null
US
Sign In
Sign Up for Free
Sign Up
We have detected that Javascript is not enabled in your browser. The dynamic nature of our site means that Javascript must be enabled to function properly. Please read our
terms and conditions
for more information.
Next up
Copy and Edit
You need to log in to complete this action!
Register for Free
5236841
Enfermedades cerebrales
Description
Este mapa conceptual resume las enfermedades cerebrales más importantes en cuanto a su epidemiología y describe sus características tanto macroscópicas como microscópicas.
No tags specified
patología
enfermedades cerebrales
enfermedades neurodgenerativas
enfermedades desmielinizantes
admon. empresas
buap
Mind Map by
Ruy Simon
, updated more than 1 year ago
More
Less
Created by
leonardolezama13
over 9 years ago
Copied by
Ruy Simon
over 9 years ago
1
0
0
Resource summary
Enfermedades cerebrales
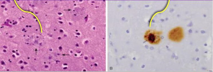
Alzheimer
Microscópica
PLACAS NEURÍTICAS
OVILLOS NEUROFIBRILARES
Morfología:
Macroscópica:
Neurodegenerativas
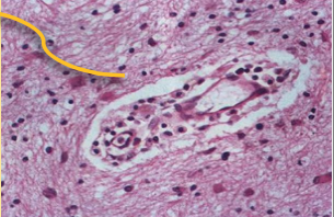
Parkinson
Morfología:
Macroscópica:
Microscópica:
Media attachments
8ee71dc8-8cfd-4da8-bdb3-cdb5d1ecc8c0 (image/png)
47dae83d-b59a-43db-a22a-764f4176c969 (image/png)
95619a24-87f0-453d-87a7-7a1962731f42 (image/png)
c380bfe0-38bb-4563-b761-f1d40fd169d1 (image/png)
4b1a3427-20aa-4b19-a9b1-75e9041dd886 (image/png)
778faff1-bbad-4d76-b25c-dcd9c00504bb (image/png)
3985dd1d-c1c4-4113-99b2-f7ecf9e93742 (image/png)
Show full summary
Hide full summary
Want to create your own
Mind Maps
for
free
with GoConqr?
Learn more
.
Similar
1_Enfermedades cerebrales
lore_lombardo
Enfermedades cerebrales
Dilan Cambronero
Enfermedades cerebrales
Vanessa Vilardy
Enfermedades cerebrales
katia soto
Enfermedades cerebrales
Thalia Galindo
Enfermedades cerebrales
Pablo Hermida Costafreda
Enfermedades cerebrales
lore_lombardo
2_Enfermedades cerebrales
lore_lombardo
Ligamentos de suspensión y fijación del útero
ALVARO WILLIAM HUAMAN TINOCO
Enfermedades cerebrales
CARLOS DANIEL AVENA
Enfermedades cerebrales
Wendy Rosales
Browse Library