null
US
Sign In
Sign Up for Free
Sign Up
We have detected that Javascript is not enabled in your browser. The dynamic nature of our site means that Javascript must be enabled to function properly. Please read our
terms and conditions
for more information.
Next up
Copy and Edit
You need to log in to complete this action!
Register for Free
11532083
Tissu lymphoïde & tissu sanguin
Description
Quiz on Tissu lymphoïde & tissu sanguin, created by Marine L on 23/11/2017.
No tags specified
histology
lab
microscopie
master 2 (5th year)
Quiz by
Marine L
, updated more than 1 year ago
More
Less
Created by
Marine L
almost 8 years ago
81
0
0
Resource summary
Question 1
Question
Identifiez le typede cellules ainsi que l'organe ds lequel on se trouve (en h à g).
Image:
Lieberkhün (binary/octet-stream)
Answer
Intestin
plasmocyte
plasmocyte
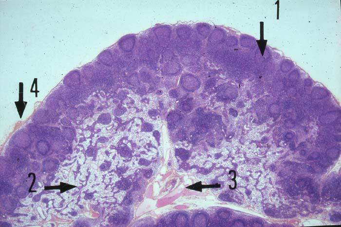
Question 2
Question
Indiquer dans quel organe on se trouve (en h à g), l'unité structurelle de cet organe (en h à d) ainsi que les structures pointées.
Image:
Thymus (image/jpeg)
Answer
thymus
lobule thymique
médulla
cortex
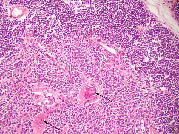
Question 3
Question
Identifiez les structures pointées ainsi que l'organe dans lequel on se trouve (en h à g). (milieu haut = petites structures rondes)
Image:
Thymus Fort Grossissement (image/jpeg)
Answer
thymus
corpuscule de Hassal
lymphocytes
cellules épithéliales
Question 4
Question
Identifiez l'organe dans lequel on se trouve (en h à g) ainsi que les structures pointées.
Image:
17 01 (image/jpeg)
Answer
centre germinatif
cortex B-dépendant
paracortex T dépendant
cordon médullaire
sinus médullaire
manteau
capsule
ganglion lymphatique
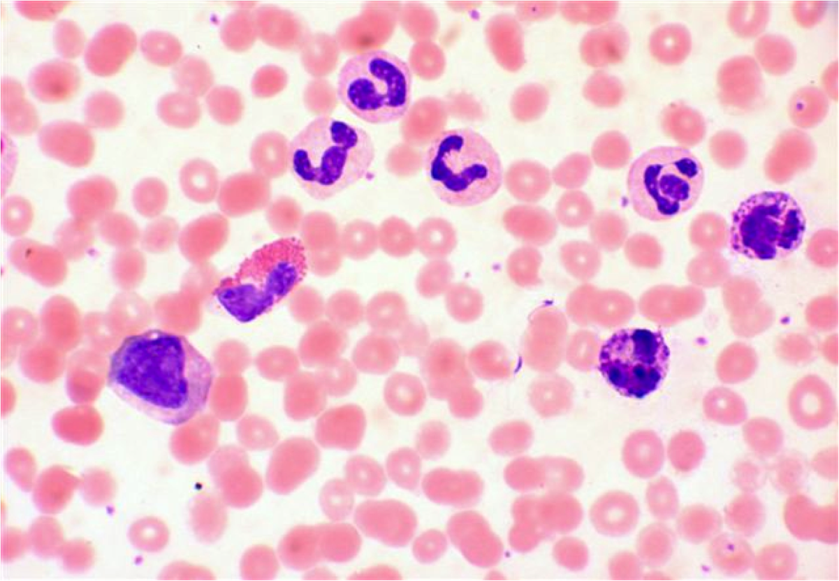
Question 5
Question
Identifier où l'on se trouve (en h à g) ainsi que les structures pointées.
Image:
Blood Connective Tissue1361919660040 (image/png)
Answer
tissu sanguin
éosinophile
neutrophile
basophile
globule rouge
plaquette
monocyte
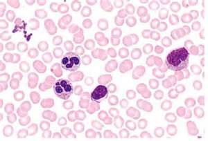
Question 6
Question
Identifier les structures pointées ainsi que là où l'on se trouve. (en h à g)
Image:
Th?Id=Oip.Xn3 Uql Rqn7 Y Hqhgyy8dkdg Es Dm&Pid=15 (image/jpeg)
Answer
tissu sanguin
monocyte
lymphocyte
neutrophile
globule rouge
Show full summary
Hide full summary
Want to create your own
Quizzes
for
free
with GoConqr?
Learn more
.
Similar
Epithélium de revêtement
Marine L
Système Lymphoïde - Histologie Spéciale
Marine L.
Système Tégumentaire - Histologie Spéciale
Marine L
Système Vasculaire - Histologie Spéciale
Marine L
Tissu lymphoïde
Marine L
Tissu musculaire
Marine L
Tissu sanguin
Marine L
Histology- Connective Tissue PMU 1st Year
Med Student
Major Tissue Types
adaezelechi
Anatomy Microscope Slides 2nd Test PMU 2nd Year
Med Student
Connective Tissue Long Ans. Questions Histology MCQ 1st Year PMU
Med Student
Browse Library