null
US
Sign In
Sign Up for Free
Sign Up
We have detected that Javascript is not enabled in your browser. The dynamic nature of our site means that Javascript must be enabled to function properly. Please read our
terms and conditions
for more information.
Next up
Copy and Edit
You need to log in to complete this action!
Register for Free
6721881
Anatomy Microscope Slides 2nd Test PMU 2nd Year
Description
Anatomy Microscope Slides 2nd Test PMU 2nd Year
No tags specified
histology
pmu
plovdiv
anatomy microscope slides 2nd test pmu 2nd year
anatomy
2nd year
microscope slides
anatomy
medicine
Quiz by
Med Student
, updated more than 1 year ago
More
Less
Created by
Med Student
about 9 years ago
488
11
0
Resource summary
Question 1
Question
Label this image
Image:
8bf7aa50-9d64-4e14-9bf0-b04b9cbcbdea (image/jpeg)
Answer
Lips
Question 2
Question
Label this image
Image:
4e2fdc1f-240b-497d-ba46-3f438cc54f86 (image/jpeg)
Answer
Uvula
Question 3
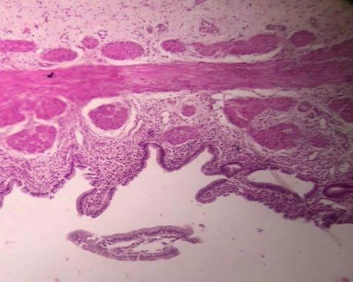
Question
Label this image
Image:
6eeff475-4763-457e-a546-bc0f8ac946e8 (image/jpeg)
Answer
Embryonic Tooth
Question 4
Question
Label this image
Image:
923e7534-e40a-4fab-a487-f781ceacfa5a (image/jpeg)
Answer
Adult tooth
Question 5
Question
Label this image
Image:
bce36eb7-62d2-4288-9ff9-f975bdca00c5 (image/jpeg)
Answer
Adult Tooth
Schiff
Question 6
Question
Label this image.
Image:
b0142ba8-ea6c-459a-b06c-9441979a232a (image/png)
Answer
Tongue papillae vallatae
Question 7
Question
Label this image
Image:
1e5519f8-bd56-44d4-b60d-a2da2ad9a0b0 (image/png)
Answer
Tongue papillae filiformes
Question 8
Question
Label this image
Image:
f15e04b7-e7fd-4d7d-a896-1a0ab97f8092 (image/png)
Answer
Parotid Gland
Question 9
Question
Label this image
Image:
21497724-c5e5-4322-b39e-fed4e1524147 (image/png)
Answer
Submandibular Gland
Question 10
Question
Label this image
Image:
e26df740-07cf-4f08-a2f1-376381bf4fc4 (image/png)
Answer
Sublingual Gland
Question 11
Question
Label this image
Image:
56348f6a-2577-4a2e-b75e-005a45040827 (image/png)
Answer
Oesophagus
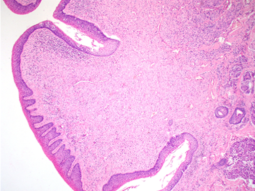
Question 12
Question
Label this image
Image:
c5acbc5f-7ce1-43ce-8881-898cec4f35b1 (image/png)
Answer
Stomach Fundus
Question 13
Question
Label this image
Image:
6454cf64-d174-4fed-933f-e63639630fa0 (image/jpeg)
Answer
Stomach Pylorus
Question 14
Question
Label this image
Image:
a8a6dedd-9635-4a50-b0b7-ae26628932ea (image/png)
Answer
Small Intestines
Question 15
Question
Label this image
Image:
66000726-b32a-4464-97d1-857468e10210 (image/jpeg)
Answer
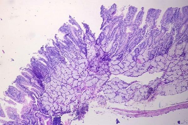
Duodenum
Question 16
Question
Label this image
Image:
7fb3763e-f862-4ffa-a945-b059dfa00bd9 (image/png)
Answer
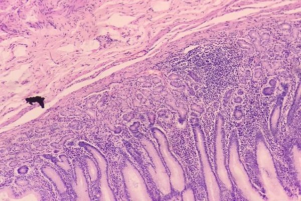
Large Intestines
Question 17
Question
Label this image
Image:
8066b642-4ec5-4e65-99d1-e2e1e29f251b (image/png)
Answer
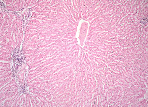
Liver
Question 18
Question
Label this image
Image:
05640352-ce0c-4114-b853-8cf7148814a7 (image/jpeg)
Answer
Gallbladder
Question 19
Question
Label this image
Image:
aa46be85-fddf-4f03-92c3-77618cfbb1e3 (image/png)
Answer
Pancreas
Question 20
Question
Label this image
Image:
96abce79-4d0c-4ab4-a976-04606da596d7 (image/png)
Answer
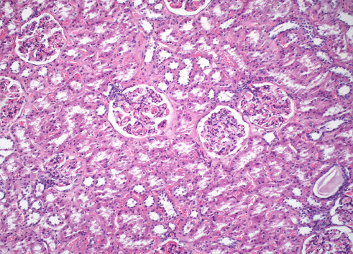
Kidney
Question 21
Question
Label this image
Image:
b749da2b-cc60-4f9a-8c6b-7d9c5a77172c (image/png)
Answer
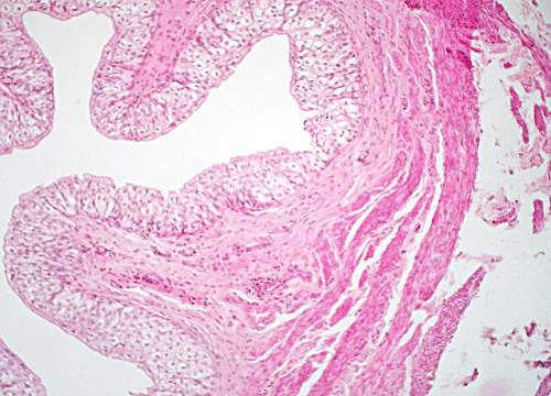
Ureter
Question 22
Question
Label this image
Image:
a57b5c1b-f6aa-4ba2-a76e-2a9293597ef2 (image/jpeg)
Answer
Urinary Bladder
Question 23
Question
Label this image
Image:
b96c7e30-c4bf-487a-9482-d4b73d74b757 (image/jpeg)
Answer
Parietal cell
Question 24
Question
Label this image
Image:
82a8722a-98a2-489a-8256-31237b833923 (image/jpeg)
Answer
Chief Cell
Question 25
Question
Label this image
Image:
6c89cd62-370f-4284-ba2a-bd9598a7a1b9 (image/jpeg)
Answer
Endocrine Cell
Question 26
Question
Label this image
Image:
aef414af-f8f1-43b0-b999-15af54d3778e (image/jpeg)
Answer
Goblet Cell of Small Intestines
Question 27
Question
Label this image
Image:
d3d13098-fc9c-43e0-932c-024b9098df1d (image/jpeg)
Answer
Resorptive Cell
Question 28
Question
Label this image
Image:
5da31a83-9d4b-41e7-9f52-af0179d25a50 (image/jpeg)
Answer
Hepatocyte
Question 29
Question
Label this image
Image:
c7eb4b5b-3919-4bcc-b8d6-d3c1a6cce9f2 (image/jpeg)
Answer
Blood Urinary Barrier
Question 30
Question
Label this image
Image:
415e05e1-ae4c-439a-9a96-974a45e85c0c (image/jpeg)
Answer
Proximal Convoluted Tubule Cell
Question 31
Question
Label this image
Image:
c46d7aa8-7b6f-4f2d-8836-9501557f836e (image/jpeg)
Answer
Distal Convoluted Tubule Cell
Question 32
Question
Label this image
Image:
eb26da8b-c4eb-4c72-bef1-1dd82427b5fb (image/jpeg)
Answer
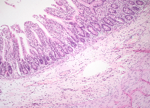
Appendix
Show full summary
Hide full summary
Want to create your own
Quizzes
for
free
with GoConqr?
Learn more
.
Similar
The structure of the heart
rachel_w
4. The Skeletal System - bones of the skull
t.whittingham
Neuro anatomy
James Murdoch
The Circulatory System
mimtasin afra
Renal System A&P
Kirsty Jayne Buckley
The structure of the Heart, AS Biology
mill-bill
Respiratory anatomy
James Murdoch
Unit 4: The Respiratory and Circulatory Systems
Cath Warriner
1. Anatomy & Physiology of the Ear
t.whittingham
Unit 4: Respiratory and Circulatory System
Cath Warriner
Respiration
Sarita Saha
Browse Library