Bloed

Description

Alg. weefselleer - Bloed en bloedcellen
Chris D1
Mind Map by Chris D1, updated more than 1 year ago
Chris D1
Created by Chris D1 almost 11 years ago
50
0

Resource summary

Bloed
  1. plasma
    1. organische stoffen
      1. anorganische stoffen
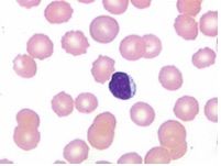
      2. erythrocyten
        1. poikilocytose

          Annotations:

          • varriatie in vorm
          1. anisocytose

            Annotations:

            • variatie in grootte
          2. buffy coat
            1. bloedplaatjes
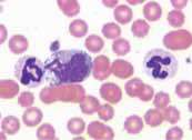
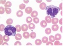
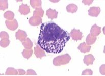
              1. leukocyten
                1. granulocyten

                  Annotations:

                  • de term granulocyt slaat op de aanwezigheid van bepaalde granules.
                  1. neutrofielen

                    Annotations:

                    • eerste verdediging tegen infecties
                    1. primaire granules

                      Annotations:

                      • of azurofiele granules              groter en peroxidase positief
                      1. secundaire granules

                        Annotations:

                        • specifieke granules keiner een geen peroxidaseactiviteit
                      2. eosinofielen
                        1. primaire granules
                          1. secundaire granules

                            Annotations:

                            • lysosomen
                          2. basofielen
                          3. agranulocyten

                            Annotations:

                            • hebben geen granules.
                            1. monocyten
                              1. macrofagen

                                Annotations:

                                • wanneer monocyten de bloedbaan verlaten. 
                              2. lymfocyten
                          Show full summary Hide full summary

                          Similar

                          Bloedsomloop BS 1
                          Mijn Biologie
                          Celbiologie
                          y.gladdines
                          Module 1: The Bigger Picture
                          Ingrid Rip
                          Natuniek
                          e.vanleest
                          immuunsysteem
                          Joris Mol
                          Structuren cel zichtbaar onder microscoop
                          y.gladdines
                          Bloed
                          y.gladdines