Doenças não-neoplásicas do pâncreas e vesícula biliar

Description

Doenças não-neoplásicas do pâncreas e vesícula biliar
Drive Med
Mind Map by Drive Med, updated more than 1 year ago
Drive Med
Created by Drive Med almost 10 years ago
48
0

Resource summary

Doenças não-neoplásicas do pâncreas e vesícula biliar
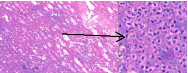
  1. Pancreatite aguda necro-hemorrágica (148)
    1. Área rosada amorfa
      1. Hemorragia
        1. Fibrose
        2. Presença de PMN nas áreas de necrose
          1. Edema
            1. Deposição de gordura
              1. Área amarelo-acastanhada
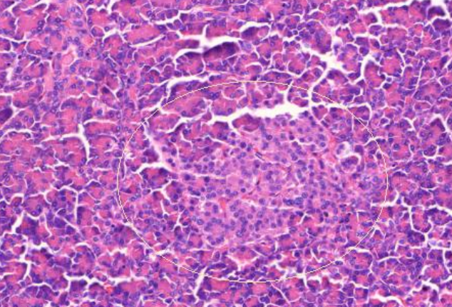
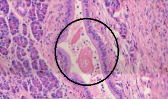
            2. Pâncreas normal
              1. Preto:ducto pancreático
                1. Verde: ácino pancreático
                  1. Ilhotas de Langerhans
                    1. Lóbulos divididos por septos e gordura
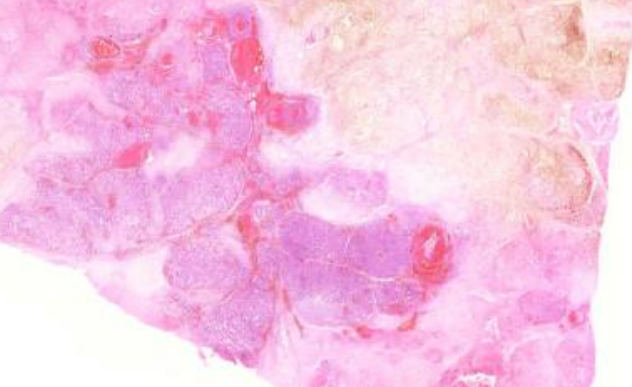
                    2. Pancreatite crônica calcificante (A484)
                      1. Fibrose, muita fibrose
                        1. Septos muito espaçados
                        2. Ductos dilatados com rolhas proteicas
                          1. Ácinos atrofiados
                            1. Ácinos próximos das áreas fibrosadas são menores
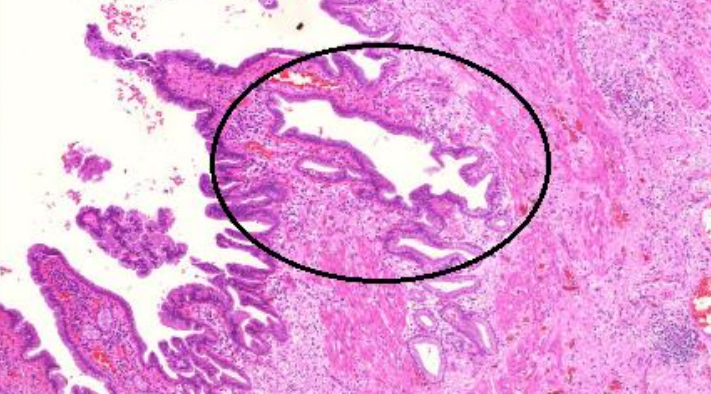
                          2. Vesícula biliar normal
                            1. Epitélio colunar simples com vilosidades
                              1. Camada muscular única
                              2. Colecistite aguda (A522)
                                1. Necrose
                                  1. Predomínio de PMN
                                    1. Causada por isquêmia
                                  2. Colecistite crônica (A523)
                                    1. Fibrose
                                      1. Hipertrofia muscular
                                        1. Seio de Rokitanski Aschoff
                                          1. Invaginações da camada mucosa
                                        Show full summary Hide full summary

                                        Similar

                                        SISTEMA DIGESTÓRIO
                                        Cleudineia Martins
                                        Neoplasias de pâncreas e vesícula biliar
                                        Drive Med
                                        INFLAMAÇÃO
                                        Ketlyn Caroline
                                        Patologia Geral - Hipertensão Arterial (Geral)
                                        BrienneC
                                        QUIZ INTRODUÇÃO A PATOLOGIA GERAL (MONITOR SEVERINO FILHO - FONOAUDIOLOGIA 2016.1)
                                        Severino Filho
                                        Patologias dos rins
                                        Celi cs
                                        PATOLOGIAS DO SISTEMA CARDIOVASCULAR
                                        Jéssica Severo Dametto
                                        IRC- Insuficiencia Renal Cronica
                                        Gilvana Ferreira
                                        Patologia 7EM1 XIX
                                        Melissa Soares Moraes
                                        Inflamação
                                        Maria K Luzzi