null
US
Sign In
Sign Up for Free
Sign Up
We have detected that Javascript is not enabled in your browser. The dynamic nature of our site means that Javascript must be enabled to function properly. Please read our
terms and conditions
for more information.
Next up
Copy and Edit
You need to log in to complete this action!
Register for Free
15215001
Anatomy: Histology Slides Test 1 2nd Year Semester 1 PMU
Description
Anatomy Histology Slides Test 1 2nd Year Semester 1
No tags specified
anatomy histology slides test 1 2nd year semester 1
anatomy
organs
pictures
pmu
plovdiv
anatomy
Quiz by
milky the way
, updated more than 1 year ago
More
Less
Created by
Med Student
about 9 years ago
Copied by
milky the way
about 7 years ago
22
0
0
Resource summary
Question 1
Question
Label this Image.
Image:
dac2c85b-f5e9-423f-ab3a-9e91e0dd3a58 (image/jpeg)
Answer
Artery and vein of muscular type
Question 2
Question
Label this image and staining.
Image:
e13c6da0-a2d2-4af0-91bd-f73d3879e060 (image/jpeg)
Answer
Aorta
Orcein
Question 3
Question
Label this image
Image:
1e9ba789-4164-491b-a410-f0a1fae9c3c9 (image/jpeg)
Answer
Heart
Question 4
Question
Label this image.
Image:
c704d11d-0ec6-444f-908f-80d32010f893 (image/jpeg)
Answer
Capillaries
Question 5
Question
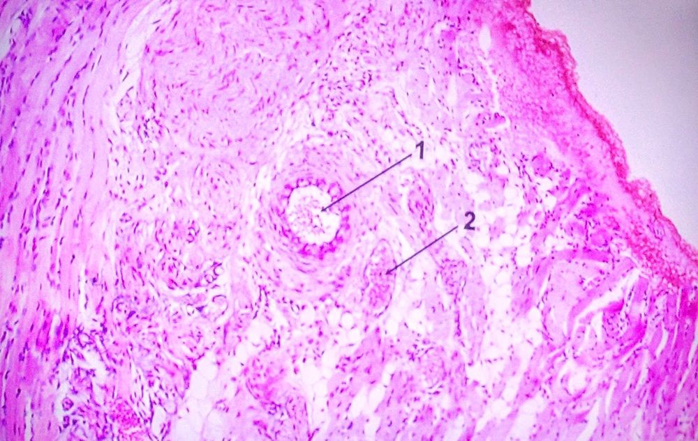
Label this Image.
Image:
3e913b80-9bde-43a0-a185-2f9457d34112 (image/jpeg)
Answer
Arteriole
Venule
Arteriole Venule and capillaries
Question 6
Question
Label this image
Image:
8901a2bc-c7a0-4c65-8e2b-c87f139c1b3e (image/jpeg)
Answer
Bone Marrow
Question 7
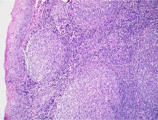
Question
Label this image
Image:
dac35ad3-6c06-4446-90b7-a84c2cc12377 (image/jpeg)
Answer
Lymph Nodes
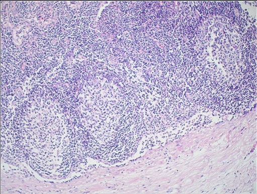
Question 8
Question
Label this image
Image:
88ba1779-3d70-4e37-86b3-21b2ff592954 (image/jpeg)
Answer
Spleen
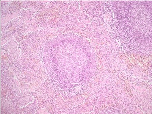
Question 9
Question
Label this image
Image:
2b3c217b-b736-41d9-8396-2e279e9243f6 (image/jpeg)
Answer
Thymus
Question 10
Question
Label this image
Image:
b3eefebb-49dc-47b8-bc6b-0334a1c16f94 (image/jpeg)
Answer
Tonsils
Question 11
Question
Label this image
Image:
87542dd6-4378-4154-9666-b79fd619ab02 (image/jpeg)
Answer
Nasal Mucosa
Question 12
Question
Label this image
Image:
b4439d2d-b3c1-45d2-abc1-78a148128cc7 (image/jpeg)
Answer
Epiglottis
Question 13
Question
Label this image
Image:
ad78e57e-a04f-433e-a81c-6285f71d6cc4 (image/jpeg)
Answer
Embryonic Lung
Question 14
Question
Label this image
Image:
8f9c7629-c4da-47ad-a96d-1da970040cdc (image/jpeg)
Answer
Adult Lung
Question 15
Question
Label this image
Image:
697e074b-47db-4691-9253-2ed30f93a15b (image/png)
Answer
Capillary
Question 16
Question
Label this image
Image:
feec73f3-d523-4804-b109-732b5e915be5 (image/jpeg)
Answer
Fenestrated Capillary
Question 17
Question
Label this image
Image:
2d2902df-e3a9-407e-af4d-ced1dd9480cf (image/jpeg)
Answer
Barrier between blood and air
Question 18
Question
Label this image
Image:
05938eb9-7430-4c82-8e0e-4fe5a01e9456 (image/png)
Answer
Alveocyte type 2
Question 19
Question
Label this image
Image:
6eab701b-937a-42dc-b62a-6f0c7af02a99 (image/png)
Answer
Haemothymic Barrier
Question 20
Question
Label this Image
Image:
366f3e73-8828-4316-a4fe-57621ef1b113 (image/jpeg)
Answer
Trachea
Show full summary
Hide full summary
Want to create your own
Quizzes
for
free
with GoConqr?
Learn more
.
Similar
Biochemistry MCQ Exam 1- PMU 2nd Year
Dilawar H.
General Physiology of the Nervous System Physiology PMU 2nd Year
milky the way
Respiratory System 2nd Year PMU Anatomy
milky the way
Name the Vitamin-Biochemistry Exam 1 PMU 2nd Year
milky the way
Biochemistry MCQs Exam 2- PMU 2nd Year
Dilawar H.
Biochemistry MCQ Exam 1- PMU 2nd Year
milky the way
Cell Physiology and General Physiology of Excitable Tissues- Physiology PMU 2nd Year
milky the way
Biochemistry MCQ Exam 1- PMU 2nd Year
milky the way
Respiratory System Long Qs. PMU Anatomy 2nd Year
milky the way
The Gastrointestinal System- Physiology- PMU
milky the way
Anatomy2 - Colloq1 - Histology Slides
milky the way
Browse Library