Patologia do Estômago

Description

Mind map contendo estômago normal,
Drive Med
Mind Map by Drive Med, updated more than 1 year ago
Drive Med
Created by Drive Med almost 10 years ago
46
1

Resource summary

Patologia do Estômago
  1. Estômago normal
    1. Não apresenta células caliciformes
      1. Glândulas gástricas
      2. Gastrite crônica
        1. Atrófica
          1. Auto-imune (1614)
            1. Ausência do componente glandular
              1. Células caliciformes
                1. Metaplasia intestinal
                2. Presença de células neuroendócrinas
              2. Não atrófica
              3. Neoplasias
                1. Adenocarcinoma tubular moderadamente diferenciado (A455)
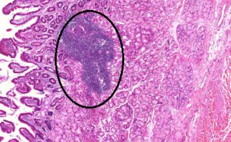
                  1. Agregado linfoide
                    1. Desorganização arquitetural
                      1. Atipias celulares
                        1. Alteração relação núcleo/citoplasma
                        2. Reação desmoplásica
                          1. Envoltório de tecido conjuntivo fibroso
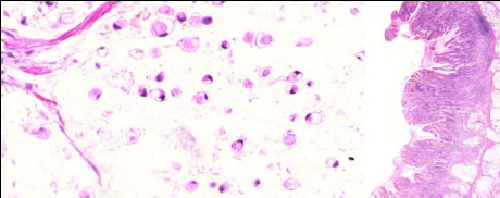
                        3. Adenocarcinoma pouco coesivo (A533)
                          1. Células em anel de cinete mergulhadas em lagos de mucina
                        Show full summary Hide full summary

                        Similar

                        Patologia do Esôfago
                        Drive Med
                        Neoplasias de pâncreas e vesícula biliar
                        Drive Med
                        Neoplasias de cólon e reto
                        Drive Med
                        INFLAMAÇÃO
                        Ketlyn Caroline
                        Patologia Geral - Hipertensão Arterial (Geral)
                        BrienneC
                        QUIZ INTRODUÇÃO A PATOLOGIA GERAL (MONITOR SEVERINO FILHO - FONOAUDIOLOGIA 2016.1)
                        Severino Filho
                        Patologias dos rins
                        Celi cs
                        PATOLOGIAS DO SISTEMA CARDIOVASCULAR
                        Jéssica Severo Dametto
                        Medicamentos, qual classe? para que servem?
                        Bruna M
                        IRC- Insuficiencia Renal Cronica
                        Gilvana Ferreira
                        Patologia 7EM1 XIX
                        Melissa Soares Moraes