-HUESO-

Description

HUESO
Ctlali Vicente
Mind Map by Ctlali Vicente, updated more than 1 year ago
Ctlali Vicente
Created by Ctlali Vicente about 9 years ago
1052
0

Resource summary

-HUESO-
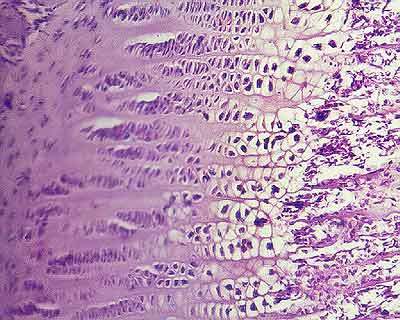
  1. un tipo especializado de tejido conectivo constituido por células (osteocitos) y componentes extracelulares calcificados.
    1. El proceso mediante el cual se forma el hueso se denomina osificación.
      1. Osificación intermembranosa:
        1. Es la que produce preferentemente huesos planos y, tiene lugar dentro de una membrana de tejido conjuntivo.
          1. las células mesenquimatosas que forman las membranas de tejido conjuntivo son transformadas en osteoblastos constituyendo un centro de osificación alrededor del cual se va formando hueso
            1. El depósito de calcio y de sales minerales endurece la matriz ósea al cabo de unos días
              1. Mientras se produce la calcificación de la matriz ósea aparecen las trabéculas o espículas óseas que se unen en una estructura en forma de malla dando lugar al hueso esponjoso
          2. existe un precursor del esqueleto formado por tejido cartilaginoso hialino y mesénquina embrionario
            1. Osificación osteocondral
              1. los huesos del cuerpo se forman a partir de estructuras cartilaginosas en las que la osificación se extiende desde el centro hasta los márgenes, un proceso denominado crecimiento aposicional.
                1. El modelo cartilaginoso desarrolla un periostio y, en el centro se desarrolla un collar, en el que los osteoblastos (que se han diferenciado a partir de condrocitos) depositan hueso.
                  1. el cartílago comienza a calcificarse
                    1. formandose un centro de osificación primario al penetrar un vaso en el centro de la diáfisis. Simultáneamente a la osificación endocondral que avanza desde la diáfisis hacia las epífisis de forma la cavidad medular, creciendo el hueso en longitud
                        1. CITLALI VICENTE VICENTE 1F
              Show full summary Hide full summary

              Similar

              Láminas de Histología
              Mario Ripalda
              TEJIDO CONJUNTIVO ESPECIALIZADO
              Maria Paula Mayo
              El paleolítico
              Raúl QI
              Hueso Esfenoides
              gabriela cedeño
              Tejido oseo
              Israel García
              QUIZ DE HISTOLOGIA 3
              Enzo Veracierta Pulone
              Hueso Escapula
              Laurent Manosalva
              Hueso Húmero
              Laurent Manosalva
              Láminas de Histología
              Alondra Mayte Ibarra Espinosa
              Hueso Parietal
              Javier Ixquiac