Tejidos

Description

Tejidos
carolinepr15
Mind Map by carolinepr15, updated more than 1 year ago
carolinepr15
Created by carolinepr15 about 10 years ago
34
0

Resource summary

Tejidos
  1. Definición: un grupo de células que están empacadas bien juntas y cubren las superficies del cuerpo y delinean los organos y internos y cavidades
    1. TIPOS:
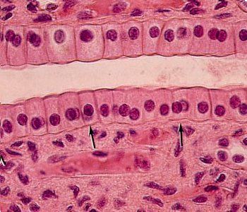
      1. (Tejido Epitelial): hojas de células que están empacadas bien juntas y cubren las superficies del cuerpo del cuerpo y delinean los órganos internos y cavidades
        1. (ESTRUCTURA): matriz es de consistencia gelatinosa
          1. (FUNCIONES): recubrir superficies, tapizar cavidades, proteger contra da~os mecanicos, proteger contra la deshidratacion, evitar la entrada de microorganismos, secrecion
        2. (Tejido Conjuntivo): una poblacion escasa de celulas regadas que producen y secretan una matriz intercellular, que usualmente consiste de una red de fibras embebida en liquidos, material gelatinoso o solidos
          1. (ESTRUCTURA): constituidos por celulas alargadas, las fibras musculares, caracterizadas por la presencia de filamentos citoplasmaticos
            1. (FUNCIONES): proporciona sosten y relleno estructura- huesos, cartilagos, ligamentos, tendons; sirve como medio de intercambio- nutrientes y oxigeno entre la sangre y muchas de las celulas del cuerpo
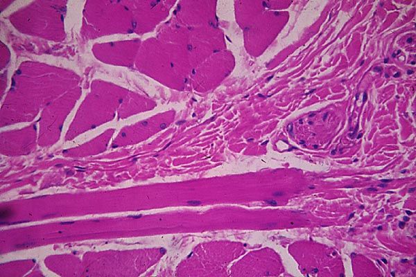
          2. (Tejido Muscular): consiste en empaques de celulas largas llamadas musculos, fibras y es el tejido mas abundante en los animales
            1. (ESTRUCTURA): corresponde de una lamina continua de celulas estrechamente asociadas entre si, la que se adhiere la matriz extracellular inferior a ella
              1. (FUNCIONES): movimiento de todas las estructuras internas formado por tejido muscular liso; movimiento externo; moviemiento automatic (funciona por si mismo)
            2. (Tejido Nervioso): siente el estimulos y rapidamente transmite informacion de una parte a otra
              1. (ESTRUCTURA): esta compuesta por unas celulas principals, las neuronas, que pueden estar en el sistema nervioso central. Neuronas tienen una prolongacion mas larga llamada axon que component los nervios y conducen el estimulo nervioso
                1. (FUNCIONES): recepcion, conduccion, y transmission de los impulsos nerviosos; detector, transmitir, analizar y utilizer las informaciones generados por estimulos sensoriales representados por calor, luz y energia mecanica
                  1. ORGANOS: Los tejidos se arreglan y forman orgamos que llevan a cabo una function en especifico; los organos trabajan juntos para llevar a cabo funciones para la vida
            Show full summary Hide full summary

            Similar

            Funciones - Test
            sofialeone
            Aplicaciones de las derivadas
            Marta Arroyo
            Histología
            carlos_lmsv7
            ESTRUCTURAS Y FUNCIONES DEL SISTEMA NERVIOSO
            Paola Andrea Joya Ramirez
            SISTEMA NERVIOSO
            clara araque
            FUNCIONES DE EXCEL
            irai101
            SISTEMA NERVIOSO
            Marsella Reynolds
            ESTRUCTURAS Y FUNCIONES DEL SISTEMA NERVIOSO
            Maria Morant
            DIVERSIDAD CELULAR
            Leyre Cuenca
            Test Estructuras II: Tipos de esfuerzos I
            Pedro Landín
            Funciones Matemáticas
            maya velasquez