Revisão para prova de LMF / Módulo de Dispneia (2025.1)

Description

Medicina Flashcards on Revisão para prova de LMF / Módulo de Dispneia (2025.1), created by Maria Luiza Barbará on 16/03/2025.
Maria Luiza Barbará
Flashcards by Maria Luiza Barbará, updated 8 months ago
Maria Luiza Barbará
Created by Maria Luiza Barbará 8 months ago
9
0

Resource summary

Question Answer
O que é derrame pleural? Acúmulo excessivo de líquido no espaço pleural, que pode ser visceral ou parietal.
Quais são as causas de derrame pleural? Causas incluem insuficiência cardíaca, cirrose hepática, síndrome nefrótica, infecções, câncer e hemorragias.
Quais são os sintomas de derrame pleural? Dispneia, tosse seca, dor torácica pleurítica e trepopneia.
Como é feito o diagnóstico de derrame pleural? Através de exames de imagem como raio X e tomografia, além de toracocentese.
O que são os critérios de Light? Critérios usados para diferenciar transudato de exsudato com base em proteínas e LDH.
O que é acidose respiratória? Condição em que o pH é menor que 7,35 devido ao aumento do PCO2 ou diminuição de HCO3.
Quais são os sinais radiológicos de derrame pleural? Opacificação do espaço pleural, sinal do menisco, deslocamento do diafragma e fissuras pleurais.
O que é o sinal do broncograma aéreo? Visibilidade das vias aéreas devido à consolidação do pulmão.
Quais são as características do padrão reticular? Rede de linhas finas representando alterações no tecido intersticial, comum em doenças intersticiais.
Quais são os achados clínicos no exame físico de derrame pleural? Macicez à percussão, redução do movimento respiratório e ausência de frémito toracovocal.
Quais são as causas comuns de acidose metabólica? Diarreia, acidose tubular renal, cetoacidose diabética.
O que é o sinal da silhueta? Perda da definição de uma estrutura devido à consolidação ou massa.
Sintomas do derrame pleural Dispneia, tosse seca, dor torácica (pleurítica) e trepopneia
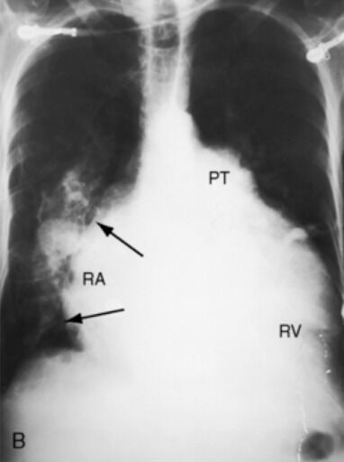
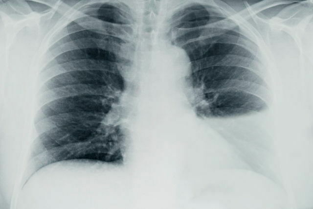
O que esse raio x sugere e quais são as os sinais presentes? Derrame pleural; Imagem em menisco, parabola de Demousiau, opacificação do espaço pleural, deslocamento do diafragma, imagem em menisco, fissuras pleurais e leve deslocamento do mediastino.
Como é feito o diagnóstico do derrame pleural? 1)Anamnese e exame físico 2)Exames complementares que possam confirmar a suspeita: -Raio X de tórax (PA, perfil e Lawrell) -TC de tórax 3)Toracocentese -Lâmina > 1 cm = no olho (+300ml) -Lâmina < 1 cm = USG de tórax
Quais são os critérios de Light? Proteína <=0,5 (t) >0,5 (e) LDH <=0,6 (t) >0,6(e) Inconclusivo -> LDH 2/3 acima do limite
Resultados de exsudato sugerem quais diagnósticos? e os de transudato? -Exsudato: Inflamações, infecções (câncer, infecções pleurais, derrames parapneumônicos) -Transudato: Causas sistêmicas e descompensação (IC, cirrose hepática, sd. nefrótica)
O que pedir para um paciente com derrame pleural (laboratório)? -ADA, glicose, pH, proteínas, LDH (séricos) - Bactérias, fungos e BAAR (pesquisa e culturas) -Exame citopatológico
pH = 7,21 PCO2 = 62 HCO3 = 29 Acidose Respiratória com compensação metabólica (aumento de bicarbonato)
pH = 7,38 PCO2 = 55 HCO3 = 32 Acidose Respiratória + Alcalose Metabólica compensados (ph normal com PCO2 e HCO3 elevados)
pH = 7,52 PCO2 = 21 HCO3 = 23 ALCALOSE RESPIRATÓRIA NÃO COMPENSADA (NÃO HOUVE REDUÇÃO DE HCO3-)
pH = 7,21 PCO2 = 55 HCO3 = 17 ACIDOSE MISTA PCO2 ESPERADO -> PCO2e = 1,5 XHCO3 + 8 = 33,5
pH = 7,52 PCO2 = 56 HCO3 = 32 NA = 135 CL = 105 ALCALOSE METABÓLICA PARCIALMENTE COMPENSADA COM ACIDOSE RESPIRATÓRIA (HOUVE AUMENTO NA PCO2) PCO2 ESPERADO -> PCO2e = 1,5 x HCO3 +8 = 56
pH = 7,50 PCO2 = 20 HCO3 = 32 ALCALOSE MISTA
pH 7,49 / PaO2 90mmHg / PaCO2 25mmHg / HCO3 18mEq/L e BE - 2mEq/L. ALCALOSE RESPIRATÓRIA PARCIALMENTE COMPENSADA COM ACIDOSE METABÓLICA (HOUVE REDUÇÃO DE HCO3-)
pH = 7.26 HCO3 = 17.2 PCO2 = 36 pO2 = 56 BE = -5.7 ACIDOSE METABÓLICA NÃO COMPENSADA (NÃO HOUVE REDUÇÃO DE PCO2) PCO2 ESPERADO -> PCO2e = 1,5 x HCO3 +8 = 33,8
Quais são as causas de Acidose Respiratória Aguda? E a crônica? Pneumopatias agudas, EAP e Obstrução das VAs; DPOC, Pneumopatias crônicas e neuropatias
Quais são as causas da Alcalose Respiratória Aguda? E a crônica? Hiperventilação psicogênica, sepse e doenças agudas da SNC; Hipertireoidismo, Insuficiência hepática e Pneumopatias crônicas.
Quais são os limites do coração no Raiox? Deve respeitar a linha hemiclavicular esquerda, ser centralizado no mediastino e com artérias e veias pulmonares visíveis
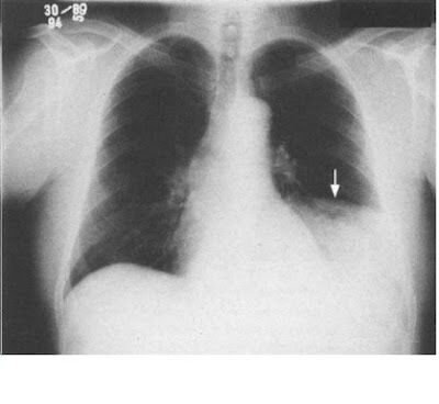
O que é isso? Derrame cisural / cissuras pulmonares
O que é sinal da silhueta? Quais são as causas? Perda da definição de uma estrutura, associada a consolidações ou massas. Pneumonia, derrame pleural e neoplasias.
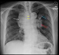
Que sinal é esse? Sinal da silhueta
O que é o Sinal do Broncograma aéreo? Vias aéreas visíveis pela consolidação do pulmão (brônquios).
Qual sinal é esse? Sinal do broncograma aéreo
Quais são as doenças intersticiais que cursam com o espessamento linear/reticular e quais são seus achados radiológicos? São fibrose pulmonar, saircose, artrite reumatóide, asbestose e silicone (pneumoconioses); Trama vascular, espessamento como estrias, sem broncograma aéreo e sinal da silhueta
Quais são as doenças intersticiais que cursam com o espessamento nodular e quais são seus achados radiológicos? São pneumonias, EAP, Asma, DPOC ; Sinal da silhueta, Sinal do Broncograma aéreo, pulmão não aerado (mais branco). Não se vê trama vascular na área consolidada.
Quais são os achados radiológicos do Enfisema pulmonar? -Hiperinsuflação -Hipertransparência -Rarefação vascular -Retificação de arcos costais -Aumento do espaço retroesternal -Aumento do diâmetro AP
Quais são os achados radiológicos das doenças medistinais? Alargamento do mediastino -Focal: massas, tumores, linfonodos -Difuso: hemorragia, infecção Difusa comprime, focal desloca
Quais são os achados radiológicos do derrame pleural? O que pode causar a doença? -Presença de muito líquido no espaço pleural -Obliteração do seio costofrênico (preenchimento do espaço entre as costelas e o diafragma) -Imagem em menisco -Elevação da cúpula diafragmática -Lawrell pode deslocar o líquido; Tuberculose e neoplasias (Doença pleural), insuficiência cardíaca e congestiva (Doença sistêmica)
Quais são os achados radiológicos da DPOC? -Retificação do diafragma -Aumento do diâmetro AP -Espaço retroesternal aumentado -Coração pequeno (em gota) -Aumento da transparência pulmonar
Quais são os achados radiológicos do aumento do AE? abaulamento lateral em PA e abaulamento posterior em perfil (coração mais redondo em cima)
Quais são os achados radiológicos do aumento do VE? borda inferior deslocada para o lado e ápice para baixo em PA, coração se projetando para trás em perfil (coração mais pontudo p baixo)
Quais são os achados radiológicos do aumento do AD? projeta-se mais para a direita e alarga-se +Cefalização do fluxo pulmonar (IC esquerda e estenose mitral) +Linhas B de Kerley (ao edema intersticial)
O que é o Sinal da borboleta? Quais são suas características radiológicas? Opacidade alveolar bilateral em campos pulmonares médios. -Diminuição simétrica da transparência pulmonar perto do hilo, poupando periferia -Significa edema alveolar extenso em edema agudo de pulmão/ICC. -Infiltrado que preserva a periferia.
Como é a dor da Sd. coronariana? - início gradual - Tipo desconforto, pressão ou aperto -Local: retroesternal esquerdo, irradia para ombros, MSE ou mandíbula -Piora com esforço, frio, estresse -Melhora com repouso e nitrato
Quais são as características radiológicas da Sd. coronariana? é inespecífica, mas apresenta trama vascular, cefalização vascular (aumento do tronco da artéria pulmonar), cardiomegalia, derrame cissural
Qual é o achado emm ECG da Sd. coronariana? supra ST, onda Q patológica, bloqueio de ramo esquerdo, infra de ST
Diferencia angina estável, instável e IAM: Angina estável: desconforto depois de um esforço físico que cria uma demanda de O2 superior aos limites. Acontece com mesmo grau de esforço, mesma intensidade e duração. Angina Instável: Dor nova, em repouso ou menor grau de esforço, risco de evoluir para IAM. IAM: presença de enzimas cardíacas elevadas, pode ser com ou sem supra
Como é a dor da Dissecção de Aorta? -Dor súbita, abrupta, máxima -Inicia anterior do tórax e irradia para o dorso e abdome -Tipo excruciante, lacerante, afiada, rasgante -Pode se apresentar com sinais neurológicos e isquemia mesentérica. -Divergência de PAs
Quais são as características radiológicas da Dissecção de aorta? Quais outros exames podemos pedir para vizualizar? perda do contorno do botão aórtico e alargamento do mediastino, mas alguns têm rx normal. Ecotranesofágico!, AngioTC de tórax, Angioressonância
Como é a dor da TEP? Quais são seus antecedentes? -Dor e dispneia súbita -Tipo pleurítica -Piora na tosse, pode ser indolor -Pode ter hemoptise, febre baixa e hipotensão. Grandes cirurgias, traumas, gestantes, neoplasias, anticoncepcionais
Quais são as características radiológicas da TEP? Pode apresentar atelectasia ou Derrame pleural, corcova de hampton e sinal de westmark.
Como é o ECG na TEP? sinais de hipertensão pulmonar, S1Q3T3 (S proeminente em d1, Q em d3 e T invertida em d3)
Como é a dor no Pneumotórax? Quais seus antecedentes? -Dor súbita -Tipo pleurítica unilateral -Com dispneia, pode evoluir com choque ou baixo débito. -EF com redução ou abolição do MV. Antecedentes de trauma, mergulho e procedimentos
Quais são os achados radiológicos no Pneumotórax? pulmão colapsado e ar no espaço pleural.
Como é a dor na Pericardite/Tamponamento cardíaco? Quais seus antecedentes? -Dor aguda, súbita -rRegião precordial -Piora na inspiração ou no decúbito dorsal -Melhora na postura de prece maometana -Dispneia Antecedentes de trauma, infecção, neoplasias e uremia
Como é a dor da mediastinite? -Dor precedida de vômitos -Febre, choque
Como é a dor da DRGE? -Dor em queimação -Com eructação, regurgitação, gosto ruim na boca, odinofagia -Retroesternal/esofágica, pode irradiar para as costas, pescoço, mandíbula e braços -Pode imitar uma dor anginosa (aperto) -Pode ocorrer após as refeições, despertar o paciente do sono e agravada pelo estresse.
Como é a dor da úlcera péptica? queimação epigástrica, retroesternal prolongada
Como é a dor da colelitíase? dor prolongada no HD, tipo cólica, pode ser após refeições, alivia com buscopan.
Como é a dor da pancreatite? dor epigástrica em faixa, prolongada e intensa, presença de fatores de risco (alcoólica, hipertrigliceridemia, medicações)
Como é a dor musculo-esquelética? -Dor afiada, localizada e fugaz -Modifica com movimento ou palpação -Pode apresentar sinais inflamatórios ou hematomas -Histórico de trauma ou atividade extenuante prévia.
Como é a dor na Herpes Zooster? -Dor em queimação prolongada -Pode preceder as lesões características (rash vesicular) ou manter neuralgia após resolução. -Respeita dermátomo -Disestesias podem aparecer
Como é a dor torácica na Sd. do pânico? -Dor tipo aperto ou desconforto -taquipneia -Dura +30 min -Sem relação com esforço o -Com outros transtornos psiquiátricos, mulheres jovens!! Pode ter alterações no ECG (anormalidades ST inespecíficas)
Show full summary Hide full summary

Similar

Sistema Cardiovascular: Artérias, Veias e Capilares
Natália Abitbol
Anatomia: sistema esquelético I
Natália Abitbol
Processo de Cicatrização
Letícia Silva
Anatomia Artérias
Filipe Brito
Regras NBRs
Maria Clara Oliveira
Anatomia membro inferior - Ossos, acidentes e movimentos
vitorstoco
SIMULADO - Casos Clínicos
Rodrigo Gouvea
AVALIAÇÃO TEÓRICA 13 DE MARÇO
Residencia CM HBDF
DESENVOLVIMENTO EMBRIONÁRIO
Vanessa Palauro
Escala de Coma de Glasgow
Vanessa Palauro
DOENÇA MENTAL E TRATAMENTO -Texto 16
eleuterapara