null
US
Sign In
Sign Up for Free
Sign Up
We have detected that Javascript is not enabled in your browser. The dynamic nature of our site means that Javascript must be enabled to function properly. Please read our
terms and conditions
for more information.
Next up
Copy and Edit
You need to log in to complete this action!
Register for Free
2696217
Laboratorio histologia por charly barrón
Description
Examenes de laboratorio histologia 1
No tags specified
histologia
laboratorio
tejidos
Quiz by
carlos barron velarde
, updated more than 1 year ago
More
Less
Created by
carlos barron velarde
over 10 years ago
132
1
0
Resource summary
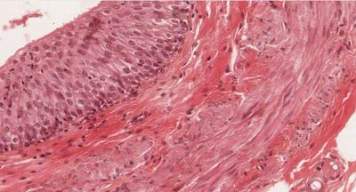
Question 1
Question
escoje la opcion correcta
Image:
8ba5d953-89e2-4f75-9725-b506f32ec872.JPG (image/JPG)
Answer
epitelio plano estratificado no queratinzaddo
epitelio plano estratificado queratinizado
epitelio pseudoestratificado cilindrico ciliado con celulas caliciformes
urotelio
epitelio plano simple
Question 2
Question
escoje la opcion correcta
Image:
95b927f8-29ae-48bc-a9ae-c75a53990f00.JPG (image/JPG)
Answer
epitelio plano estratificado no queratinzaddo
epitelio plano estratificado queratinizado
epitelio pseudoestratificado cilindrico ciliado con celulas caliciformes
urotelio
epitelio plano simple
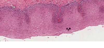
Question 3
Question
escoje la opcion correcta
Image:
741240a3-3ded-4879-a94f-10095ac8ea7a.JPG (image/JPG)
Answer
epitelio plano estratificado no queratinzaddo
epitelio plano estratificado queratinizado
epitelio pseudoestratificado cilindrico ciliado con celulas caliciformes
urotelio
epitelio plano simple
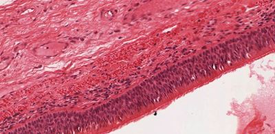
Question 4
Question
escoje la opcion correcta
Image:
6a303f12-763c-4b69-bce2-f2d623836e93.JPG (image/JPG)
Answer
epitelio plano estratificado no queratinzaddo
epitelio plano estratificado queratinizado
epitelio pseudoestratificado cilindrico ciliado con celulas caliciformes
urotelio
epitelio plano simple
Question 5
Question
escoje la opcion correcta
Image:
ad9f5aaa-b9bf-441c-b3f3-0d7f6724c733.JPG (image/JPG)
Answer
arteria elastica
arteria muscular
vena
musculo liso
tejido conjuntivo denso
Question 6
Question
escoje la opcion correcta
Image:
c8df5dbd-b26f-4e05-b274-7e645c669337.JPG (image/JPG)
Answer
tejido conjuntivo denso
tejido onjuntivo laxo
musculo cardiaco
musculo estriado
epitelio plano estratificado no queratinzaddo
Question 7
Question
escoje la opcion correcta
Image:
11c33e9c-48ba-4c56-a958-56c72cedb559.JPG (image/JPG)
Answer
cartilago elastico
cartilago hialino
tejido conjuntivo denso
musculo liso
urotelio
Question 8
Question
escoje la opcion correcta
Image:
7edc7764-b916-4097-8696-14190f76199b.JPG (image/JPG)
Answer
arteria muscular
musculo cardiaco
musculo estriado
musculo liso
tejido conjuntivo denso
Question 9
Question
escoje la opcion correcta
Image:
582d4370-b42f-43dd-b770-6ff8fe710eec.JPG (image/JPG)
Answer
musculo liso
tejido onjuntivo laxo
arteria elastica
arteria muscular
tejido conjuntivo denso
Question 10
Question
escoje la opcion correcta
Image:
075f4453-4ed5-44a7-b2ea-492744467848.JPG (image/JPG)
Answer
parotida
submaxilar
tejido conjuntivo denso
tejido onjuntivo laxo
musculo cardiaco
Show full summary
Hide full summary
Want to create your own
Quizzes
for
free
with GoConqr?
Learn more
.
Similar
Histología
carlos_lmsv7
TEST MATERIAL Y EQUIPO DE LABORATORIO
JORGE LEOBARDO PACHECO GAYOSSO
Diagrama de flujo uso del microscopio
Pilar Ariadna Cotero Palafox
CLASIFICACIÓN DE LOS INSTRUMENTOS DE MEDICIÓN
JOSE OSCAR MURILLO MUNOZ
Imagenes de histologia
oihana zaballa
Tejido conectivo
Adolfo Rojas
Tejido
Franklin Mayan
HISTOLOGIA- TEJIDO CONJUNTIVO
lilie_nyu
HISTOLOGIA- TEJIDO EPITELIAL
lilie_nyu
TEJIDO EPITELIAL
Juan José Fierro
Tejido nervioso
Lenin Ruiz Viruel
Browse Library