Imagenes de histologia

Description

Colección de imágenes para la identificación de los principales tipos de tejidos humanos
oihana zaballa
Flashcards by oihana zaballa, updated more than 1 year ago
oihana zaballa
Created by oihana zaballa almost 9 years ago
1854
0

Resource summary

Question Answer
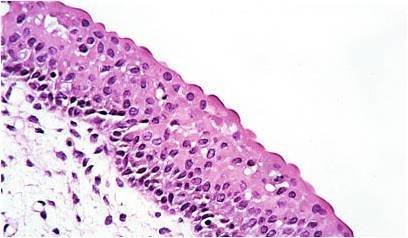
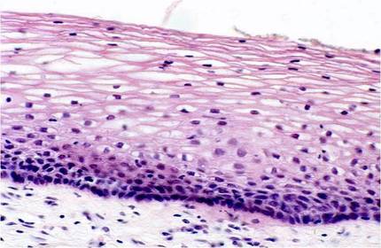
Tejido epitelial de revestimiento; estratificado plano
Tejido Epitelial de revestimiento, Epitelio de Transición (Urotelio)
Epitelio estratificado plano queratinizado de la piel
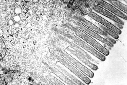
Tejido Epitelial de revestimiento, (epitelio intestinal). Prismático simple, microvellosidades en la zona apical
Microvellosidades
Tejido Epitelial de revestimiento, (epitelio intestinal)
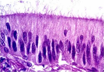
Epitelio de revestimiento, pseudo-estratificado, cilindrico, ciliado
Epitelio de revestimiento, pseudo-estratificado, cilindrico, ciliado.
Epitelio de revestimiento, pseudo-estratificado, cilindrico, ciliado.
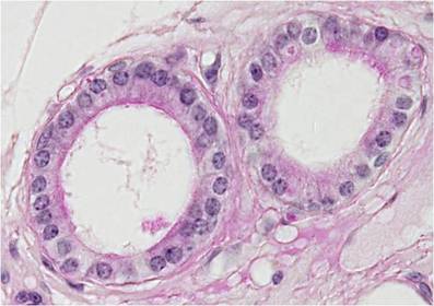
Tejido epitelial (glándula). Simple cúbico
Tejido epitelial (glándula). Simple cúbico
Tejido epitelial (glándula)
Tejido conjuntivo denso
Tejido conjuntivo denso (tendón)
Tejido conjuntivo denso
Tejido conjuntivo denso
Tejido conjuntivo laxo. Fibras de elastina
Tejido conjuntivo laxo
Tejido conjuntivo laxo
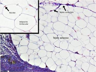
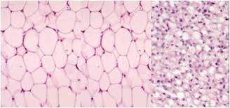
Tejido adiposo
Tejido adiposo
Tejido adiposo
Tejido cartilaginoso: hialino
Tejido óseo: compacto
Tejido óseo: esponjoso
Tejido sanguíneo
Tejido adiposo
Tejido muscular: estriado
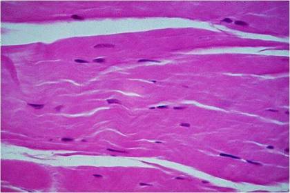
Tejido muscular: cardiaco
Tejido muscular: liso
Tejido nervioso: neurona
Tejido nervioso
Show full summary Hide full summary

Similar

Histología
carlos_lmsv7
Tejido conectivo
Adolfo Rojas
Laboratorio histologia por charly barrón
carlos barron velarde
HISTOLOGIA- TEJIDO CONJUNTIVO
lilie_nyu
HISTOLOGIA- TEJIDO EPITELIAL
lilie_nyu
TEJIDO EPITELIAL
Juan José Fierro
Tejido nervioso
Lenin Ruiz Viruel
Primer repaso de Histologia
Claudia Genoveva Perez Cacho
Tejido Conectivo (Histologia)
Lucas Abarzua
Aparato respiratorio
Andrea Collipal