AVALIAÇÃO TEÓRICA 13 DE MARÇO

Description

Simulado da Residência de Clínica Médica do HBDF
Residencia CM HBDF
Quiz by Residencia CM HBDF, updated more than 1 year ago
Residencia CM HBDF
Created by Residencia CM HBDF over 9 years ago
362
5

Resource summary

Question 1

Question
Dentre as doenças intersticiais pulmonares abaixo, aquela com apresentação predominantemente crônica é:
Answer
  • Pneumonia Eosinofilica
  • Pneumonite por Hipersensibilidade
  • Pneumonia Organizante Criptogênica
  • Fibrose Pulmonar Idiopática

Question 2

Question
Paciente com diagnóstico de coronariopatia ja abordada por angioplastia com stent convencional em CD ha 5 anos, hipertenso, diabético, apresenta teste ergométrico com infradesnivelamento de ST-T de 4mm em parede anterior e esta programando nova avaliação por coronariografia. Seu LDL colesterol é de 110mg/dL, neste caso a melhor conduta seria:
Answer
  • Iniciar sinvastatina
  • Otimizar mudanças no estilo de vida
  • Iniciar atorvastatina
  • Iniciar benzofibrato

Question 3

Question
Paciente feminina, de 20 anos, com história de etilismo prévio e diagnóstico de Depressão há 2 dias, quando foi iniciado tratamento com venlafaxina. É trazida ao Pronto Socorro pelo namorado com quadro de agitação, confusão mental, febre e diarréia iniciados há 12 horas. Ao exame físico foi observado ainda rigidez muscular e mioclonia. Qual o diagnóstico mais provável:
Answer
  • Intoxicação por álcool e metilenodioximetanfetamina
  • Síndrome Neuroléptica Maligna
  • Síndrome Serotoninérgica
  • Diarréia Infecciosa

Question 4

Question
Paciente de 25 anos, apos quadro de diarréia auto-limitada prévia dá entrada no PS com quadro de perda de força ascendente, diminuição dos reflexos tendinosos e sensação de formigamento nas pernas. o exame do líquor mostra importante proteinorraquia com celularidade normal. Considerando-se a principal hipótese podemos afirmar que:
Answer
  • Cerca de 80% apresentam parestesia de mãos e pés associada a fraqueza
  • Alteração de sensibilidade é comum, sendo mais facilmente diagnosticada testando-se a sensibilidade tátil
  • Na fase aguda a apresentação com dorsalgia é rara e deve sugerir diagóstico diferencial mais amplo
  • A presença de disautonomia é infrequente, mas confere pior prognóstico neurológico

Question 5

Question
Um homem de 28 anos iniciou há 1 semana com odinofagia, febre constante de 38 graus, mialgia, cefaleia. Percebeu também a presença de úlceras na mucosa oral. Relata relações sexuais desprotegidas e uso de drogas intravenosas por seringas compartilhadas. Realizou anti-HIV há 06 meses, que foi negativo. Considerando-se a epidemiologia e a principal hipótese diagnóstica, dentre as abaixo, a alternativa que descreve os resultados mais prováveis de exames para confirmação nesta fase seria:
Answer
  • Teste de segunda geração positivo e ELISA positivo para HIV
  • Teste de 2º geração positivo CD4 < 300 e CV > 100.000 cópias
  • Teste de 4º geração positivo, sorologia negativa e RNA positivo
  • Sorologia HIV positiva e CV < 100.000 cópias

Question 6

Question
Sobre as estratégias para redução da progressão da disfunção renal assinale a alternativa correta:
Answer
  • A restrição dietética da ingestão proteica é importante na diminuição da hiperfiltração glomerular, recomendando-se uma média de 0,8mg/Kg/dia de proteínas na dieta para os pacientes com clearence menor que 60mL/min
  • O tratamento da acidose metabólica com reposição de bicarbonato em pacientes com clearence menor que 30mL/min pode estar associado a um retardo na entrada do paciente em diálise
  • Suplementação de cálcio em pacientes com 30mL/min, pois auxilia na manutenção da saúde óssea e previne o paciente para síndrome de realimentação, que é um risco associado à desnutrição secundária restrição proteica mesmo em infusões apenas de glicose
  • No tratamento da anemia da doença renal crônica terminal a reposição de ferro é desnecessária, visto a ferritina estar invariavelmente elevada, em virtude da baixa utilização dos estoques de ferro pela carência de eritropoetina.

Question 7

Question
O termo "síndrome cardiorenal" é aplicado interações desfavoráveis entre a disfunção cardíaca e a fisiologia renal, sobre esta síndrome podemos afirmar, exceto:
Answer
  • Engloba situações onde a insuficiência cardíaca aguda causa insuficiência renal aguda e também onde a insuficiência renal aguda causa insuficiência cardíaca aguda
  • Geralmente a disfunção renal crônica secundária à insuficiência cardíaca crônica grave ocorre, inicialmente, por alterações neuro-humorais da hemodinâmica renal secundárias ao baixo débito cardiaco
  • Pode ser relacionada a doenças secundárias agudas ou crônicas, que afetem simultaneamente as funções cardíaca e renal
  • Pacientes com coronariopatia secundária à doença renal crônica não podem ser classificados dentro desta síndrome

Question 8

Question
Em relação a restrição de sódio na dieta, não é correto afirmar que:
Answer
  • A restrição de sal na dieta indicada é no máximo 5g ao dia
  • Pacientes negros são menos sensíveis a medida de restrição de sódio na dieta do que brancos
  • A restrição de sódio na dieta melhora o efeito anti-hipertensivo dos IECA
  • A restrição do consumo de sódio na dieta de pacientes com IRC e proteinúria em uso de IECA tem efeito significativo no controle da PA e redução da proteinúria

Question 9

Question
Em relação a apresentação clínica de pacientes com Depressão podemos afirmar , EXCETO:
Answer
  • Insônia, fadiga e dor crônica são considerados sinais de alerta e sugerem investigação do diagnóstico de depressão
  • Gestantes e idosos podem se manifestar com sintomas predominantemente somáticos e por isso dificultar o diagnóstico de Depressão
  • A marcante liberação de hormônios anorexígenos faz com que os pacientes não apresentem ganho de peso.
  • Deve-se reservar avaliação por neuroimagem para os pacientes com suspeita de lesão estrutural e idosos com Depressão de início recente.

Question 10

Question
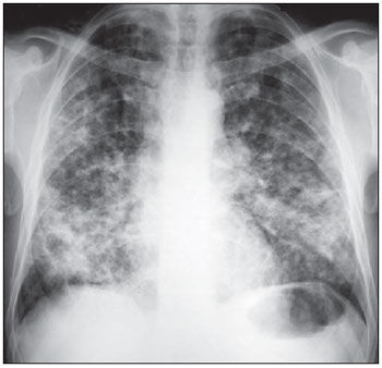
Paciente de 45 anos, diabético, hipertenso e com diagnóstico de bronquite crônica e bronquiectasias em pulmão direito, com tosse produtiva ha 5 anos, apresentando há dois meses febre baixa, piora da dispneia, alteração da purulência e quantidade de escarro, que agora tem odor extremamente pútrido. Sua radiografia de tórax é mostrada abaixo. A baciloscopia de escarro e o PCR para BK foram negativos A melhor opção antibiótica inicial, dentre as abaixo é:
Answer
  • Ampicilina + sulbactan
  • Clindamicina
  • Piperacilina + tazobactan
  • Cefepime

Question 11

Question
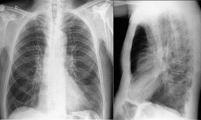
Identificação: LF, 67 anos, masculino, casado, pintor de carros aposentado, procedente de Sobradinho-DF. Queixa Principal: Tosse, falta de ar e febre há 2 dias. HDA: Tosse com expectoração esbranquiçada há dois anos, com piora progressiva. O quadro acompanhava-se de falta de ar aos esforços e chiado no peito esporádico. Em seguimento ambulatorial com diagnóstico espirométrico de DPOC, fazia uso irregular da medicação e não cessou o tabagismo. Há seis meses refere piora da tosse, que se tornou mais persistente e com pouca expectoração mucosa. Relata piora da tosse, com expectoração amarelada e febre não aferida há 2 dias. Antecedentes pessoais: Refere HAS, dislipidemia e cardiopatia. Nega DM e passado de TB; Antecedentes familiares: Pai falecido por IAM aos 50 anos, mãe e irmãos vivos e hígidos; Medicações em uso: anlodipino 10 mg/dia, AAS 100 mg/dia e sinvastatina 20 mg/dia. Hábitos de vida: Tabagista de 50 anos/maço; ex-etilista de fermentados aos finais de semana. Exame físico:Bom estado geral, desperto, orientado, corado, dispneico, acianótico, anictérico, febril. FC=82 bpm, PA=120x70 mmHg, Tax=38,6 ºC, FR=26 irpm, SatO2 86% em ar ambiente. Ritmo cardíaco regular em dois tempos, bulhas hipofonéticas Tórax com aumento do diâmetro antero-posterior, murmúrio vesicular diminuído e presença de raros sibilos. Crepitações grossas difusas, crepitações finas em base esquerda. Abdome normotenso, indolor, sem visceromegalias palpáveis, ruídos hidroaéreos presentes. Extremidades com pulsos periféricos presentes e simétricos, sem edemas. Gasometria arterial: pH 7,30 PaO2 56 mmHg SatO2 85% em ar ambiente PaCO2 52 mmHg HCO3 26mEq/L AG: 20 BE -4. Laboratório: Hematócrito: 47,5% Hemoglobina: 15,6g/dL Leucometria: 15700 (10% bastões) Plaquetas: 280.000 Creatinina: 1,5 mg/dL Potássio: 4,2 mEq/L Sódio: 138 mEq/L Glicemia: 94 mg/dL Conduta inicial: Iniciado O2 suplementar pormáscara de Venturi 30%, 15L/min. Nebulização com 10 gotas de berotec e 20 de atrovent. Hidrocortisona 200 mg, endovenosa. Colhidas hemoculturas e escarro para gram e cultura. Persistiu com sintomas inalterados após as medidas iniciais. A baciloscopia de escarro e o PCR para BK foram negativos. A melhor opção antibiótica inicial, dentre as abaixo é:
Answer
  • Ampicilina + sulbactan
  • Clindamicina + Ceftriaxona
  • Piperacilina + tazobactan + azitromicina
  • Cefepime

Question 12

Question
Ainda sobre o caso acima, a melhor estratégia ventilatória na sequencia do atendimento seria:
Answer
  • Ventilação Pulmonar Invasiva
  • Máscara não reinalante
  • Ventilação pulmonar não invasiva, CEPAP
  • Ventilação pulmonar não invasiva, BIPAP

Question 13

Question
Ainda sobre o caso acima, a melhor interpretação para a gasometria seria:
Answer
  • Acidose respiratória crônica agudizada com hipoxemia
  • Acidose mista com com hipoxemia
  • Acidose respiratória aguda com hipoxemia
  • Acidose metabólica de âniom gap elevado com hipoxemia

Question 14

Question
Paciente de 25 anos, previamente hipertenso em uso exclusivo de clortalidona, já tendo sido extensamente investigado para HAS secundária, sem nenhuma causa identificável morador da Asa Norte, com história de há 2 meses ter feito viagem para o interior de Minas Gerais, onde se hospedou na fazenda de um amigo, retorna com quadro de adenomegalia cervical, de crescimento lento e progressivo, associando-se nos últimos dias a astenia importante, com piora há 24 horas com surgimento de icterícia e coluria. Apresenta-se à consulta com hipotensão arterial e sonolência importante. Seu exame clínico mostra: Icterícia, adenomegalia cervical, axilar e inguinal. PA: 80x50mmHg, FC: 110bpm, FR: 24irpm, Tax: 36,8ºC, SatO2; 95% (AA) Murmúrio vesicular universalmente audível. Ritmo cardíaco regular em dois tempos sem sopros. Abdome com moderada hepatoesplenomegalia, cicatriz de apendicectomia prévia, de tonalidade amarronzada. Membros sem alterações. Hemoglobina: 8,4; Plaquetas: 155.000; Leucograma: 6000 leucócitos com 30% de eosinófilos. Na: 124mEq/L K: 4,0mEq/L Glicose: 60mg/dL Ureia: 45mg/dL Creatinina: 1,2mg/dL. A melhor conduta para este caso seria:
Answer
  • Reposição de glicose, hidratação vigorosa, corticoide, antifúngico.
  • Antibiótico de largo espectro, hidratação vigorosa e ventilação não invasiva
  • Antibiótico de largo espectro hidratação apenas com salina a 3% para correção do sódio
  • Hidratação vigorosa, transfusão de hemácias e correção do sódio

Question 15

Question
O melhor diagnóstico para o ECG acima é:
Answer
  • Pericardite aguda
  • Fibrilação Atrial
  • Tamponamento cardíaco
  • Bigeminismo
Show full summary Hide full summary

Similar

Sistema Cardiovascular: Artérias, Veias e Capilares
Natália Abitbol
Anatomia: sistema esquelético I
Natália Abitbol
Processo de Cicatrização
Letícia Silva
Anatomia Artérias
Filipe Brito
Regras NBRs
Maria Clara Oliveira
Anatomia membro inferior - Ossos, acidentes e movimentos
vitorstoco
SIMULADO - Casos Clínicos
Rodrigo Gouvea
Avaliação das Necessidades de Treinamento
miriampgoliveira
Gestão de Pessoas: 6 dicas para ser mais eficiente
Liliane Tubino
DESENVOLVIMENTO EMBRIONÁRIO
Vanessa Palauro
Escala de Coma de Glasgow
Vanessa Palauro