Neoplasias

Description

Mind Map on Neoplasias, created by Erick Benitez on 22/06/2022.
Erick Benitez
Mind Map by Erick Benitez, updated more than 1 year ago More Less
Greece Diaz
Created by Greece Diaz about 9 years ago
Erick Benitez
Copied by Erick Benitez over 3 years ago
4
0

Resource summary

Neoplasias
  1. Glía - - - > Deriva del griego cuyo significado era "liga", "unión" o, también, «pegamento». Este tejido fue descrito en 1859 por Rudolf Virchow, quien lo caracterizó como un tipo de cola o pegamento nervioso funcional para las formas de vida.
    1. Células cuya función son el apoyo metabólico, mecánico y como protección de las neuronas - - -> forman en conjunto la neuroglia.
      1. ¿Cuales son las células meningoteliales, dónde se encuentran, que función tienen, características histológicas. - - - >>> Son células planas que tapizan la duramadre, piamadre y aracnoides. Otorgan la mielina al SNC y periférico
        1. Células de Schwann forman el recubrimiento mielinico y amielinico en los axones del SNP. Discurren a lo largo del axón generando interrupciones en la vaina de mieleina llamados Nodos de Ranvier.
          1. Oligodentrocitos son células que generan aislamiento eléctrico y producción de mielina en el SNC.
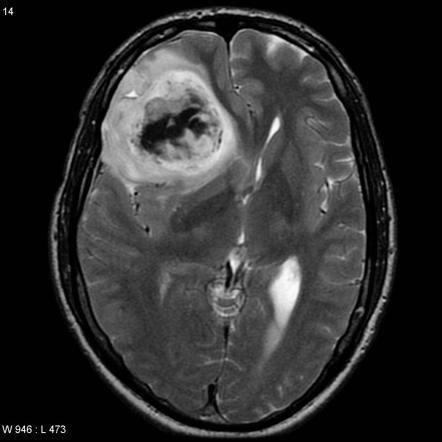
        2. A S T R O C I T O M A
          1. Hay dos categorías principales de tumores astrocitarios:
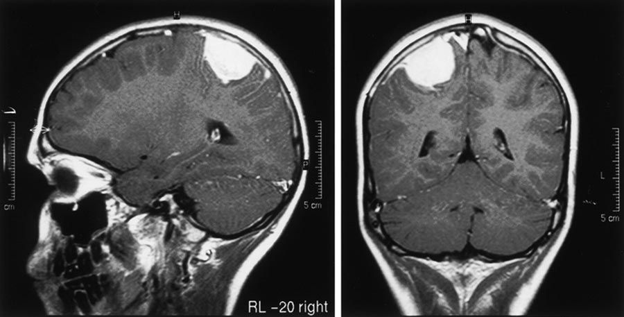
            1. Astrocitomas infiltrantes 80% de los tumores encefálicos primarios del adulto. Principalmente en los hemisferios cerebrales Otras localizaciones - - -> cerebelo, tronco del encéfalo o la médula espinal. Entre la cuarta y la sexta décadas
              1. Signos y síntomas más frecuentes: Crisis comiciales, Cefaleas y Déficits neurológicos focales relacionados con la localización anatómica de afectación
                1. Histologia según la OMS
                  1. Astrocitoma difuso (grado II/IV) Astrocitoma anaplásico (grado III/IV) Glioblastoma (grado IV/IV) El grupo de grado I/IV se limita al astrocitoma pilocítico
                  2. Genética molecular: Hay alteraciones genéticas que se relacionan con la progresión de los astrocitomas infiltrantes.
                    1. Alteraciones más frecuentes en los astrocitomas de bajo grado están: Mutaciones de p53 y sobreexpresión del factor de crecimiento derivado de las plaquetas (PDGF-A) y su receptor
                      1. Alteraciones más frecuentes en los astrocitomas de más alto grado están: Alteración de RB , Alteración p16/CDKNaA y Supresor tumoral putativo desconocido en el cromosoma 19q
                    2. Glioblastomas primarios - - > amplificación de MDM2 , tiene genes del receptor de crecimiento epidérmico (EGFR), aumento de actividad del receptor de tirosina cinasa y a la activación de las vías RAS y PI-3 cinasa. 80-90% tiene combinación de mutaciones que activan RAS y PI3 cinasa, además que inactivan 953 y RB.
                      1. Glioblastomas Secundarios - - - > mutaciones en p53, aumento de señal a través del receptor PDGF-A, aumento de actividad del receptor de tirosina cinasa y a la activación de vías RAS y PI-3 cinasa.
                        1. Pronóstico: muy malo, aunque el uso de los fármacos quimioterápicos más nuevos ha aportado cierto beneficio.
                          1. Tratamiento:
                            1. Se utilizan los inhibidores de la tirosina cinasa que actúan en el EGFR.
                              1. Tratamiento óptimo actual - - > Resección seguida de radioterapia y quimioterapia.
                                1. Media de supervivencia tras el diagnóstico ha aumentado hasta 15 meses; el 25% de los pacientes siguen vivos después de 2 años.
                                  1. La supervivencia se acorta en pacientes ancianos, en aquellos que tienen un estado funcional inferior y en las grandes lesiones inextirpables.
                              2. Características clínicas:
                                1. Astrocitomas infiltrantes dependen de su localización y la velocidad de crecimiento del tumor.
                                  1. Astrocitomas difusos bien diferenciados - - -> pueden permanecer estáticos o progresar lentamente; la supervivencia media supera 5 años. Al final, el deterioro dependerá de la velocidad de crecimiento del tumor y del grado histológico.
                                    1. Estudios radiológicos:
                                      1. Muestran efecto de masa, así como cambios en el encéfalo adyacente al tumor, como edema. Astrocitomas de alto grado - - - > vasos anómalos que están agujereados y por ello muestran refuerzo con contraste en los estudios de imagen.
                              3. OLIGODENDROGLIOMA
                                1. Representan 5-15% de los giomas y son más frecuentes en adultos de edad MEDIA Localizan en sustancia blanca en HEMISFERIOS CEREBRALES
                                  1. Cuadro clínico - - - -> Cefalea, vómitos, compromiso de consciencia, Paresia del Vl par y los demás son dependientes del lóbulo focal afectado.
                                    1. El pronóstico es mejor comparado con astrocitomas de grado similar. Dado que el tratamiento es cirugía, quimioterapia y radioterapia con supervivencia de 5-10 años.
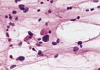
                                      1. Macroscópicamente son tumores predilectos por sustancia blanca, son masas grises, gelatinosas y bien delimitadas, con focos quísticos, focos de hemorragia y calcificación.
                                        1. Microscópicamente: son tumores constituidos por sabanas de células regulares de núcleos redondeados que contienen una cromatina finamente granular, con un halo alrededor claro de citoplasma y situadas en la red capilar. Pueden tener calcificaciones en el90% de los casos, pueden ser masivos.
                                          1. Genética molecular - - - > mutaciones de genes de ISOSITRATO DESHIDROGENASA 1 y 2 presente en el 90% de los oligodendrogliomas y que es de mejor pronóstico. Deleciones del cromosoma 1p y 19q son típicas en el 80%. Alteraciones por pérdida de 9p, 10q y mutaciones CDKN2A.
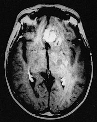
                                    2. MENINGIOMAS
                                      1. Son tumores benignos unidos a duramadre y surgen en células meningoendoteliales de ARACNOIDES, en superficie del cerebro y dentro de los ventrículos donde surgen de células estromales del plexo coroides de aracnoides.
                                        1. Más frecuente en NIÑOS con predominio en MUJERES 10:1
                                          1. Lesiones solitarias o múltiples asociadas a neuromas del acústico o tumores de la glia - - > DX Dif con NF tipo 2
                                            1. Clínica - - -> de progresión lenta con síntomas difusos o signos focales por la compresión
                                              1. Afecta zonas de superficie parasagital de la convexidad cerebral, duramadre en la convexidad lateral, ala del esfenoides, surco olfatorio, silla turca y agujero raquídeo.
                                                1. Puede asociarse con Neurofibromatosis tipo 2 - - - -> Deben ser multiples y asociados a neuromas del acústico o tumores de glia
                                                  1. Expresan receptores de progesterona y crecen rápido durante el embarazo
                                                2. Genética - - -> Alteraciones con pérdida del cromosoma 22q en la región del gen NF2 que codifica la proteína MERLINA. 50-60% son esporádico por varias mutaciones, la falta de MERLINA produce perdida funcional.
                                                  1. Macroscopicamente - - - > son masas redondeadas con una base dura bien definida, que comprime el cerebro, pero separa fácilmente del cerebro. Puede expandirse hasta el hueso adyacente, tiene superficie encapsulada por tejido fibroso delgado y de aspecto polipoideo o aballonado. Puede crecer de forma plana que se extiende a lámina sobre superficie dura con cambios periosticos al hueso.
                                                    1. Meningiomas atípicos Crecimiento local más agresivo, tasas de recidivas más altas. Existencia de 4 o más mitosis por 10 campos de gran aumento, existencia de 3 rasgos atípicos.
                                                      1. Meningiomas anaplásicos (malignos) Tumores muy agresivos Origen en las células meningoteliales Numerosas mitosis.
                                                  2. Patrones histológicos según OMS - - ->
                                                    1. Sincitial o meningotelial por cumulo en espiral de células sin membranas nucleares visibles puestos en grupos densos
                                                      1. Fibroblastrico con células alargadas y abundante colágeno entre ellas
                                                        1. Transicional que comparte características con el sincitial y fibroblastico
                                                          1. Psomomatoso con cuerpos de psomoma que aparentan calcificaciones de nidos tipo sincitio
                                                            1. Microquistico con aspecto esponjoso laxo
                                                              1. Meningiomas atípicos grado lll o lV con crecimiento local agresivo y gran recidiva a pesar de tratamientos - - > mitosis mas de 4 por campo, aumento de relación núcleo-citoplasma, nucléolos grandes, sin patrón de crecimiento y necrosis.
                                                                1. Meningiomas anaplasicos malignos grado lll y lV parecido a sarcoma de alto grado con >20 mitosis por campo
                                                                  1. Meningioma papilar con células pleomorfas puestas en ejes fibrovasculares
                                                                    1. Meningioma Rabdoide con células tumorales con citoplasma hialino eosinofilo con filamentos intermedios
                                                        2. BENITEZ CALANI ERICK EDUARDO
                                                          Show full summary Hide full summary

                                                          Similar

                                                          Efectos en el parénquima cerebral
                                                          Greece Diaz
                                                          Patología del tracto respiratorio superior - NARIZ
                                                          GABRIELA ROSERO BELALCAZAR
                                                          Administración de la compensación
                                                          Cynthia Resendiz
                                                          AndreaRubyQuinteroGarcia
                                                          Andrea Ruby Quintero Garcia
                                                          Neoplasias
                                                          Erick Benitez
                                                          Fundamentos de la Dirección
                                                          Natalia Alejandr2802
                                                          Tx de las Neoplasias
                                                          Victor Tame
                                                          Manifiesto de las bibliotecas publicas 1994 (marco jurídico y financiero)
                                                          tatianah986
                                                          AndreaRubyQuinteroGarcia
                                                          Andrea Ruby Quintero Garcia
                                                          1_1_Fundamentos de la Dirección
                                                          Natalia Alejandr2802
                                                          1_Fundamentos de la Dirección
                                                          Natalia Alejandr2802