null
US
Sign In
Sign Up for Free
Sign Up
We have detected that Javascript is not enabled in your browser. The dynamic nature of our site means that Javascript must be enabled to function properly. Please read our
terms and conditions
for more information.
Next up
Copy and Edit
You need to log in to complete this action!
Register for Free
7346245
Anatomy - Chapter 8A
Description
C&T spine
No tags specified
merrill
merrill's
rad
radiology
rad tech
radiology technology
radtech
c-spine
t-spine
cervical
thoracic
xray
x-ray
radtech
anatomy
Quiz by
Korie Hi
, updated more than 1 year ago
More
Less
Created by
Korie Hi
about 9 years ago
110
1
1
Resource summary
Question 1
Question
Label the image
Image:
abd3df61-bcf9-477c-b632-e00a5f6413af (image/png)
Answer
occipital bone
occlusal surface of teeth
dens
mandibular ramus
lateral mass of atlas
inferior articular process of atlas
spinous process of axis
Question 2
Question
Label the image
Image:
6f372c5e-5005-4f0f-ba2b-b7f38f13a390 (image/png)
Answer
C4
occipital bone
intervertebral disk space
spinous process
C7
Question 3
Question
Label the image
Image:
449623c7-7518-4f29-a98f-4c2bec32fa04 (image/png)
Answer
C5
mandibular rami
body
inferior articular process
superior articular process
intervertebral disk space
zygapophyseal joint
vertebra prominens
Question 4
Question
Label the image
Image:
49dee6a4-197d-4939-8ed5-36dae32073d2 (image/png)
Answer
C3
C6
intervertebral foramen
pedicle
intervertebral disk space
first rib
Question 5
Question
Label the image
Image:
3b7809f7-7745-47c7-9b27-fdeba48448d4 (image/png)
Answer
C4
C7
first rib
spinous process
lateral mass
dens
Question 6
Question
Label the image
Image:
c9d1bb70-4667-4516-af2c-56dc562f0a16 (image/png)
Answer
C6
T1
T4
humerus
clavicle
clavicle
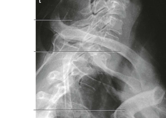
Question 7
Question
Label the image
Image:
b5fc1fe8-7257-40a5-a9f4-3156bd34df82 (image/png)
Answer
first rib
T3
transverse process
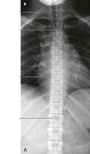
T12
Question 8
Question
Label the image
Image:
6997ed74-4840-46be-9cf2-8bb13a57ad5b (image/png)
Answer
T5
T11
L1
intervertebral disk space
vertebral body
intervertebral foramen
twelfth rib
Show full summary
Hide full summary
Want to create your own
Quizzes
for
free
with GoConqr?
Learn more
.
Similar
The structure of the heart
rachel_w
4. The Skeletal System - bones of the skull
t.whittingham
Neuro anatomy
James Murdoch
The Circulatory System
mimtasin afra
Renal System A&P
Kirsty Jayne Buckley
The structure of the Heart, AS Biology
mill-bill
Respiratory anatomy
James Murdoch
Unit 4: The Respiratory and Circulatory Systems
Cath Warriner
1. Anatomy & Physiology of the Ear
t.whittingham
Unit 4: Respiratory and Circulatory System
Cath Warriner
Respiration
Sarita Saha
Browse Library