Neoplasias de cólon e reto

Description

Neoplasias: pólipo juvenil, adenocarcinoma tubular, pólipo adenomatoso viloso de baixo grau
Drive Med
Mind Map by Drive Med, updated more than 1 year ago
Drive Med
Created by Drive Med almost 10 years ago
39
0

Resource summary

Neoplasias de cólon e reto
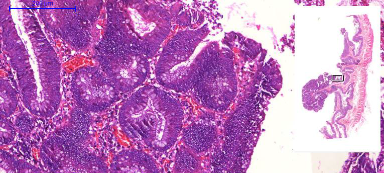
  1. Adenoma tubular (A538)
    1. Pedículo
      1. Epitélio normal
        1. Células caliciformes
          1. Núcleos polarizados
          2. Corpo
            1. Epitélio displásico
              1. Perda da polaridade
                1. Hipercromasia
                2. Arquitetura das criptas preservada
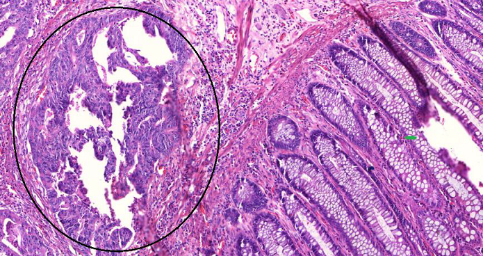
              2. Adenocarcinoma tubular (A526)
                1. Desorganização arquitetural
                  1. Reação desmoplásica próxima ao tumor
                    1. Invasão da submucosa
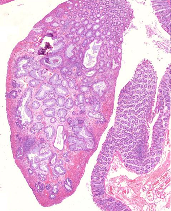
                    2. Pólipo juvenil (200)
                      1. Glândulas sem displasia
                        1. Inflamção
                          1. Não há displasias
                          Show full summary Hide full summary

                          Similar

                          Patologia do Esôfago
                          Drive Med
                          Patologia do Estômago
                          Drive Med
                          Neoplasias de pâncreas e vesícula biliar
                          Drive Med
                          INFLAMAÇÃO
                          Ketlyn Caroline
                          Patologia Geral - Hipertensão Arterial (Geral)
                          BrienneC
                          QUIZ INTRODUÇÃO A PATOLOGIA GERAL (MONITOR SEVERINO FILHO - FONOAUDIOLOGIA 2016.1)
                          Severino Filho
                          Patologias dos rins
                          Celi cs
                          PATOLOGIAS DO SISTEMA CARDIOVASCULAR
                          Jéssica Severo Dametto
                          IRC- Insuficiencia Renal Cronica
                          Gilvana Ferreira
                          Patologia 7EM1 XIX
                          Melissa Soares Moraes