|
|
Created by Amaal Salhieh
almost 10 years ago
|
|
| Question | Answer |
| Cellulitis predominant causes | Group A strep and S. aureus |
| Cellulitis Treatment | If nonpurulent, Penicillinase-resistant PCN (naf and ox) If risks of MRSA, vanc, linezolid, ceftaroline Other options include clindamycin, TMP-SMX, doxycycline |
| Erysipelas etiology | GAS |
| Erysipelas Treatment | Penicillin Macrolide as an alternative |
| Furuncles & Carbuncles etiology | S. aureus |
| Furuncles & Carbuncles Treatment | Apply heat to facilitate drainage of pus Antistaph antibiotic (naf, oxa), unless MRSA risks |
| Impetigo etiology | GAS & S. aureus |
| Impetigo Treatment | Penicillinase-resistant PCNs (naf, oxa, amoxicillin-clavulanate) Add coverage if risks for MRSA |
| Necrotizing Fasciitis Etiology | Type I: Polymicrobial (usually anaerobe & GAS) Type II: GAS |
| Nec. Fasciitis Treatment | Debridement Broad spectrum antibiotics |
| Lymphangitis acute | GAS, S. aureus, Pasteurella Use a GPS to track the cute lymph channels |
| Lymphangitis Chronic | Fungal (sporothrix schenckil) Mycobacterial (M. marinum) |
| What is lymphadenitis? | Acute or chronic inflammation of the lymph node |
| What is lymphangitis? | Inflammation of lymphatic channels |
| Infectious arthritis etiology | S. aureus most common Strep, gram neg possible N. gonorrhoeae (~3%) |
| Osteomyelitis most common etiology | S. aureus |
| Osteomyelitis If IVDU, think.. | S. aureus or Pseudomonas |
| Osteomyelitis If sickle cell, think.. | Salmonella |
| Osteomyelitis If jaw, think.. | Actinomyces |
| Osteomyelitis Mechanism of Infection | _Hematogenous seeding _Contiguous spread from adjacent infection _Direct inoculation (trauma/surgery) |
| S. aureus causes.. (under skin category) | COFS Cellulitis, Osteomyelitis, Furuncles, Septic arthritis Staph-enie always COFS |
| SSSS caused by... | Exfoliative Toxin A & B from S. aureus You better exfoliate that skin or you'll be scalded |
| SSSS Treatment | Nafcillin |
| Nikolsky's sign | Light pressure to skin separates upper epidermis with wrinkling of skin SSSS |
| Group A Strep causes... (skin related conditions) | LICE.N Lymphangitis, Impetigo, Cellulitis, Erysipelas, Necrotizing Fasciitis Strep(pers) have Nasty LICE |
| M protein | GAS Binds and stabilizes factor H to prevent complement fixation |
| Streptokinase | GAS Binds plasminogen to form plasmin GAS with plasmin allows GAS to spread through fibrin |
| Streptolysins S & O | GAS Hemolysins contribue to soft tissue damage |
| Spe | Streptococcal pyrogenic exotoxins Superantigens _Nec. Fasc, TSS, Scarlet Fever |
| Scarlet Fever | GAS |
| GAS Treatment | Penicillins usually adequate |
| C. perfringens micro | Gram positive, spore-forming, obligatory anaerobic, bacilli "I'm so positively perfect. Don't breath on me" |
| C. perfringens Path | Alpha toxin (lecithinase) _lyses RBCs, leukocytes, endothelial cells _tissue destruction, hemolysis, bleeding Beta, Epsilon, lota and an enterotoxin _Iota toxin has necrotic activity & increases vascular permeability |
| Alpha toxin | C. perfringens aka lecithinase _lyses RBCs, leukocytes, endothelial cells _tissue destruction, hemolysis, bleeding |
| Iota toxin | GAS _Iota toxin has necrotic activity & increases vascular permeability |
| C. perf clinical manifestations (skin related) | GM Mega Car (GMMC) are perf(ect) Gas gangrene, Myositis, Myonecrosis, Celulitis |
| C. perfringens Treatment | Surgical derbidement Penicillin Can try hyperbaric oxygen |
| C. tetani micro | spore former, gram positive, anaerobic bacilli |
| C. tetani Pathogenesis | Tetanospasmin - plasmid-encoded, heat-labile neurotoxin |
| Tetanospasmin | B binds to lower Goes to CNS via retrograde axonal transport "A" subunit cleaves/inactivates ptns that regulate the release of GABA, so inc. in excitatory NT -Spastic paralysis |
| Lockjaw (masseter muscles) tetanus | trismus |
| Facial muscle contraction tetanus | Risus sardonicus My face looks like that because someone put Reeses on Sardines |
| Back spasms tetanus | Opisthotonos "(O)h, my back. It feels like I (pis)sed tho ton(os)" |
| C. tetani Treatment | Surgical debridement Penicillin or metronidazole Tetanus Ig Vaccination |
| C. tetani vaccine | Toxoid |
| P. aeruginosa Path | ETA Pyocyanin Pyoverdin LasA & LasB |
| LasA and LasB | proteases degrade eLAStin |
| Pyocyanin | production of superoxide and H2O2 |
| Pyoverdin | siderophore |
| Pseudomonas Clinical Manifestations | O PUBEES (PseudoMONA was naked and you could see her PUBEES) Osteochondritis, Pneumonia, UTI, Bacteremia, Ecthyma gangrenosum, Ear infections, Skin infections |
| Pseudomonas Skin Infections | Burn wounds _vascular damage, tissue necrosis, bacteremia Folliculitis Ecthyma gangrenosum |
| Vibrio micro | Comma-shaped gram negative rods Oxidase/catalase + Grow in salt & TCBS |
| V. vulnificus | Liver disease patients in particular - Infections of wounds contaminated by salt water • Progressive & severe wound infections • Vesicles form followed by necrosis - Also gastroenteritis after shellfish |
| V. parahemolyticus | - Primarily gastroenteritis after shellfish/oysters - Occasionally wound infections |
| Pasteurella multocida micro | Gram neg. coccobacilli Grow on blood/choc, not MAC |
| Pasteurella multocida Treatment | Penicillin |
| Capnocytophaga micro | Filamentous, gram neg rods Grows on blood/choc, not MAC Requires higher CO2 |
| Capnocytophaga Treatment | Amoxicillin-clavulanate |
| M. marinum from... | wound suffered/contaminated in water |
| M. marinum clinical manifestations | Papules on extremity Ulcerate and form scare "Fish tank granuloma" Can have nodular lymphangitis (Sporotrichoid spread) |
| Mycobacterium leprae Good CMI | Tuberculoid leprosy (paucibacillary) |
| Mycobacterium leprae Poor CMI | Lepromatous leprosy (multibacillary) |
| Tuberculoid leprosy | - Localized hypopigmented or erythematous skin lesions - May have nerve involvement with palpable nerves • Sensory loss Low infectivity |
| Lepromatous leprosy | - Numerous erythematous lesions of skin - Diffuse nerve involvement with patchy sensory loss - Tissue destruction (often of face/ears) - Leonine facies & saddle nose - Infectivity is high |
| Tuberculoid leprosy Treatment | • Dapsone & Rifampin x6-12 months |
| - Lepromatous leprosy Treatment | • Dapsone, Rifampin & Clofazimine x2 years |
| - Dapsone | • Interferes with folic acid synthesis (PABA antagonist) |
| - Clofazimine | • Binds to guanine bases in DNA • May cause hyperpigmentation & phototoxicity |
| Malassezia furfur Micro | Requires olive oil (FAs) to grow Can grown on blood agar or fungal agars (potato dextrose agar) with olive oil |
| Potato dextrose agar | Malassezia furfur |
| Malassezia furfur | |
| Malassezia furfur "Spaghetti and meatballs" | |
| Malassezia furfur Clinical Man. | Tinea (Pityriasis) Versicolor _Hypo/Hyperpigmented macules on upper body usually Asymptomatic otherwise – rare pruritis Occasionally TPN (Total Parenteral Nutrition)-related sepsis _Lipids in TPN promote growth of yeast |
| Malassezia furfur Treatment | Topical azoles Selenium sulfide |
| Malassezia furfur | |
| Malassezia furfur | |
| Dermatophytes Treatment for localized and not affecting hair or nails | Topical (azoles, terbinafine) |
| Dermatophytes Treatment affecting hng hair, nails, groin or diffuse | Oral agents (griseofulvin, terbinafine, azoles) Hair is full of grease (griseofulvin) |
| Dermatophyte Tinea barbae | |
| Dermatophyte onychomycosis (Tinea unguium) | |
| Dermatophyte Tinea corporis | |
| Dermatophytes invade.. | skin, hair & nails – keratinophilic & keratinolytic Primarily involve stratum corneum |
| Dermatophytes H&E biopsy | |
| Sporothrix schenckii | |
| Sporothrix schenckii (Donald Trump size hands) | |
| Sporothrix schenckii Micro | Dimorphic fungus Ubiquitous in soil & vegetation Daisy/floret-like conidia as mold in culture at 25ºC Cigar-shaped (and oval) yeasts in tissue |
| Sporothrix schenckii Clinical Man. | “Rose-gardener’s disease” Nodule at site of inoculation (+/- ulceration) Nodules form along lymphatic channels ~2 weeks later |
| If you see "Sporotrichoid spread", think... | S. schenckii, M. marinum, & Nocardia |
| Sporothrix schenckii Treatment | Potassium iodide Itraconazole often used instead |
| Ancylostoma braziliense | |
| Ancylostoma braziliense | |
| Ancylostoma braziliense Epidemiology | Widespread Often children in contact with feces-contaminated soil/sand Larvae penetrate intact skin |
| Ancylostoma braziliense Clinical Man. | Pruritis Erythematous or vesicular reaction to serpentine tunnels |
| Ancylostoma braziliense Treatment | Albendazole or Ivermactin |
| Dracunculus medinensis Epidem. | Isolated areas in Africa |
| Dracunculus medinensis Transmission & Life Cycle | *Larvae in water infect small crustaceans *Ingestion of unfiltered water may contain crustaceans *Larvae released in stomach & small bowel *Get into abdominal cavity & retroperitoneum where they mate *Males die, females move to subcutis & release larvae *Forms blister on skin which ruptures |
| Dracunculus medinensis Clinical Man. | Painful ulcer with emergence of worm Gross... |
| Dracunculus medinensis Treatment | Remove the worm. Duh. |
| - Dracunculus medinensis | |
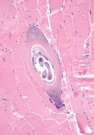
| Trichinella spiralis Epidem. | Worldwide, including US Associated with pork consumption (haram!) |
| Trichinella spiralis Life Cycle | *Pigs contain adult worms & encysted larvae *Humans ingest encysted larvae in undercooked meat *Larvae develop into adults in small intestine *After mating, females release larvae *The released larvae get into blood stream and lodge in muscle *Can get cardiac, CNS, lung involvement |
| Trichinella spiralis Clinical Man. | Periorbital & facial edema, conjunctivitis Fevers, myalgias & weakness Rarely myocarditis, CNS involvement & pneumonitis Eosinophilia |
| Trichinella spiralis Treatment | Albendazole |
| Trichinella Spiralis |
Want to create your own Flashcards for free with GoConqr? Learn more.