null
US
Sign In
Sign Up for Free
Sign Up
We have detected that Javascript is not enabled in your browser. The dynamic nature of our site means that Javascript must be enabled to function properly. Please read our
terms and conditions
for more information.
Next up
Copy and Edit
You need to log in to complete this action!
Register for Free
3969572
Anaemia and Red Cell Morphology
Description
Questions relating to anaemia and red blood cell morphology
No tags specified
erythrocytes
anaemia
regenerative
non-regenerative
dvm2
Quiz by
Kathryn Borg
, updated more than 1 year ago
More
Less
Created by
Kathryn Borg
about 10 years ago
1211
0
0
Resource summary
Question 1
Question
What are these cells called (arrow)?
Image:
614b72d8-2949-40ec-aef5-608670dc758c (image/png)
Answer
Polychromatophils
Macrocytes
Lymphocytes
Echinocytes
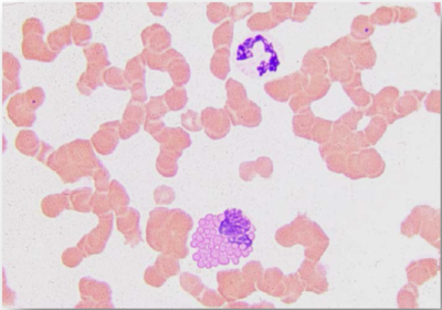
Question 2
Question
What are these cells/features? Please label these cells!
Image:
540cf687-e2d2-44f5-8a71-f06a02276b4d (image/png)
Answer
Punctate Reticulocyte
Heinz body
Aggregate reticulocyte
Question 3
Question
What is this red cell feature known as?
Image:
f725df7f-dba5-44d1-9333-6ac263b58b7a (image/jpeg)
Answer
Howell Jolly Bodies
Heinz bodies
Basophilic stippling
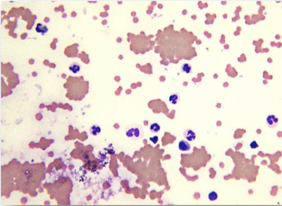
Question 4
Question
What blood belongs to what species?
Image:
efcf5bc1-56ff-4526-9529-7a87f9693fa1 (image/jpeg)
Answer
Dog
Avian
Deer
Pig
Camelid
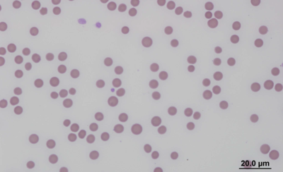
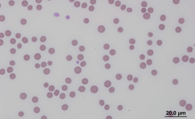
Question 5
Question
Which of the below pictures depicts "Rouleaux"?
Answer
A
Image:
83f92332-5efc-4fc1-878b-2b6998e6cc08 (image/png)
B
Image:
34718808-7480-4063-a3e9-6e69c2a25f0b (image/png)
C
Image:
2c5c513a-e052-4437-9b0c-2282358daad7 (image/png)
D
Image:
59f95703-a02c-4d40-aa4c-9ad56c8ec86e (image/png)
E
Image:
be5bc7d6-2b6e-4016-9ce9-29372e1e77ce (image/png)
Show full summary
Hide full summary
Want to create your own
Quizzes
for
free
with GoConqr?
Learn more
.
Similar
Erythrocytes
Mark George
Macrocytosis & Macrocytic Anaemia
Matthew Coulson
Iron in Health and Disease
Matthew Coulson
Cells 2: Blood and Blood Cells - Types of Anaemia
HaEun Ji
Transportation in Animals
Anumita Anand
Erythrocytes
Anano Ridlington
Anaemia
s.gealy
Anaemias
Ashutosh Kumar
Iron
Ashutosh Kumar
Haemolytic Anaemia
Ashutosh Kumar
Renal
Miriam Leung
Browse Library