Patologia do Esôfago

Description

Patologia do Esôfago
Drive Med
Mind Map by Drive Med, updated more than 1 year ago
Drive Med
Created by Drive Med almost 10 years ago
409
2

Resource summary

Patologia do Esôfago
  1. Neoplasias
    1. Adenocarcinoma
      1. Carcinoma epidermoide (A527)
        1. Lesão sólida (não cística)
          1. Com queratinização
            1. Sem glândulas
              1. Blocos semelhantes ao epitélio escamoso
                1. Pérolas córneas
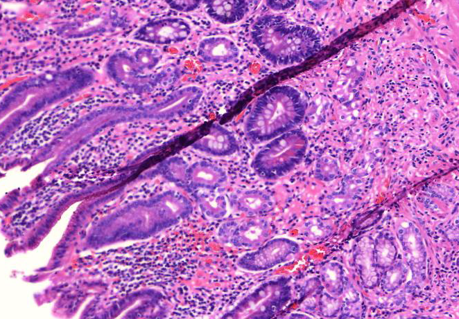
              2. Esôfago de Barrett (A521)
                1. Epitélio
                  1. Espessado
                    1. Presença de células colunares
                      1. Glândulas mucosas
                        1. Metaplasia intestinal
                        2. Camada basal hiperplásica
                          1. Células basais mais esculas
                        3. Submucosa inalterada
                        4. Esôfago normal
                          1. Epitélio escamoso
                            1. Muscular da mucosa
                              1. Glândulas na submucosa
                              Show full summary Hide full summary

                              Similar

                              Doenças não-neoplásicas do fígado
                              Drive Med
                              Patologia do Estômago
                              Drive Med
                              Neoplasias de pâncreas e vesícula biliar
                              Drive Med
                              Neoplasias de cólon e reto
                              Drive Med
                              INFLAMAÇÃO
                              Ketlyn Caroline
                              Patologia Geral - Hipertensão Arterial (Geral)
                              BrienneC
                              QUIZ INTRODUÇÃO A PATOLOGIA GERAL (MONITOR SEVERINO FILHO - FONOAUDIOLOGIA 2016.1)
                              Severino Filho
                              Patologias dos rins
                              Celi cs
                              PATOLOGIAS DO SISTEMA CARDIOVASCULAR
                              Jéssica Severo Dametto
                              IRC- Insuficiencia Renal Cronica
                              Gilvana Ferreira
                              Patologia 7EM1 XIX
                              Melissa Soares Moraes