null
US
Sign In
Sign Up for Free
Sign Up
We have detected that Javascript is not enabled in your browser. The dynamic nature of our site means that Javascript must be enabled to function properly. Please read our
terms and conditions
for more information.
Next up
Copy and Edit
You need to log in to complete this action!
Register for Free
1024404
Week 2
Description
Anatomy Quiz on Week 2, created by Melanie Galloway on 22/06/2014.
No tags specified
anatomy
Quiz by
Melanie Galloway
, updated more than 1 year ago
More
Less
Created by
Melanie Galloway
over 11 years ago
112
0
0
Resource summary
Question 1
Question
In relation to the nose, the ear lies:
Answer
Ventromedial
Craniocaudal
Superomarginal
Parasagittal
Posterolateral
Question 2
Question
Elastin:
Answer
a. Is composed of proteoglycans
b. Is produced by elastoblasts
c. Allows tissues to stretch and contract
d. Has high tensile strength
e. Can be seen in the light microscope with H&E staining
Question 3
Question
Identify the INCORRECT statement. Dense regular connective tissue:
Answer
a. Is found in ligaments
b. Resists stretch in a single plane
c. Is found in tendons
d. Is found in the dermis of the skin
e. Contains fibroblasts
Question 4
Question
Identify the INCORRECT answer. Tight junctions:
Answer
a. Control the permeability of epithelia
b. Are continuous belts of interlocking junctional proteins around the circumference of epithelial cells
c. Allow the movement of ions and small molecules between adjoining cells
d. Are involved in maintenance of the blood-retinal barrier
e. Are found only between epithelial (incl. endothelial) cells
Question 5
Question
Bone is removed by:
Answer
a. Osteoblasts
b. Fibroblasts
c. Fibrocytes
d. Osteoclasts
e. Osteocytes
Question 6
Question
The resolution of the light microscope is about:
Answer
a. 0.002 m
b. 0.2 mm
c. 2.0 µm
d. 0.2 µm
e. 2.0 nm
Question 7
Question
Identify the CORRECT statement.
Answer
a. Tendons contain substantial amounts of microtubules
b. Tendons are a form of dense irregular connective tissue
c. Tendons are avascular
d. Tendons contain substantial amounts of collagen fibres
e. Tendons contain substantial amounts of elastic fibres
Question 8
Question
Identify the INCORRECT answer. The tarsal conjunctival epithelium:
Answer
a. Is held together by desmosomes
b. Sits on top of an acellular basal lamina
c. Is a keratinised stratified columnar epithelium
d. Contains many goblet cells
e. Contains nerve endings
Question 9
Question
Embryologically, epithelial tissue is derived ONLY from:
Answer
a. Ectoderm, pachyderm and endoderm
b. Ectoderm
c. Mesoderm, endoderm and ectoderm
d. Epiderm, ectoderm and scleroderm
e. Mesoderm and ectoderm
Question 10
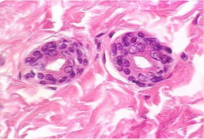
Question
The epithelium seen in these ducts would be classified as:
Image:
Screen_Shot_2014-06-22_at_3.18.06_pm (image/png)
Answer
a. Pseudostratified columnar
b. Simple columnar
c. Keratinised stratified squamous
d. Simple squamous
e. Stratified cuboidal
Show full summary
Hide full summary
Want to create your own
Quizzes
for
free
with GoConqr?
Learn more
.
Similar
The structure of the heart
rachel_w
4. The Skeletal System - bones of the skull
t.whittingham
Neuro anatomy
James Murdoch
The Circulatory System
mimtasin afra
Renal System A&P
Kirsty Jayne Buckley
The structure of the Heart, AS Biology
mill-bill
Respiratory anatomy
James Murdoch
Unit 4: The Respiratory and Circulatory Systems
Cath Warriner
1. Anatomy & Physiology of the Ear
t.whittingham
Unit 4: Respiratory and Circulatory System
Cath Warriner
Respiration
Sarita Saha
Browse Library