Microbiology Final Exam - Fall 2016

Description

Departmental Exam
Lyna Phillips
Flashcards by Lyna Phillips, updated more than 1 year ago
Lyna Phillips
Created by Lyna Phillips almost 9 years ago
43
0

Resource summary

Question Answer
CH 1 What are eukaryotes? – Have nucleus – Have internal membrane-bound organelles – Are larger, 10–100 #m in diameter – Have more complex structure – Composed of algae, protozoa, fungi, animals, and plants
CH 1 What groups are included in eukaryotes? Algae, fungi, protozoa, and small multicellular animals.
CH 1 What are prokaryotes? – Lack nucleus – Lack various internal structures bound with phospholipid membranes – Are small, ~1.0 #m in diameter – Have a simple structure – Composed of bacteria and archaea
CH 1 What groups are included in prokaryotes? Bacteria and archaea
CH 1 What are the traits of bacteria? - Prokaryote - Unicellular - Lacks nuclei - Asexual reproduction - Walls contain peptodoglycan
CH 1 What are the traits of archaea? - Prokaryote - Unicellular - Lacks nuclei - Asexual reproduction - Does not cause disease - Cells walls made of polymers other than peptidoglycan - Extreme environments
CH 1 What are the traits of algae? - Eukaryotes - Photosynthetic - Single reproductive structures different from plants - Examples: spirogyra and diatoms
CH 1 What are the traits of fungi? - Eukaryotes - Consist of: molds (multicellular), yeasts (unicellular), and mushrooms. - Examples: penicillin (mold) and saccharomyces (yeast)
CH 1 What are the traits of protozoa? - Eukaryotes - Asexual and sexual reproduction - Capable of reproduction - Capable of locomotion - Grouped by locomotive structures: pseudopodia, cilia, and flagella.
CH 1 What are the 4 steps in Koch's postulate? 1. Suspected causative agent must be found in every case of the disease and be absent in the healthy host. 2. Agent must be isolated and grown outside the host. 3. When agent is introduced to the healthy host, the host must become infected. 4. Same agent must be found in the diseased experimental host
CH 1 What is the Scientific Method? 1. Observation leads to question 2. Question leads to hypothesis 3. Hypothesis is tested through experiment and leads to a possible answer. 4. Observe results prove or disprove the hypothesis 4a. Accepted hypothesis leads to a theory 4b. Reject or modify the hypothesis
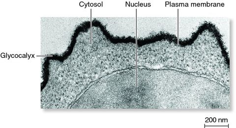
CH 2 What is the function of the glycocalyx? – Gelatinous, sticky substance surrounding the outside of the cell – Composed of polysaccharides, polypeptides, or both – Component of biofilm (slime matters: slimy masses of microbes adhering to a surface.)
CH 2 What are the functions of a capsule versus a slime layer? Capsule: may prevent bacteria from being recognized Slime layer: allow prokaryotes to attach to surface
CH 2 What are the parts of a flagella? 1. Basal body: rod & protein rings 2. Hook 3. Filament: made of flagellin
CH 2 Know the names of the different arrangements of flagella. 1. Peritrichous - all over 2. Monotrichous - out of one end 3. Lophotrikhous - a few our of one end 4. Amphitrchous - one out of each end
CH 2 What are fimbrae? - Bristlelike projections that are used to adhere bacteria to one another or to surfaces. - An important part of biofilms
CH 2 What are the traits of gram-positive bacterial cell walls? - Think peptidoglycan layer - Teichoic acids, called lipoteichoic acids if they penetrate all the way down to the cytoplasmic membrane. - Stains purple when using the gram staining procedure. - Mycobacteria cell walls, associated with TB and leprosy, contain almost 60% mycolic acid. This helps acid-fast bacteria survive dessication.
CH 2 What are the traits of gram-negative cell walls? – Have only a thin layer of peptidoglycan – Bilayer membrane outside the peptidoglycan contains phospholipids, proteins (porin), and lipopolysaccharide (LPS) – Outer membrane may be impediment to the treatment of disease – Appear pink following Gram staining procedure
CH 2 What is the function of endospores? They are a defensive strategy against unfavorable conditions
CH 2 How do bacterial spores form? What are the steps in the process? 1. DNA replication 2. DNA lines up on the cell axis 3. Cytoplasmic membrane forms a cleavage to form the forespore 4. Cytoplasmic membrane engulfs forespore within a second membrane. Vegetative cell DNA disintegrates. 5. A cortex of peptidoglycan is deposited between the membranes; meanwhile, dipicolinic acid and calcium ions accumulate within the center of the endospore. 6. Spore coat forms around endospore. 7. Endospore matures: completion of spore coat and increase in resistance to heat and chemicals by unknown process. 8. Endospore is released from original cell.
CH 2 Know the differences between gram-positive and gram-negative cells.
CH 2 What is a hamus? A unique fimbriae structure for archaea, resembles a hook.
CH 2 What are some of the unique structures of eukaryotic cell wall membranes? - Fluid mosaic model - Contain steroid lipids to maintain fluidity - Membrane rafts - areas of concentrated lipids and proteins - Methods of controlling movement into and out of the cell: endocytosis, etc.
CH 2 How to eukaryotic cell flagella differ from prokaryotic? - shaft od made of tubulin rather than flagellin - There is no hook - No 360 movement, they undulate
CH 2 Describe cilia. – Shorter and more numerous than flagella – Coordinated beating propels cells through their environment – Also used to move substances past the surface of the cell
Ch 6 What is a chemotroph? An organism that obtains energy from chemical compounds
CH 6 What is an autotroph? An organism that obtains energy from light
CH 6 What is an autotroph? an organism that uses CO2 (plants and algae)
CH 6 What is a heterotroph? An organism that uses an organic carbon source (animal)
CH 6 What is nitrogen fixation? The process of turning nitrogen gas into ammonia
CH 6 What are the categories for classifying microbes based on the temperature preference? 1. Psychrophiles - like cold 2. Mesophiles - like body temp 3. Thermophiles - like hot 4. Hyperthermophiles - like very hot
CH 6 What are the categories for classifying microbes based on their pH preference? Neutrophiles, acidophiles, and alkalinophiles.
CH 7 What are the structures of prokaryotic genomes? - Haploid - Circular and in the nucleoid region
CH 7 What is the structure of a eukaryotic genome? - Linear - Diploid (mostly)
CH 7 What are plasmids? - Small molecules of DNA that replicate independently - Non-essential - Can help with survival
CH 7 What is the process of DNA replication? 1. Form the replication fork (DNA helicase, stabilizing proteins) 2. Form the leading strand (primase makes RNA primer, DNA polymerase adds nucleotides in the 5' to 3' direction) 3. Form the lagging strand (same as above but ligase seals up okazaki fragments)
CH 7 what is the central dogma of genetics? DNA to mRNA to Polypeptide
CH7 What are the stages in transcription? 1. Initiation - RNA polymerase binds to the promoter region, breaks the H bonds, separates the 2 strands and RNA begins to be synthesized. 2. Elongation - RNA polymerase moves along the template, forming a bubble in the 5' to 3' direction 3. Termination - RNA polymerase reaches the terminator regions, forms a self-terminating loop, this is dependent on enzymes.
CH 7 How does transcription differ between eukaryotes and prokaryotes? – RNA transcription occurs in the nucleus – Transcription also occurs in mitochondria and chloroplasts – Three types of RNA polymerases – Numerous transcription factors – mRNA processed before translation – Capping – Polyadenylation – Splicing
Show full summary Hide full summary

Similar

321L, Lab Practical II, UAH
Emma Ragan
ITMT-1358-Windows Client Operating Sys
Leonardo Flores
Lab Exam 2 - Final
Lyna Phillips
Microbiology Final Exam - Fall 2016
Lyna Phillips