null
US
Sign In
Sign Up for Free
Sign Up
We have detected that Javascript is not enabled in your browser. The dynamic nature of our site means that Javascript must be enabled to function properly. Please read our
terms and conditions
for more information.
Next up
Copy and Edit
You need to log in to complete this action!
Register for Free
4056905
Neoplasias de fígado
Description
Neoplasias de fígado
No tags specified
neoplasias
fígado
patologia
patologia gastrointestinal
graduação
Mind Map by
Drive Med
, updated more than 1 year ago
More
Less
Created by
Drive Med
almost 10 years ago
45
0
0
Resource summary
Neoplasias de fígado
Carcinoma hepatocelular moderadamente diferenciado com cirrose (A539)
Nódulo tumoral
Mais basofílico (mais azul)
Nódulo cirrótico
Mais claro
Desmoplasia
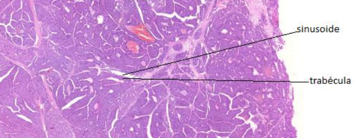
Carcinoma hepatocelular bem diferenciado (A475)
Macrotrabéculas
Necrose
Atipia
Media attachments
c1dc67dc-477c-4975-8309-87105e2a2482 (image/png)
c6f747ea-676b-4205-811a-4df3e0dc7923 (image/png)
Show full summary
Hide full summary
Want to create your own
Mind Maps
for
free
with GoConqr?
Learn more
.
Similar
Doenças não-neoplásicas do fígado
Drive Med
Tumores ósseos
Natassha Katerine Gomes Fernandes
INFLAMAÇÃO
Ketlyn Caroline
Patologia Geral - Hipertensão Arterial (Geral)
BrienneC
QUIZ INTRODUÇÃO A PATOLOGIA GERAL (MONITOR SEVERINO FILHO - FONOAUDIOLOGIA 2016.1)
Severino Filho
Patologias dos rins
Celi cs
PATOLOGIAS DO SISTEMA CARDIOVASCULAR
Jéssica Severo Dametto
IRC- Insuficiencia Renal Cronica
Gilvana Ferreira
Patologia 7EM1 XIX
Melissa Soares Moraes
PATOLOGIA
ㅤㅤELEKTROHD ㅤㅤ
Inflamação
Maria K Luzzi
Browse Library