 2nd Year
Med Student
Connective Tissue Long Ans. Questions Histology MCQ 1st Year PMU
Med Student
Histology- Muscle Tissue Long Questions 1st year PMU
Med Student
Histology 1st Year MCQ Slides PMU
Med Student
Histology- Epithelial Tissue PMU 1st Year
Med Student
Histology- Blood Tissue Long Questions- 1st Year
Med Student
Epithelial Tissue Long Questions Histology PMU 1st Year
Med Student
Histology- Nervous Tissue Long Question 1st Year PMU
Med Student