Efectos en el parénquima cerebral

Description

Neuropatologia Mind Map on Efectos en el parénquima cerebral, created by Greece Diaz on 18/09/2016.
Greece Diaz
Mind Map by Greece Diaz, updated more than 1 year ago
Greece Diaz
Created by Greece Diaz about 9 years ago
521
0

Resource summary

Efectos en el parénquima cerebral
  1. Neoplasias
    1. lesiones expansivas benignas o cancerosas, cuyas células se multiplican de manera irrestrictiva y forman una masa dentro de la cavidad craneal o raquídea.
      1. Dependiendo de su localización y sus cualidades, entre los mas frecuentes: gliomas, meningiomas y adenomas hipofisiarios.
        1. Pueden ser primarios al originarse del SN que pueden ser benignos o malignos con caracteristicas infiltrativas y proliferativas causando alteraciones funcionales o secundarios por metástasis
          1. Pueden generar alteraciones en algunos de sus 3 componentes: encefalo (1400ml), LCR (140ml) y sangre (150ml)
            1. Si el tumor crece en el encefalo comprime y destruye al parenquima y desplaza al LCR y a la sangre aumentando la presión intracraneal. Si el crecimiento es lento, se da una adaptación con cambios de flujo sanguineo ( el tejido tumoral comprime venulas del tejido adyacente)
              1. Si la adaltación se pierde por completo se da el desplazamiento y manifestaciones de compresion como cefalea, vómitos y edema papilar.
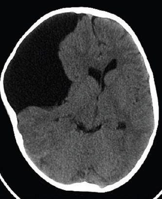
    2. Hemorragias
      1. Por ruptura de vasos arteriales y anomalias vasculares como aneurismas o malformaciones arteriovenosas.
        1. La hemorragia se difunde con rapidez por el espacio subaracnoideo y produce aumento de la presion intracraneal con cefalea, vómitos y alteraciones del Edo de conciencia.
          1. El tejido que sufre privación sanguinea experimenta infarto o necrosis isquemica (zona de ablandamiento o encefalomalacia)
            1. Se produce daño local al parenquima cerebral con afección funcional de dicha zona
              1. Edema Unilateral
                1. Por aumento del liquido en el E.intracelular o extracelular provocando aumento volumétrico del parénquima cerebral
                  1. Vasogéno - - -> extracelular, alteracion de BHE, localizado por tumor o absceso, generalizado por microcirculación, extravasación de agua, predomina en sustancia blanca..
                    1. Citotóxico - - -> intracelular, por isquémia e hipóxia o intoxicación farmacologica (dinitrofenol, hexaclorofeno e isoniazida), altera la membrana celular pero preserva BHE, mas frecuente en sustancia gris.
                      1. Intersticial - - -> extravasación de LCR de sustancia blanca perivascular a espacio extracelular, en hidrocefalia, hiponatremia, isquemia, EVC o TCE
                      2. HERNÁNDEZ DÍAZ DE LEÓN GRECIA
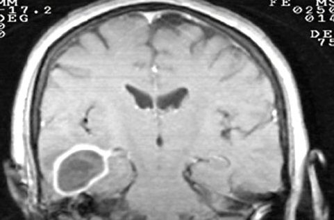
        2. QUISTES
          1. Son colecciones de líquido cefalorraquídeo que pueden estar dentro del cerebro, quistes intracerebrales, o fuera del cerebro, quistes aracnoideos.
            1. Pueden ser congenitos o adquiridos después del nacimiento, generalmente debidos a tumores o parásitos.
              1. Dependeran de su tamaño para ver los efectos en el parénquima, pueden ocupar gran espacio y generar desplazamientos que se vuelven compresivos oara tejidos adyacentes como cerebelo, hipofisis, nervios craneales, alterar la circulación del LCR, etc.
                1. Si son de origen infeccioso puede darse infiltrado celular, alterar el movimiento de móleculas y restringir la difusión y alterar la perfusión generando daño en el tejido.
                  1. ABSCESOS: proceso supurativo focal, secundaria a la diseminación de un foco infeccioso distante
                    1. triada clásica de cefalea, fiebre y déficit focal
                      1. Al cruzar la BHE se liberan citocinas que producen reblandecimiento (cerebritis) que se necrosa y genera material purulento, despu´pes se da proliferación fibroblastica dando el absceso con necrosis central, inflamacion adyacente, edema y gliosis alrededor.
          2. Actividad 4
            Show full summary Hide full summary

            Similar

            PREGUNTAS DE SELECCION MULTIPLE VARIAS RESPUESTAS
            pfernandezglafaye
            Neoplasias
            Greece Diaz
            Patología del tracto respiratorio superior - NARIZ
            GABRIELA ROSERO BELALCAZAR
            Células de la macroglia y microglia
            Greece Diaz
            EVC 1
            Greece Diaz
            Tx de las Neoplasias
            Victor Tame
            Neoplasias
            Erick Benitez
            Neoplasias
            Erick Benitez
            Hemorragia
            Claudia Gonzalez