Doenças não-neoplásicas do fígado

Description

Doenças não neoplásicas do fígado: hepatite viral, hepatite crônica, esteato-hepatite.
Drive Med
Mind Map by Drive Med, updated more than 1 year ago
Drive Med
Created by Drive Med almost 10 years ago
56
0

Resource summary

Doenças não-neoplásicas do fígado
  1. Fígado normal
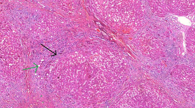
    1. Hepatite crônica viral (A534)
      1. Processo inflamatório
        1. Predomínio de mononucleares no espaço porta ou septos
        2. Necrose acometendo espaços periportais
          1. Fibrose não difusa
            1. Processo irregular
              1. Diferencial de cirrose
            2. Arquitetura parcialmente preservada
              1. Sem nódulos
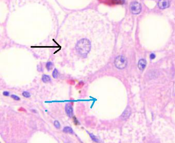
              2. Esteato-hepatite (A502)
                1. Gordura centro-lobular
                  1. Maior parte da gordura próxima ao espaço porta
                  2. Balonização
                    1. Acúmulo de gordura e água nos hepatócitos
                    2. Não há predomínio de fibrose
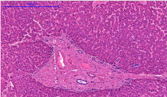
                    3. Hepatite crônica (A536)
                      1. Septos fibrosos
                        1. Predomínio de mononucleares
                          1. Inflamação periportal
                            1. Presença de infiltrado linfocitário no espaço porta ou septos
                          Show full summary Hide full summary

                          Similar

                          Patologia do Esôfago
                          Drive Med
                          Neoplasias de fígado
                          Drive Med
                          INFLAMAÇÃO
                          Ketlyn Caroline
                          Patologia Geral - Hipertensão Arterial (Geral)
                          BrienneC
                          QUIZ INTRODUÇÃO A PATOLOGIA GERAL (MONITOR SEVERINO FILHO - FONOAUDIOLOGIA 2016.1)
                          Severino Filho
                          Patologias dos rins
                          Celi cs
                          PATOLOGIAS DO SISTEMA CARDIOVASCULAR
                          Jéssica Severo Dametto
                          IRC- Insuficiencia Renal Cronica
                          Gilvana Ferreira
                          Patologia 7EM1 XIX
                          Melissa Soares Moraes
                          Inflamação
                          Maria K Luzzi