Neoplasias de pâncreas e vesícula biliar

Description

Neoplasias de pâncreas e vesícula biliar
Drive Med
Mind Map by Drive Med, updated more than 1 year ago
Drive Med
Created by Drive Med almost 10 years ago
52
0

Resource summary

Neoplasias de pâncreas e vesícula biliar
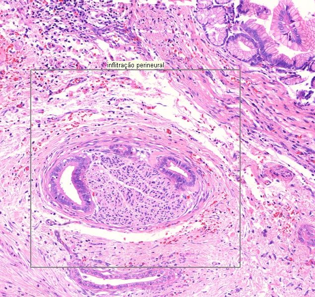
  1. Adenocarcinoma ductal (4210H)
    1. Atipia celular
      1. Infiltração perineural
        1. Desmoplasia
          1. Glândulas com padrão infiltrativo
          2. Neoplasia cística mucinosa (A542)
            1. Estroma ovariano
              1. Epitélio simples com citoplasma mucinoso
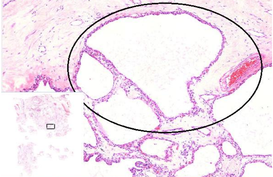
              2. Neoplasia cística serosa (A541)
                1. Epitélio simples sem mucina
                  1. Células com núcleo basófilo e pequeno
                  2. Adenocarcinoma de vesícula (A524)
                    1. Fibrose
                      1. Reação desmoplásica
                      2. Glândulas com padrão infiltrativo
                        1. Alteração arquitetural
                          1. Pleomorfismo
                            1. Núcleos de um mesmo tipo celular tem formas diferentes
                          Show full summary Hide full summary

                          Similar

                          SISTEMA DIGESTÓRIO
                          Cleudineia Martins
                          Patologia do Esôfago
                          Drive Med
                          Patologia do Estômago
                          Drive Med
                          Doenças não-neoplásicas do pâncreas e vesícula biliar
                          Drive Med
                          Neoplasias de cólon e reto
                          Drive Med
                          INFLAMAÇÃO
                          Ketlyn Caroline
                          Patologia Geral - Hipertensão Arterial (Geral)
                          BrienneC
                          QUIZ INTRODUÇÃO A PATOLOGIA GERAL (MONITOR SEVERINO FILHO - FONOAUDIOLOGIA 2016.1)
                          Severino Filho
                          Patologias dos rins
                          Celi cs
                          PATOLOGIAS DO SISTEMA CARDIOVASCULAR
                          Jéssica Severo Dametto
                          IRC- Insuficiencia Renal Cronica
                          Gilvana Ferreira